Bax antibody [HL236]

Cat. No. GTX635715
Cat. No.  GTX635715
Anti-Bax antibody [HL236] used in Western Blot (WB). GTX635715
GTX635715 WB Image

Wild-type (WT) and NME4 knockout (KO) HeLa cell extracts (30 μg) were separated by 15% SDS-PAGE, and the membrane was blotted with Bax antibody [HL236] (GTX635715) diluted at 1:1000. The HRP-conjugated anti-rabbit IgG antibody (GTX213110-01) was used to detect the primary antibody.

1 / 9
Anti-Bax antibody [HL236] used in Western Blot (WB). GTX635715
GTX635715 WB Image

Wild-type (WT) and Bax knockout (KO) Expi293 cell extracts (30 μg) were separated by 15% SDS-PAGE, and the membrane was blotted with Bax antibody [HL236] (GTX635715) diluted at 1:1000. The HRP-conjugated anti-rabbit IgG antibody (GTX213110-01) was used to detect the primary antibody.

2 / 9
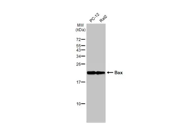
Anti-Bax antibody [HL236] used in Western Blot (WB). GTX635715
GTX635715 WB Image

Various whole cell extracts (30 μg) were separated by 15% SDS-PAGE, and the membrane was blotted with Bax antibody [HL236] (GTX635715) diluted at 1:1000. The HRP-conjugated anti-rabbit IgG antibody (GTX213110-01) was used to detect the primary antibody.

3 / 9
Anti-Bax antibody [HL236] used in IHC (Paraffin sections) (IHC-P). GTX635715
GTX635715 IHC-P Image

Bax antibody [HL236] detects Bax protein at cytoplasm by immunohistochemical analysis.
Sample: Paraffin-embedded mouse kidney.
Bax stained by Bax antibody [HL236] (GTX635715) diluted at 1:50.
Antigen Retrieval: Citrate buffer, pH 6.0, 15 min

4 / 9
Anti-Bax antibody [HL236] used in Western Blot (WB). GTX635715
GTX635715 WB Image

Various whole cell extracts (30 μg) were separated by 15% SDS-PAGE, and the membrane was blotted with Bax antibody [HL236] (GTX635715) diluted at 1:1000. The HRP-conjugated anti-rabbit IgG antibody (GTX213110-01) was used to detect the primary antibody. Corresponding RNA expression data for the same cell lines are based on Human Protein Atlas program.

5 / 9
Anti-Bax antibody [HL236] used in Western Blot (WB). GTX635715
GTX635715 WB Image

Various tissue extracts (50 μg) were separated by 12% SDS-PAGE, and the membrane was blotted with Bax antibody [HL236] (GTX635715) diluted at 1:1000. The HRP-conjugated anti-rabbit IgG antibody (GTX213110-01) was used to detect the primary antibody.

6 / 9
Anti-Bax antibody [HL236] used in IHC (Paraffin sections) (IHC-P). GTX635715
GTX635715 IHC-P Image

Bax antibody [HL236] detects Bax protein by immunohistochemical analysis.
Sample: Paraffin-embedded mouse tissues.
Bax stained by Bax antibody [HL236] (GTX635715) diluted at 1:100.
Antigen Retrieval: Citrate buffer, pH 6.0, 15 min

7 / 9
Anti-Bax antibody [HL236] used in IHC (Paraffin sections) (IHC-P). GTX635715
GTX635715 IHC-P Image

Bax antibody [HL236] detects Bax protein by immunohistochemical analysis.
Sample: Paraffin-embedded rat tissues.
Bax stained by Bax antibody [HL236] (GTX635715) diluted at 1:100.
Antigen Retrieval: Citrate buffer, pH 6.0, 15 min

8 / 9
Anti-Bax antibody [HL236] used in Western Blot (WB). GTX635715
GTX635715 WB Image

Raw264.7 whole cell extract (30 μg) was separated by 12% SDS-PAGE, and the membrane was blotted with Bax antibody [HL236] (GTX635715) diluted at 1:1000. The HRP-conjugated anti-rabbit IgG antibody (GTX213110-01) was used to detect the primary antibody.

9 / 9
Anti-Bax antibody [HL236] used in Western Blot (WB). GTX635715
Anti-Bax antibody [HL236] used in Western Blot (WB). GTX635715
Anti-Bax antibody [HL236] used in Western Blot (WB). GTX635715
Anti-Bax antibody [HL236] used in IHC (Paraffin sections) (IHC-P). GTX635715
Anti-Bax antibody [HL236] used in Western Blot (WB). GTX635715
Anti-Bax antibody [HL236] used in Western Blot (WB). GTX635715
Anti-Bax antibody [HL236] used in IHC (Paraffin sections) (IHC-P). GTX635715
Anti-Bax antibody [HL236] used in IHC (Paraffin sections) (IHC-P). GTX635715
Anti-Bax antibody [HL236] used in Western Blot (WB). GTX635715
  • Host
    Rabbit
  • Clonality
    Monoclonal
  • Clone Name
    HL236
  • Isotype
    IgG
  • Applications
    WB IHC-P
  • Reactivity
    Human, Mouse, Rat, Dog
See all Bax products