ALDH1A1 antibody

Cat. No. GTX123973
Cat. No.  GTX123973
Anti-ALDH1A1 antibody used in Western Blot (WB). GTX123973
GTX123973 WB Image

ALDH1A1 antibody detects ALDH1A1 protein by western blot analysis.
A. 50 μg mouse liver lysate/extract
10% SDS-PAGE
ALDH1A1 antibody (GTX123973) dilution: 1:5000
The HRP-conjugated anti-rabbit IgG antibody (GTX213110-01) was used to detect the primary antibody.

1 / 11
Anti-ALDH1A1 antibody used in Immunocytochemistry/ Immunofluorescence (ICC/IF). GTX123973
GTX123973 ICC/IF Image

Immunofluorescence analysis of methanol-fixed A549, using ALDH1A1(GTX123973) antibody at 1:500 dilution.

2 / 11
Anti-ALDH1A1 antibody used in Western Blot (WB). GTX123973
GTX123973 WB Image

ALDH1A1 antibody detects ALDH1A1 protein by western blot analysis.
A. 50 μg rat liver lysate/extract
10% SDS-PAGE
ALDH1A1 antibody (GTX123973) dilution: 1:5000
The HRP-conjugated anti-rabbit IgG antibody (GTX213110-01) was used to detect the primary antibody.

3 / 11
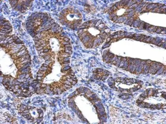
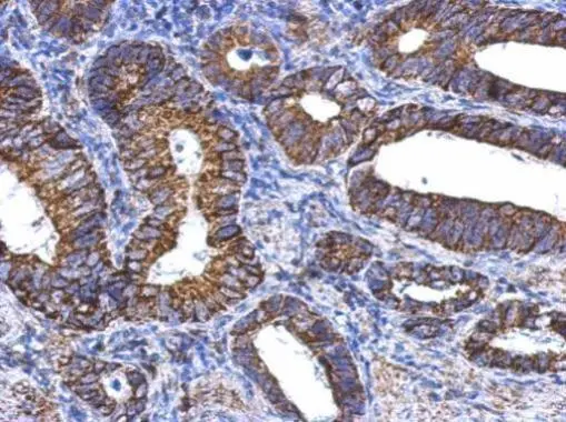
Anti-ALDH1A1 antibody used in IHC (Paraffin sections) (IHC-P). GTX123973
GTX123973 IHC-P Image

Immunohistochemical analysis of paraffin-embedded human gastric cancer, using ALDH1A1(GTX123973) antibody at 1:500 dilution.
Antigen Retrieval: Trilogy™ (EDTA based, pH 8.0) buffer, 15min

4 / 11
Anti-ALDH1A1 antibody used in Western Blot (WB). GTX123973
GTX123973 WB Image

Various whole cell extracts (30 μg) were separated by 10% SDS-PAGE, and the membrane was blotted with ALDH1A1 antibody (GTX123973) diluted at 1:10000. The HRP-conjugated anti-rabbit IgG antibody (GTX213110-01) was used to detect the primary antibody.

5 / 11
Anti-ALDH1A1 antibody used in Western Blot (WB). GTX123973
GTX123973 WB Image

PG-4 whole cell extract (30 μg) was separated by 10% SDS-PAGE, and the membrane was blotted with ALDH1A1 antibody (GTX123973) diluted at 1:10000. The HRP-conjugated anti-rabbit IgG antibody (GTX213110-01) was used to detect the primary antibody.

6 / 11
Anti-ALDH1A1 antibody used in IHC (Whole mount) (IHC-Wm). GTX123973
GTX123973 IHC-Wm Image

ALDH1A1 antibody detects Aldh1a2 protein on whole-mount zebrafish embryos by immunohistochemical analysis.?
Sample: Paraformaldehyde-fixed zebrafish embryos.
ALDH1A1 antibody (GTX123973) dilution: 1:200.

7 / 11
Anti-ALDH1A1 antibody used in Western Blot (WB). GTX123973
GTX123973 WB Image

The data was published in the journal Mol Oncol in 2020.PMID: 32037723

8 / 11
Anti-ALDH1A1 antibody used in Western Blot (WB). GTX123973
GTX123973 WB Image

The data was published in the 2021 in Cancer Drug Resist. PMID: 35582384

9 / 11
Anti-ALDH1A1 antibody used in Western Blot (WB). GTX123973
GTX123973 WB Image

The data was published in the journal Cell Death Dis in 2015. PMID: 26136074

10 / 11
Anti-ALDH1A1 antibody used in Western Blot (WB). GTX123973
GTX123973 WB Image

The data was published in the 2020 in Front Pharmacol. PMID: 33381038

11 / 11
Anti-ALDH1A1 antibody used in Western Blot (WB). GTX123973
Anti-ALDH1A1 antibody used in Immunocytochemistry/ Immunofluorescence (ICC/IF). GTX123973
Anti-ALDH1A1 antibody used in Western Blot (WB). GTX123973
Anti-ALDH1A1 antibody used in IHC (Paraffin sections) (IHC-P). GTX123973
Anti-ALDH1A1 antibody used in Western Blot (WB). GTX123973
Anti-ALDH1A1 antibody used in Western Blot (WB). GTX123973
Anti-ALDH1A1 antibody used in IHC (Whole mount) (IHC-Wm). GTX123973
Anti-ALDH1A1 antibody used in Western Blot (WB). GTX123973
Anti-ALDH1A1 antibody used in Western Blot (WB). GTX123973
Anti-ALDH1A1 antibody used in Western Blot (WB). GTX123973
Anti-ALDH1A1 antibody used in Western Blot (WB). GTX123973
  • Host
    Rabbit
  • Clonality
    Polyclonal
  • Isotype
    IgG
  • Applications
    WB ICC/IF IHC-P IHC-Wm
  • Reactivity
    Human, Mouse, Rat, Zebrafish, Cat
See all ALDH1A1 products