ACE2 antibody [N1N2], N-term

Cat. No. GTX101395
Cat. No.  GTX101395
Anti-ACE2 antibody [N1N2], N-term used in IHC (Paraffin sections) (IHC-P). GTX101395
GTX101395 IHC-P Image

ACE2 antibody [N1N2], N-term detects ACE2 protein at cytoplasm by immunohistochemical analysis.
Sample: Paraffin-embedded human lung.
ACE2 stained by ACE2 antibody [N1N2], N-term (GTX101395) diluted at 1:2000.
Antigen Retrieval: Citrate buffer, pH 6.0, 15 min

1 / 20
Anti-ACE2 antibody [N1N2], N-term used in Western Blot (WB). GTX101395
GTX101395 WB Image

Non-transfected (–) and transfected (+) Caco-2 whole cell extracts (30 μg) were separated by 7.5% SDS-PAGE, and the membrane was blotted with ACE2 antibody [N1N2], N-term (GTX101395) diluted at 1:500. The HRP-conjugated anti-rabbit IgG antibody (GTX213110-01) was used to detect the primary antibody.

2 / 20
Anti-ACE2 antibody [N1N2], N-term used in ELISA (ELISA). GTX101395
GTX101395 ELISA Image

Indirect ELISA analysis performed by coating plate with recombinant Human ACE2 (ECD) protein , mouse IgG Fc tag protein (GTX135683-pro) (15.63-1000 ng/mL). Coated protein probed with ACE2 antibody [N1N2], N-term (GTX101395) (0.1 μg/mL). Rabbit IgG antibody (HRP) (GTX213110-01) (1:10000) detected bound primary antibody.

3 / 20
Anti-ACE2 antibody [N1N2], N-term used in Western Blot (WB). GTX101395
GTX101395 WB Image

Untreated (–) and treated (+) Vero E6 whole cell extracts (30 μg) were separated by 7.5% SDS-PAGE, and the membrane was blotted with ACE2 antibody [N1N2], N-term (GTX101395) diluted at 1:500. The HRP-conjugated anti-rabbit IgG antibody (GTX213110-01) was used to detect the primary antibody.

4 / 20
Anti-ACE2 antibody [N1N2], N-term used in IHC (Paraffin sections) (IHC-P). GTX101395
GTX101395 IHC-P Image

ACE2 antibody [N1N2], N-term detects ACE2 protein at cytoplasm by immunohistochemical analysis.
Sample: Paraffin-embedded rat lung.
ACE2 stained by ACE2 antibody [N1N2], N-term (GTX101395) diluted at 1:2000.
Antigen Retrieval: Citrate buffer, pH 6.0, 15 min

5 / 20
Anti-ACE2 antibody [N1N2], N-term used in IHC (Paraffin sections) (IHC-P). GTX101395
GTX101395 IHC-P Image

ACE2 antibody [N1N2], N-term detects ACE2 protein at cytoplasm by immunohistochemical analysis.
Sample: Paraffin-embedded mouse lung.
ACE2 stained by ACE2 antibody [N1N2], N-term (GTX101395) diluted at 1:2000.
Antigen Retrieval: Citrate buffer, pH 6.0, 15 min

6 / 20
Anti-ACE2 antibody [N1N2], N-term used in Western Blot (WB). GTX101395
GTX101395 WB Image

GTX135683-pro Human ACE2 (ECD) protein , mouse IgG Fc tag protein (1 μg) were separated by 7.5% SDS-PAGE, and the membrane was blotted with ACE2 antibody [N1N2], N-term (GTX101395) diluted at 1:100000. The HRP-conjugated anti-rabbit IgG antibody (GTX213110-01) was used to detect the primary antibody.

