AXL antibody

Cat. No. GTX129407
Cat. No.  GTX129407
Anti-AXL antibody used in Western Blot (WB). GTX129407
GTX129407 WB Image

Non-transfected (–) and transfected (+) HeLa whole cell extracts (60 μg) were separated by 7.5% SDS-PAGE, and the membrane was blotted with AXL antibody (GTX129407) diluted at 1:500. The HRP-conjugated anti-rabbit IgG antibody (GTX213110-01) was used to detect the primary antibody.

1 / 8
Anti-AXL antibody used in IHC (Paraffin sections) (IHC-P). GTX129407
GTX129407 IHC-P Image

AXL antibody detects AXL protein at membrane on human colon carcinoma by immunohistochemical analysis.
Sample: Paraffin-embedded human colon carcinoma.
AXL antibody (GTX129407) dilution: 1:500.

Antigen Retrieval: Trilogy™ (EDTA based, pH 8.0) buffer, 15min

2 / 8
Anti-AXL antibody used in IHC (Paraffin sections) (IHC-P). GTX129407
GTX129407 IHC-P Image

AXL antibody detects AXL protein at cell membrane in human lung cancer by immunohistochemical analysis.
Sample: Paraffin-embedded human lung cancer.
Green: AXL antibody (GTX129407) diluted at 1:200. The signal was developed using goat anti-rabbit IgG antibody (Dylight488) (GTX213110-04).
Blue: Nuclear staining with Hoechst 33342.

Antigen Retrieval: Citrate buffer, pH 6.0, 15 min

3 / 8
Anti-AXL antibody used in Western Blot (WB). GTX129407
GTX129407 WB Image

Various whole cell extracts (30 μg) were separated by 5% SDS-PAGE, and the membrane was blotted with AXL antibody (GTX129407) diluted at 1:1000. The HRP-conjugated anti-rabbit IgG antibody (GTX213110-01) was used to detect the primary antibody.

4 / 8
Anti-AXL antibody used in ELISA (ELISA). GTX129407
GTX129407 ELISA Image

An ELISA plate is coated with 50 μL of AXL recombinant protein at concentration of 4 μg/mL. The coated protein is detected with anti-AXL antibody (GTX129407) at concentration ranged from 0.25 to 1000 ng/mL.

5 / 8
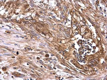
Anti-AXL antibody used in IHC (Paraffin sections) (IHC-P). GTX129407
GTX129407 IHC-P Image

AXL antibody detects AXL protein at cell membrane on human non-small cell lung carcinoma by immunohistochemical analysis.
Sample: Paraffin-embedded human non-small cell lung carcinoma.
AXL antibody (GTX129407) diluted at 1:500.

Antigen Retrieval: Trilogy™ (EDTA based, pH 8.0) buffer, 15min

6 / 8
Anti-AXL antibody used in Western Blot (WB). GTX129407
GTX129407 WB Image

AXL antibody detects AXL protein by western blot analysis.
A. 30 μg 293T whole cell extract
B. 30 μg whole cell extract of human AXL-transfected 293T cells
7.5 % SDS-PAGE
AXL antibody (GTX129407) dilution: 1:5000

7 / 8
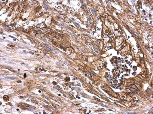
Anti-AXL antibody used in IHC (Paraffin sections) (IHC-P). GTX129407
GTX129407 IHC-P Image

AXL antibody detects AXL protein at membrane on human non-small cell lung carcinoma by immunohistochemical analysis.
Sample: Paraffin-embedded human non-small cell lung carcinoma.
AXL antibody (GTX129407) dilution: 1:500.

Antigen Retrieval: Trilogy™ (EDTA based, pH 8.0) buffer, 15min

8 / 8
Anti-AXL antibody used in Western Blot (WB). GTX129407
Anti-AXL antibody used in IHC (Paraffin sections) (IHC-P). GTX129407
Anti-AXL antibody used in IHC (Paraffin sections) (IHC-P). GTX129407
Anti-AXL antibody used in Western Blot (WB). GTX129407
Anti-AXL antibody used in ELISA (ELISA). GTX129407
Anti-AXL antibody used in IHC (Paraffin sections) (IHC-P). GTX129407
Anti-AXL antibody used in Western Blot (WB). GTX129407
Anti-AXL antibody used in IHC (Paraffin sections) (IHC-P). GTX129407
  • Host
    Rabbit
  • Clonality
    Polyclonal
  • Isotype
    IgG
  • Applications
    WB IHC-P ELISA
  • Reactivity
    Human
See all AXL products