ACE2 antibody [HL1092]

Cat. No. GTX636265
Cat. No.  GTX636265
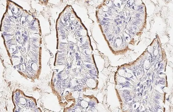
Anti-ACE2 antibody [HL1092] used in IHC (Paraffin sections) (IHC-P). GTX636265
GTX636265 IHC-P Image

ACE2 antibody [HL1092] detects ACE2 protein by immunohistochemical analysis.
Sample: Paraffin-embedded human tissues.
ACE2 stained by ACE2 antibody [HL1092] (GTX636265) diluted at 1:10000.
Antigen Retrieval: Tris-EDTA buffer, pH 9.0, 15 min

1 / 12
Anti-ACE2 antibody [HL1092] used in IHC (Paraffin sections) (IHC-P). GTX636265
GTX636265 IHC-P Image

ACE2 antibody [HL1092] detects ACE2 protein by immunohistochemical analysis.
Sample: Paraffin-embedded human tissues.
ACE2 stained by ACE2 antibody [HL1092] (GTX636265) diluted at 1:10000.
Antigen Retrieval: Tris-EDTA buffer, pH 9.0, 15 min

2 / 12
Anti-ACE2 antibody [HL1092] used in IHC (Paraffin sections) (IHC-P). GTX636265
GTX636265 IHC-P Image

ACE2 antibody [HL1092] detects ACE2 protein by immunohistochemical analysis.
Sample: Paraffin-embedded human tissues.
ACE2 stained by ACE2 antibody [HL1092] (GTX636265) diluted at 1:10000.
Antigen Retrieval: Tris-EDTA buffer, pH 9.0, 15 min

3 / 12
Anti-ACE2 antibody [HL1092] used in Western Blot (WB). GTX636265
GTX636265 WB Image

Non-transfected (–) and transfected (+) 293T whole cell extracts (50 μg) were separated by 5% SDS-PAGE, and the membrane was blotted with ACE2 antibody [HL1092] (GTX636265) diluted at 1:1000. The HRP-conjugated anti-rabbit IgG antibody (GTX213110-01) was used to detect the primary antibody, and the signal was developed with Trident ECL plus-Enhanced.

4 / 12
Anti-ACE2 antibody [HL1092] used in Western Blot (WB). GTX636265
GTX636265 WB Image

Various whole cell extracts (30 μg) were separated by 5% SDS-PAGE, and the membrane was blotted with ACE2 antibody [HL1092] (GTX636265) diluted at 1:1000. The HRP-conjugated anti-rabbit IgG antibody (GTX213110-01) was used to detect the primary antibody, and the signal was developed with Trident femto Western HRP Substrate. Corresponding RNA expression data for the same cell lines are based on Human Protein Atlas program.

5 / 12
Anti-ACE2 antibody [HL1092] used in Western Blot (WB). GTX636265
GTX636265 WB Image

Untreated (–) and treated (+) VeroE6 whole cell extract (30 μg) were separated by 7.5% SDS-PAGE, and the membrane was blotted with ACE2 antibody [HL1092] (GTX636265) diluted at 1:1000. The HRP-conjugated anti-rabbit IgG antibody (GTX213110-01) was used to detect the primary antibody.

6 / 12
Anti-ACE2 antibody [HL1092] used in Western Blot (WB). GTX636265
GTX636265 WB Image

Various whole cell extracts (30 μg) were separated by 7.5% SDS-PAGE, and the membrane was blotted with ACE2 antibody [HL1092] (GTX636265) diluted at 1:1000. The HRP-conjugated anti-rabbit IgG antibody (GTX213110-01) was used to detect the primary antibody.

7 / 12
Anti-ACE2 antibody [HL1092] used in Western Blot (WB). GTX636265
GTX636265 WB Image

Various whole cell and tissue extracts were separated by 7.5% SDS-PAGE, and the membrane was blotted with ACE2 antibody [HL1092] (GTX636265) diluted at 1:1000. The HRP-conjugated anti-rabbit IgG antibody (GTX213110-01) was used to detect the primary antibody, and the signal was developed with Trident femto Western HRP Substrate.

