BRCA1 antibody [17F8] - ChIP grade

Cat. No. GTX70111
Cat. No.  GTX70111
Anti-BRCA1 antibody [17F8] - ChIP grade used in Western Blot (WB). GTX70111
GTX70111 WB Image

Wild-type (WT) and BRCA1 knockout (KO) HeLa cell extracts (30 μg) were separated by 5% SDS-PAGE, and the membrane was blotted with BRCA1 antibody [17F8] - ChIP grade (GTX70111) diluted at 1:500. The HRP-conjugated anti-mouse IgG antibody (GTX213111-01) was used to detect the primary antibody, and the signal was developed with Trident ECL plus-Enhanced.

1 / 11
Anti-BRCA1 antibody [17F8] - ChIP grade used in Western Blot (WB). GTX70111
GTX70111 WB Image

Non-transfected (–) and transfected (+) 293T whole cell extracts (60 μg) were separated by 5% SDS-PAGE, and the membrane was blotted with BRCA1 antibody [17F8] - ChIP grade (GTX70111) diluted at 1:500. The HRP-conjugated anti-mouse IgG antibody (GTX213111-01) was used to detect the primary antibody.

2 / 11
Anti-BRCA1 antibody [17F8] - ChIP grade used in Immunoprecipitation (IP). GTX70111
GTX70111 IP Image

BRCA1 antibody 6B4 (GTX70115) and BRCA1 antibody 17F8 (GTX70111) was used for IP-WB assay.
6B4 alone (4 microgram), 17F8 alone (4 microgram), 6B4 plus 17F8 (2 microgram each), and mouse control normal IgG were used in an immunoprecipitation assay with MCF7 cell extract.
Immunoprecipitated BRCA1 was detected in WB using BRCA1 antibody 6B4 at 1:1000 dilution.

3 / 11
Anti-BRCA1 antibody [17F8] - ChIP grade used in ChIP assay (ChIP assay). GTX70111
GTX70111 ChIP assay Image

BRCA1 antibody 6B4 (GTX70115) and BRCA1 antibody 17F8 (GTX70111) were used for ChIP assay.
The 6B4 and 17F8 mixture (3 microgram each), or normal mouse IgG (6 microgram) were incubated with HeLa chromatin extract (100 umicrogram each) in the ChIP assay.
Enrichment of genomic DNA on a BRCA1 target gene promoter (HMGA2) was validated by a Q-PCR assay.

4 / 11
Anti-BRCA1 antibody [17F8] - ChIP grade used in Western Blot (WB). GTX70111
GTX70111 WB Image

BRCA1 antibody [17F8] - ChIP grade detects BRCA1 protein by western blot analysis. Various whole cell extracts (30 μg) were separated by 5% SDS-PAGE, and blotted with BRCA1 antibody [17F8] - ChIP grade (GTX70111) diluted by 1:500. The HRP-conjugated anti-mouse IgG antibody (GTX213111-01) was used to detect the primary antibody.

5 / 11
Anti-BRCA1 antibody [17F8] - ChIP grade used in Western Blot (WB). GTX70111
GTX70111 WB Image

The data was published in the journal PLoS Pathog in 2016. PMID: 27764250

6 / 11
Anti-BRCA1 antibody [17F8] - ChIP grade used in Western Blot (WB). GTX70111
GTX70111 WB Image

The data was published in the journal PLoS Pathog in 2016. PMID: 27764250

7 / 11
Anti-BRCA1 antibody [17F8] - ChIP grade used in Western Blot (WB). GTX70111
GTX70111 WB Image

The data was published in the journal PLoS Pathog in 2016. PMID: 27764250

8 / 11
Anti-BRCA1 antibody [17F8] - ChIP grade used in Western Blot (WB). GTX70111
GTX70111 WB Image

The data was published in the journal PLoS Pathog in 2016. PMID: 27764250

9 / 11
Anti-BRCA1 antibody [17F8] - ChIP grade used in Western Blot (WB). GTX70111
GTX70111 WB Image

The data was published in the journal PLoS Pathog in 2016. PMID: 27764250

10 / 11
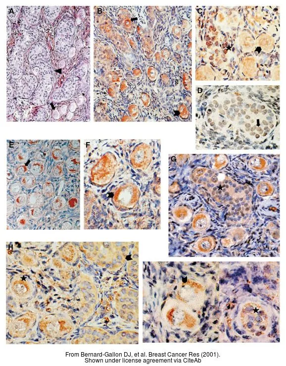
Anti-BRCA1 antibody [17F8] - ChIP grade used in IHC (Paraffin sections) (IHC-P). GTX70111
GTX70111 IHC-P Image

The data was published in the journal Breast Cancer Res in 2001. PMID: 11250747

11 / 11
Anti-BRCA1 antibody [17F8] - ChIP grade used in Western Blot (WB). GTX70111
Anti-BRCA1 antibody [17F8] - ChIP grade used in Western Blot (WB). GTX70111
Anti-BRCA1 antibody [17F8] - ChIP grade used in Immunoprecipitation (IP). GTX70111
Anti-BRCA1 antibody [17F8] - ChIP grade used in ChIP assay (ChIP assay). GTX70111
Anti-BRCA1 antibody [17F8] - ChIP grade used in Western Blot (WB). GTX70111
Anti-BRCA1 antibody [17F8] - ChIP grade used in Western Blot (WB). GTX70111
Anti-BRCA1 antibody [17F8] - ChIP grade used in Western Blot (WB). GTX70111
Anti-BRCA1 antibody [17F8] - ChIP grade used in Western Blot (WB). GTX70111
Anti-BRCA1 antibody [17F8] - ChIP grade used in Western Blot (WB). GTX70111
Anti-BRCA1 antibody [17F8] - ChIP grade used in Western Blot (WB). GTX70111
Anti-BRCA1 antibody [17F8] - ChIP grade used in IHC (Paraffin sections) (IHC-P). GTX70111
  • Host
    Mouse
  • Clonality
    Monoclonal
  • Clone Name
    17F8
  • Isotype
    IgG1
  • Applications
    WB ICC/IF IHC-P IP ELISA ChIP assay IHC
  • Reactivity
    Human, Mouse
See all BRCA1 products