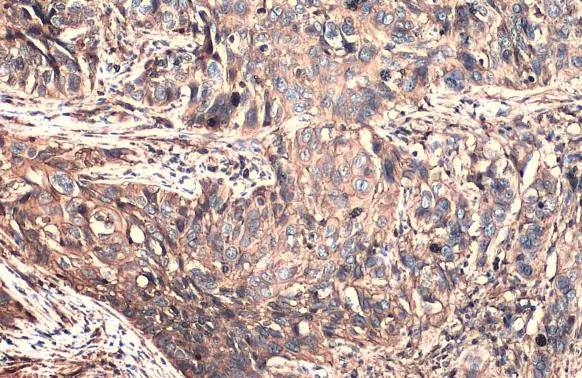
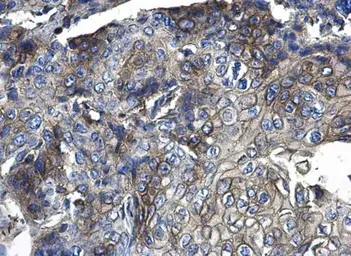
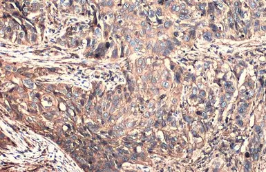
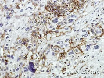
CD44 antibody
Cat. No. GTX102111
Cat. No. GTX102111
-
HostRabbit
-
ClonalityPolyclonal
-
IsotypeIgG
-
ApplicationsWB ICC/IF IHC-P IHC-Fr IP LCI
-
ReactivityHuman, Rat, Rabbit
Summary
CD44 is an 82kDa multifunctional transmembrane glycoprotein involved in cell migration, proliferation, differentiation, and signaling pathways that mediate cell survival. It is involved in many malignancies as well as being recognized as a cancer stem cell marker. Importantly, it is expressed in leukocytes and is a marker of leukemia-initiating cells, being found to be critical in the pathogenesis of T cell acute lymphoblastic leukemia.