AKT1 antibody [HL1142]

Cat. No. GTX636413
Cat. No.  GTX636413
Anti-AKT1 antibody [HL1142] used in Western Blot (WB). GTX636413
GTX636413 WB Image

Wild-type (WT) and AKT1 knockout (KO) HeLa cell extracts (30 μg) were separated by 7.5% SDS-PAGE, and the membrane was blotted with AKT1 antibody [HL1142] (GTX636413) diluted at 1:500. The HRP-conjugated anti-rabbit IgG antibody (GTX213110-01) was used to detect the primary antibody.

1 / 8
Anti-AKT1 antibody [HL1142] used in Western Blot (WB). GTX636413
GTX636413 WB Image

Various whole cell extracts (30 μg) were separated by 10% SDS-PAGE, and the membrane was blotted with AKT1 antibody [HL1142] (GTX636413) diluted at 1:1000. The HRP-conjugated anti-rabbit IgG antibody (GTX213110-01) was used to detect the primary antibody.

2 / 8
Anti-AKT1 antibody [HL1142] used in Western Blot (WB). GTX636413
GTX636413 WB Image

Non-transfected (–) and transfected (+) 293T whole cell extracts (30 | 10 | 5 | 50 μg) were separated by 10% SDS-PAGE, and the membrane was blotted with AKT1 antibody [HL1142] (GTX636413) diluted at 1:5000. The HRP-conjugated anti-rabbit IgG antibody (GTX213110-01) was used to detect the primary antibody.

3 / 8
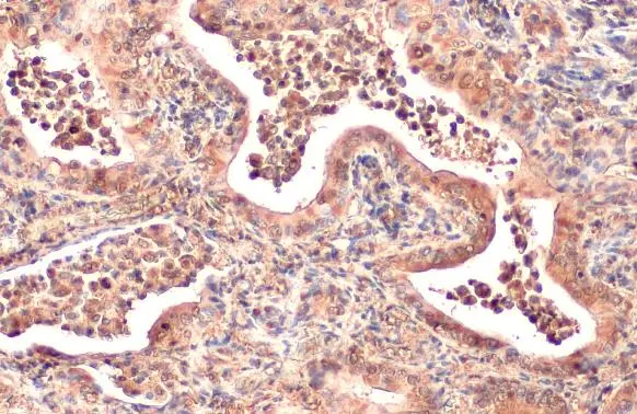
Anti-AKT1 antibody [HL1142] used in IHC (Paraffin sections) (IHC-P). GTX636413
GTX636413 IHC-P Image

AKT1 antibody [HL1142] detects AKT1 protein at cytoplasm by immunohistochemical analysis.
Sample: Paraffin-embedded human lung cancer.
AKT1 stained by AKT1 antibody [HL1142] (GTX636413) diluted at 1:100.
Antigen Retrieval: Citrate buffer, pH 6.0, 15 min

4 / 8
Anti-AKT1 antibody [HL1142] used in Immunocytochemistry/ Immunofluorescence (ICC/IF). GTX636413
GTX636413 ICC/IF Image

AKT1 antibody [HL1142] detects AKT1 protein at cytoplasm and nucleus by immunofluorescent analysis.
Sample: HeLa cells were fixed in 4% paraformaldehyde at RT for 15 min.
Green: AKT1 stained by AKT1 antibody [HL1142] (GTX636413) diluted at 1:500.
Blue: Fluoroshield with DAPI (GTX30920).

5 / 8
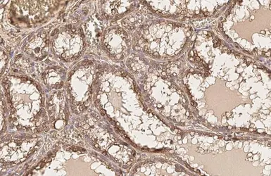
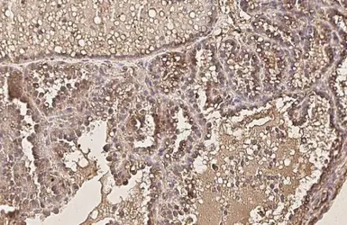
Anti-AKT1 antibody [HL1142] used in IHC (Paraffin sections) (IHC-P). GTX636413
GTX636413 IHC-P Image

AKT1 antibody [HL1142] detects AKT1 protein at cell membrane and cytoplasm by immunohistochemical analysis.
Sample: Paraffin-embedded cat mammary gland.
AKT1 stained by AKT1 antibody [HL1142] (GTX636413) diluted at 1:100.
Antigen Retrieval: Citrate buffer, pH 6.0, 15 min

6 / 8
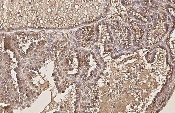
Anti-AKT1 antibody [HL1142] used in IHC (Paraffin sections) (IHC-P). GTX636413
GTX636413 IHC-P Image

AKT1 antibody [HL1142] detects AKT1 protein at cell membrane and cytoplasm by immunohistochemical analysis.
Sample: Paraffin-embedded dog mammary gland.
AKT1 stained by AKT1 antibody [HL1142] (GTX636413) diluted at 1:100.
Antigen Retrieval: Citrate buffer, pH 6.0, 15 min

7 / 8
Anti-AKT1 antibody [HL1142] used in Western Blot (WB). GTX636413
GTX636413 WB Image

Whole cell extract (30 μg) was separated by 7.5% SDS-PAGE, and the membrane was blotted with AKT1 antibody [HL1142] (GTX636413) diluted at 1:1000. The HRP-conjugated anti-rabbit IgG antibody (GTX213110-01) was used to detect the primary antibody.

8 / 8
Anti-AKT1 antibody [HL1142] used in Western Blot (WB). GTX636413
Anti-AKT1 antibody [HL1142] used in Western Blot (WB). GTX636413
Anti-AKT1 antibody [HL1142] used in Western Blot (WB). GTX636413
Anti-AKT1 antibody [HL1142] used in IHC (Paraffin sections) (IHC-P). GTX636413
Anti-AKT1 antibody [HL1142] used in Immunocytochemistry/ Immunofluorescence (ICC/IF). GTX636413
Anti-AKT1 antibody [HL1142] used in IHC (Paraffin sections) (IHC-P). GTX636413
Anti-AKT1 antibody [HL1142] used in IHC (Paraffin sections) (IHC-P). GTX636413
Anti-AKT1 antibody [HL1142] used in Western Blot (WB). GTX636413
  • Host
    Rabbit
  • Clonality
    Monoclonal
  • Clone Name
    HL1142
  • Isotype
    IgG
  • Applications
    WB ICC/IF IHC-P
  • Reactivity
    Human, Rat, Cat, Dog
See all AKT1 products