7 / 20
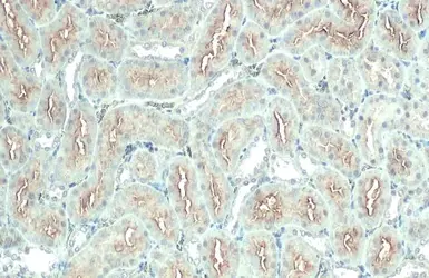
Anti-ACE2 antibody [N1N2], N-term used in IHC (Paraffin sections) (IHC-P). GTX101395
GTX101395 IHC-P Image

ACE2 antibody [N1N2], N-term detects ACE2 protein at cell membrane by immunohistochemical analysis.
Sample: Paraffin-embedded mouse kidney.
ACE2 stained by ACE2 antibody [N1N2], N-term (GTX101395) diluted at 1:1000.
Antigen Retrieval: Citrate buffer, pH 6.0, 15 min

8 / 20
Anti-ACE2 antibody [N1N2], N-term used in Immunocytochemistry/ Immunofluorescence (ICC/IF). GTX101395
GTX101395 ICC/IF Image

ACE2 antibody [N1N2], N-term detects ACE2 protein at cell membrane by immunofluorescent analysis.
Sample: Vero E6 cells were fixed in ice-cold MeOH for 5 min.
Green: ACE2 stained by ACE2 antibody [N1N2], N-term (GTX101395) diluted at 1:1000.
Blue: Fluoroshield with DAPI (GTX30920).
Scale bar= 10 μm.

9 / 20
Anti-ACE2 antibody [N1N2], N-term used in Western Blot (WB). GTX101395
GTX101395 WB Image

Various whole cell extracts (30 μg) were separated by 7.5% SDS-PAGE, and the membrane was blotted with ACE2 antibody [N1N2], N-term (GTX101395) diluted at 1:500. The HRP-conjugated anti-rabbit IgG antibody (GTX213110-01) was used to detect the primary antibody.

10 / 20
Anti-ACE2 antibody [N1N2], N-term used in IHC (Paraffin sections) (IHC-P). GTX101395
GTX101395 IHC-P Image

ACE2 antibody [N1N2], N-term detects ACE2 protein at cell membrane by immunohistochemical analysis.
Sample: Paraffin-embedded mouse duodenum.
ACE2 stained by ACE2 antibody [N1N2], N-term (GTX101395) diluted at 1:1000.
Antigen Retrieval: Citrate buffer, pH 6.0, 15 min

11 / 20
Anti-ACE2 antibody [N1N2], N-term used in ELISA (ELISA). GTX101395
GTX101395 ELISA Image

Functional ELISA analysis of immobilized recombinant SARS-CoV-2 (COVID-19) Spike RBD protein, His tag (active) (GTX01546-pro) (coated at 2 μg/mL) binding to soluble recombinant Human ACE2 (ECD) protein , mouse IgG Fc tag (GTX135683-pro) (4.5-10000 ng/mL). Bound protein was detected by ACE2 antibody [N1N2], N-term (GTX101395) (0.5 μg/mL) and Rabbit IgG antibody (HRP) (GTX213110-01) (1:10000) detected bound primary antibody.

12 / 20
Anti-ACE2 antibody [N1N2], N-term used in Western Blot (WB). GTX101395
GTX101395 WB Image

Non-transfected (–) and transfected (+) HepG2 whole cell extracts (30 μg) were separated by 5% SDS-PAGE, and the membrane was blotted with ACE2 antibody [N1N2], N-term (GTX101395) diluted at 1:500. The HRP-conjugated anti-rabbit IgG antibody (GTX213110-01) was used to detect the primary antibody.

13 / 20
Anti-ACE2 antibody [N1N2], N-term used in Immunocytochemistry/ Immunofluorescence (ICC/IF). GTX101395
GTX101395 ICC/IF Image

ACE2 antibody [N1N2], N-term detects ACE2 protein at cell membrane and cytoplasm by immunofluorescent analysis.
Sample: Caco-2 cells were fixed in ice-cold MeOH for 5 min.
Green: ACE2 stained by ACE2 antibody [N1N2], N-term (GTX101395) diluted at 1:500.
Blue: Fluoroshield with DAPI (GTX30920).

14 / 20
Anti-ACE2 antibody [N1N2], N-term used in Immunocytochemistry/ Immunofluorescence (ICC/IF). GTX101395
GTX101395 ICC/IF Image

ACE2 antibody [N1N2], N-term detects ACE2 protein at cell membrane by immunofluorescent analysis.
Sample: Vero E6 cells were fixed in ice-cold MeOH for 5 min.
Green: ACE2 stained by ACE2 antibody [N1N2], N-term (GTX101395) diluted at 1:1000.
Blue: Fluoroshield with DAPI (GTX30920).