8 / 12
Anti-ACE2 antibody [HL1092] used in Immunocytochemistry/ Immunofluorescence (ICC/IF). GTX636265
GTX636265 ICC/IF Image

ACE2 antibody [HL1092] detects ACE2 protein at cell membrane by immunofluorescent analysis.
Sample: VeroE6 cells were fixed in ice-cold MeOH for 5 min.
Green: ACE2 stained by ACE2 antibody [HL1092] (GTX636265) diluted at 1:500.
Red: alpha Tubulin, a cytoskeleton marker, stained by alpha Tubulin antibody [GT114] (GTX628802) diluted at 1:1000.
Blue: Fluoroshield with DAPI (GTX30920).

9 / 12
Anti-ACE2 antibody [HL1092] used in IHC (Paraffin sections) (IHC-P). GTX636265
GTX636265 IHC-P Image

ACE2 antibody [HL1092] detects ACE2 protein at cell membrane by immunohistochemical analysis.
Sample: Paraffin-embedded dog stomach.
ACE2 stained by ACE2 antibody [HL1092] (GTX636265) diluted at 1:100.
Antigen Retrieval: Citrate buffer, pH 6.0, 15 min

10 / 12
Anti-ACE2 antibody [HL1092] used in IHC (Paraffin sections) (IHC-P). GTX636265
GTX636265 IHC-P Image

ACE2 antibody [HL1092] detects ACE2 protein at cell membrane by immunohistochemical analysis.
Sample: Paraffin-embedded cat colon.
ACE2 stained by ACE2 antibody [HL1092] (GTX636265) diluted at 1:100.
Antigen Retrieval: Citrate buffer, pH 6.0, 15 min

11 / 12
Anti-ACE2 antibody [HL1092] used in Western Blot (WB). GTX636265
GTX636265 WB Image

Non-transfected (–) and transfected (+) 293T whole cell extracts (30 μg) were separated by 7.5% SDS-PAGE, and the membrane was blotted with ACE2 antibody [HL1092] (GTX636265) diluted at 1:5000. The HRP-conjugated anti-rabbit IgG antibody (GTX213110-01) was used to detect the primary antibody.

12 / 12
Anti-ACE2 antibody [HL1092] used in IHC (Paraffin sections) (IHC-P). GTX636265
Anti-ACE2 antibody [HL1092] used in IHC (Paraffin sections) (IHC-P). GTX636265
Anti-ACE2 antibody [HL1092] used in IHC (Paraffin sections) (IHC-P). GTX636265
Anti-ACE2 antibody [HL1092] used in Western Blot (WB). GTX636265
Anti-ACE2 antibody [HL1092] used in Western Blot (WB). GTX636265
Anti-ACE2 antibody [HL1092] used in Western Blot (WB). GTX636265
Anti-ACE2 antibody [HL1092] used in Western Blot (WB). GTX636265
Anti-ACE2 antibody [HL1092] used in Western Blot (WB). GTX636265
Anti-ACE2 antibody [HL1092] used in Immunocytochemistry/ Immunofluorescence (ICC/IF). GTX636265
Anti-ACE2 antibody [HL1092] used in IHC (Paraffin sections) (IHC-P). GTX636265
Anti-ACE2 antibody [HL1092] used in IHC (Paraffin sections) (IHC-P). GTX636265
Anti-ACE2 antibody [HL1092] used in Western Blot (WB). GTX636265
  • Host
    Rabbit
  • Clonality
    Monoclonal
  • Clone Name
    HL1092
  • Isotype
    IgG
  • Applications
    WB ICC/IF IHC-P
  • Reactivity
    Human, Cat, Dog, African green monkey
See all ACE2 products