ACAA1 antibody

Cat. No. GTX114229
Cat. No.  GTX114229
Anti-ACAA1 antibody used in Western Blot (WB). GTX114229
GTX114229 WB Image

Sample (30 ug of whole cell lysate)
A: A549
B: Hela
10% SDS PAGE
GTX114229 diluted at 1:1000

1 / 4
Anti-ACAA1 antibody used in Western Blot (WB). GTX114229
GTX114229 WB Image

Sample (50 ug of whole cell lysate)
A: mouse Liver
10% SDS PAGE
GTX114229 diluted at 1:1000

2 / 4
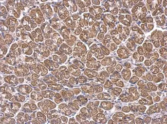
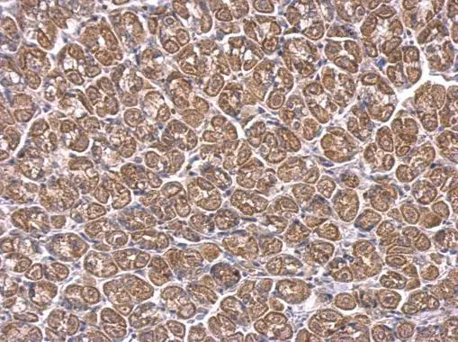
Anti-ACAA1 antibody used in IHC (Paraffin sections) (IHC-P). GTX114229
GTX114229 IHC-P Image

ACAA1 antibody detects ACAA1 protein at cytosol on mouse stomach by immunohistochemical analysis.
Sample: Paraffin-embedded mouse stomach.
ACAA1 antibody (GTX114229) dilution: 1:500.

Antigen Retrieval: Trilogy™ (EDTA based, pH 8.0) buffer, 15min

3 / 4
Anti-ACAA1 antibody used in Immunocytochemistry/ Immunofluorescence (ICC/IF). GTX114229
GTX114229 ICC/IF Image

ACAA1 antibody detects ACAA1 protein at cytoplasm by immunofluorescent analysis.
Sample: HeLa cells were fixed in ice-cold MeOH for 5 min.
Green: ACAA1 protein stained by ACAA1 antibody (GTX114229) diluted at 1:250.
Blue: Hoechst 33342 staining.

4 / 4
Anti-ACAA1 antibody used in Western Blot (WB). GTX114229
Anti-ACAA1 antibody used in Western Blot (WB). GTX114229
Anti-ACAA1 antibody used in IHC (Paraffin sections) (IHC-P). GTX114229
Anti-ACAA1 antibody used in Immunocytochemistry/ Immunofluorescence (ICC/IF). GTX114229
  • Host
    Rabbit
  • Clonality
    Polyclonal
  • Isotype
    IgG
  • Applications
    WB ICC/IF IHC-P
  • Reactivity
    Human, Mouse, Rat
See all ACAA1 products