BrdU antibody [HL1111]

Cat. No. GTX636326
Cat. No.  GTX636326
Anti-BrdU antibody [HL1111] used in Immunocytochemistry/ Immunofluorescence (ICC/IF). GTX636326
GTX636326 ICC/IF Image

BrdU antibody [HL1111] detects BrdU protein at nucleus by immunofluorescent analysis.
Sample: Mock and treated HeLa cells were fixed in 4% paraformaldehyde at RT for 15 min.
Green: BrdU stained by BrdU antibody [HL1111] (GTX636326) diluted at 1:2000 and competitor's antibody ([BU1/75 (ICR1)]) diluted at 1:2000.
Blue: Fluoroshield with DAPI (GTX30920).

*Competitor's antibody is not affiliated with GeneTex and does not endorse this product.

1 / 3
Anti-BrdU antibody [HL1111] used in Immunocytochemistry/ Immunofluorescence (ICC/IF). GTX636326
GTX636326 ICC/IF Image

BrdU antibody [HL1111] detects BrdU protein at nucleus by immunofluorescent analysis.
Sample: Mock and treated HeLa cells were fixed in 4% paraformaldehyde at RT for 15 min.
Green: BrdU stained by BrdU antibody [HL1111] (GTX636326) diluted at 1:2000.
Blue: Fluoroshield with DAPI (GTX30920).

2 / 3
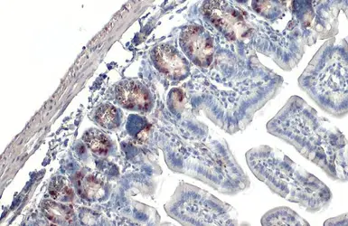
Anti-BrdU antibody [HL1111] used in IHC (Paraffin sections) (IHC-P). GTX636326
GTX636326 IHC-P Image

BrdU antibody [HL1111] detects Bromodeoxyuridine(BrdU) at nucleus in mouse BrdU treated intestine by immunohistochemical analysis.
Sample: Paraffin-embedded mouse intestinal tissue pulsed with BrdU.
BrdU stained by BrdU antibody [HL1111] (GTX636326) diluted at 1:100.
Antigen Retrieval: Citrate buffer, pH 6.0, 15 min

3 / 3
Anti-BrdU antibody [HL1111] used in Immunocytochemistry/ Immunofluorescence (ICC/IF). GTX636326
Anti-BrdU antibody [HL1111] used in Immunocytochemistry/ Immunofluorescence (ICC/IF). GTX636326
Anti-BrdU antibody [HL1111] used in IHC (Paraffin sections) (IHC-P). GTX636326
  • Host
    Rabbit
  • Clonality
    Monoclonal
  • Clone Name
    HL1111
  • Isotype
    IgG
  • Applications
    ICC/IF IHC-P
  • Reactivity
    Species independent
See all BrdU products