ALK antibody, Internal

Cat. No. GTX81366
Cat. No.  GTX81366
Anti-ALK antibody, Internal used in Western Blot (WB). GTX81366
GTX81366 WB Image

WB analysis of 293 cell lysate (2 ug/lane) either nontransfected (Lane 1) or transiently transfected with the ALK (Lane 2) using GTX81366 ALK antibody, Internal.

1 / 2
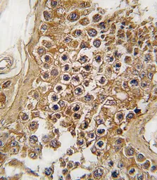
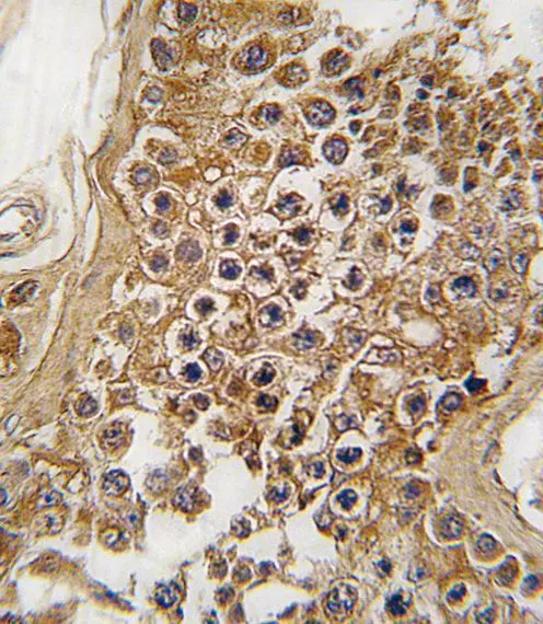
Anti-ALK antibody, Internal used in IHC (Paraffin sections) (IHC-P). GTX81366
GTX81366 IHC-P Image

IHC-P analysis of human testis tissue using GTX81366 ALK antibody, Internal.

2 / 2
Anti-ALK antibody, Internal used in Western Blot (WB). GTX81366
Anti-ALK antibody, Internal used in IHC (Paraffin sections) (IHC-P). GTX81366
  • Host
    Rabbit
  • Clonality
    Polyclonal
  • Isotype
    IgG
  • Applications
    WB IHC-P
  • Reactivity
    Human
See all ALK products