Bid antibody [N1C3-2]

Cat. No. GTX110568
Cat. No.  GTX110568
Anti-Bid antibody [N1C3-2] used in Western Blot (WB). GTX110568
GTX110568 WB Image

Non-transfected (–) and transfected (+) 293T whole cell extracts (60 μg) were separated by 12% SDS-PAGE, and the membrane was blotted with Bid antibody [N1C3-2] (GTX110568) diluted at 1:1000. The HRP-conjugated anti-rabbit IgG antibody (GTX213110-01) was used to detect the primary antibody.

1 / 9
Anti-Bid antibody [N1C3-2] used in Western Blot (WB). GTX110568
GTX110568 WB Image

Various whole cell extracts (30 μg) were separated by 12% SDS-PAGE, and the membrane was blotted with Bid antibody [N1C3-2] (GTX110568) diluted at 1:500.

2 / 9
Anti-Bid antibody [N1C3-2] used in Western Blot (WB). GTX110568
GTX110568 WB Image

Whole cell extract (30 μg) was separated by 12% SDS-PAGE, and the membrane was blotted with Bid antibody [N1C3-2] (GTX110568) diluted at 1:1000.

3 / 9
Anti-Bid antibody [N1C3-2] used in Immunocytochemistry/ Immunofluorescence (ICC/IF). GTX110568
GTX110568 ICC/IF Image

Bid antibody [N1C3-2] detects BID protein at cytoplasm by immunofluorescent analysis.
Sample: HeLa cells were fixed in 2% paraformaldehyde/culture medium at 37ºC for 30 min.
Green: BID protein stained by Bid antibody [N1C3-2] (GTX110568) diluted at 1:500.
Blue: Hoechst 33343 staining.

4 / 9
Anti-Bid antibody [N1C3-2] used in Immunocytochemistry/ Immunofluorescence (ICC/IF). GTX110568
GTX110568 ICC/IF Image

Bid antibody [N1C3-2] detects Bid protein at cytoplasm by immunofluorescent analysis.
Sample: A431 cells were fixed in 4% paraformaldehyde at RT for 15 min.
Green: Bid protein stained by Bid antibody [N1C3-2] (GTX110568) diluted at 1:1000.
Red: alpha Tubulin, a cytoskeleton marker, stained by alpha Tubulin antibody [GT114] (GTX628802) diluted at 1:1000.
Blue: Hoechst 33342 staining.

5 / 9
Anti-Bid antibody [N1C3-2] used in Immunoprecipitation (IP). GTX110568
GTX110568 IP Image

Immunoprecipitation of Bid protein from Jurkat whole cell extracts using 5 μg of Bid antibody [N1C3-2] (GTX110568) or Bid antibody [N1C3] (GTX101323).
Western blot analysis was performed using Bid antibody [N1C3-2] (GTX110568) diluted at 1:500.
EasyBlot anti-Rabbit IgG (GTX221666-01) was used as a secondary reagent.

6 / 9
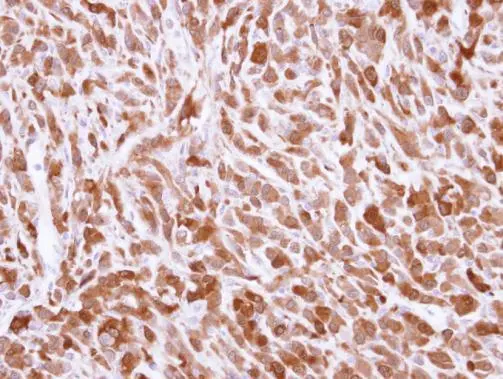
Anti-Bid antibody [N1C3-2] used in IHC (Paraffin sections) (IHC-P). GTX110568
GTX110568 IHC-P Image

Immunohistochemical analysis of paraffin-embedded U87 xenograft, using Bid(GTX110568) antibody at 1:500 dilution.
Antigen Retrieval: Citrate buffer, pH 6.0, 15 min

7 / 9
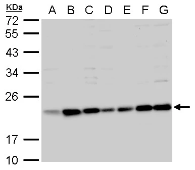
Anti-Bid antibody [N1C3-2] used in Western Blot (WB). GTX110568
GTX110568 WB Image

Bid antibody [N1C3-2] detects Bid protein by western blot analysis.
A. 30 μg 293T whole cell lysate/extract
B. 30 μg A431 whole cell lysate/extract
C. 30 μg H1299 whole cell lysate/extract
D. 30 μg HeLa whole cell lysate/extract
E. 30 μg HepG2 whole cell lysate/extract
F. 30 μg Molt-4 whole cell lysate/extract
G. 30 μg Raji whole cell lysate/extract
7.5 % SDS-PAGE
Bid antibody [N1C3-2] (GTX110568) dilution: 1:1000

8 / 9
Anti-Bid antibody [N1C3-2] used in Western Blot (WB). GTX110568
GTX110568 WB Image

The data was published in the 2016 in Oncotarget. PMID: 27564258

9 / 9
Anti-Bid antibody [N1C3-2] used in Western Blot (WB). GTX110568
Anti-Bid antibody [N1C3-2] used in Western Blot (WB). GTX110568
Anti-Bid antibody [N1C3-2] used in Western Blot (WB). GTX110568
Anti-Bid antibody [N1C3-2] used in Immunocytochemistry/ Immunofluorescence (ICC/IF). GTX110568
Anti-Bid antibody [N1C3-2] used in Immunocytochemistry/ Immunofluorescence (ICC/IF). GTX110568
Anti-Bid antibody [N1C3-2] used in Immunoprecipitation (IP). GTX110568
Anti-Bid antibody [N1C3-2] used in IHC (Paraffin sections) (IHC-P). GTX110568
Anti-Bid antibody [N1C3-2] used in Western Blot (WB). GTX110568
Anti-Bid antibody [N1C3-2] used in Western Blot (WB). GTX110568
  • Host
    Rabbit
  • Clonality
    Polyclonal
  • Isotype
    IgG
  • Applications
    WB ICC/IF IHC-P IP
  • Reactivity
    Human, Mouse, Rat
See all Bid products