15 / 20
Anti-ACE2 antibody [N1N2], N-term used in Western Blot (WB). GTX101395
GTX101395 WB Image

Mouse tissue extract (50 μg) was separated by 7.5% SDS-PAGE, and the membrane was blotted with ACE2 antibody [N1N2], N-term (GTX101395) diluted at 1:500. The HRP-conjugated anti-rabbit IgG antibody (GTX213110-01) was used to detect the primary antibody, and the signal was developed with Trident ECL plus-Enhanced.

16 / 20
Anti-ACE2 antibody [N1N2], N-term used in Immunocytochemistry/ Immunofluorescence (ICC/IF). GTX101395
GTX101395 ICC/IF Image

The data was published in the 2022 in Biomedicines. PMID: 35625919

17 / 20
Anti-ACE2 antibody [N1N2], N-term used in IHC (Paraffin sections) (IHC-P). GTX101395
GTX101395 IHC-P Image

The data was published in the 2022 in Biomedicines. PMID: 35625919

18 / 20
Anti-ACE2 antibody [N1N2], N-term used in Flow cytometry (FCM). GTX101395
GTX101395 FCM Image

The data was published in the 2022 in Biomedicines. PMID: 35625919

19 / 20
Anti-ACE2 antibody [N1N2], N-term used in Immunocytochemistry/ Immunofluorescence (ICC/IF). GTX101395
GTX101395 ICC/IF Image

The data was published in the 2022 in Biomedicines. PMID: 35625919

20 / 20
Anti-ACE2 antibody [N1N2], N-term used in IHC (Paraffin sections) (IHC-P). GTX101395
Anti-ACE2 antibody [N1N2], N-term used in Western Blot (WB). GTX101395
Anti-ACE2 antibody [N1N2], N-term used in ELISA (ELISA). GTX101395
Anti-ACE2 antibody [N1N2], N-term used in Western Blot (WB). GTX101395
Anti-ACE2 antibody [N1N2], N-term used in IHC (Paraffin sections) (IHC-P). GTX101395
Anti-ACE2 antibody [N1N2], N-term used in IHC (Paraffin sections) (IHC-P). GTX101395
Anti-ACE2 antibody [N1N2], N-term used in Western Blot (WB). GTX101395
Anti-ACE2 antibody [N1N2], N-term used in IHC (Paraffin sections) (IHC-P). GTX101395
Anti-ACE2 antibody [N1N2], N-term used in Immunocytochemistry/ Immunofluorescence (ICC/IF). GTX101395
Anti-ACE2 antibody [N1N2], N-term used in Western Blot (WB). GTX101395
Anti-ACE2 antibody [N1N2], N-term used in IHC (Paraffin sections) (IHC-P). GTX101395
Anti-ACE2 antibody [N1N2], N-term used in ELISA (ELISA). GTX101395
Anti-ACE2 antibody [N1N2], N-term used in Western Blot (WB). GTX101395
Anti-ACE2 antibody [N1N2], N-term used in Immunocytochemistry/ Immunofluorescence (ICC/IF). GTX101395
Anti-ACE2 antibody [N1N2], N-term used in Immunocytochemistry/ Immunofluorescence (ICC/IF). GTX101395
Anti-ACE2 antibody [N1N2], N-term used in Western Blot (WB). GTX101395
Anti-ACE2 antibody [N1N2], N-term used in Immunocytochemistry/ Immunofluorescence (ICC/IF). GTX101395
Anti-ACE2 antibody [N1N2], N-term used in IHC (Paraffin sections) (IHC-P). GTX101395
Anti-ACE2 antibody [N1N2], N-term used in Flow cytometry (FCM). GTX101395
Anti-ACE2 antibody [N1N2], N-term used in Immunocytochemistry/ Immunofluorescence (ICC/IF). GTX101395
  • Host
    Rabbit
  • Clonality
    Polyclonal
  • Isotype
    IgG
  • Applications
    WB ICC/IF IHC-P FCM ELISA
  • Reactivity
    Human, Mouse, Rat, African green monkey
See all ACE2 products