CHMP2B antibody

Cat. No. GTX118181
Cat. No.  GTX118181
Anti-CHMP2B antibody used in Western Blot (WB). GTX118181
GTX118181 WB Image

Jurkat whole cell extracts and Jurkat exosome extract (15.4 μg) were separated by 12% SDS-PAGE, and the membrane was blotted with CHMP2B antibody (GTX118181) diluted at 1:250. The HRP-conjugated anti-rabbit IgG antibody (GTX213110-01) was used to detect the primary antibody.

1 / 6
Anti-CHMP2B antibody used in Immunocytochemistry/ Immunofluorescence (ICC/IF). GTX118181
GTX118181 ICC/IF Image

Immunofluorescence analysis of methanol-fixed HeLa, using CHMP2B(GTX118181) antibody at 1:500 dilution.

2 / 6
Anti-CHMP2B antibody used in Western Blot (WB). GTX118181
GTX118181 WB Image

Sample (30 ug of whole cell lysate)
A: 293T
B: A431
12% SDS PAGE
GTX118181 diluted at 1:1000

3 / 6
Anti-CHMP2B antibody used in Western Blot (WB). GTX118181
GTX118181 WB Image

Sample (50 ug of whole cell lysate)
A: mouse brain
12% SDS PAGE
GTX118181 diluted at 1:1000

4 / 6
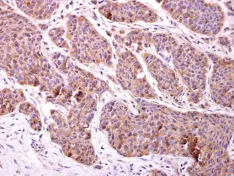
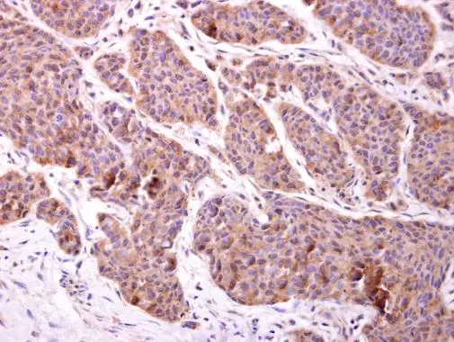
Anti-CHMP2B antibody used in IHC (Paraffin sections) (IHC-P). GTX118181
GTX118181 IHC-P Image

CHMP2B antibody detects CHMP2B protein at cytoplasm on human breast carcinoma by immunohistochemical analysis.
Sample: Paraffin-embedded human breast carcinoma.
CHMP2B antibody (GTX118181) diluted at 1:500.

Antigen Retrieval: Trilogy™ (EDTA based, pH 8.0) buffer, 15min

5 / 6
Anti-CHMP2B antibody used in Western Blot (WB). GTX118181
GTX118181 WB Image

Various whole cell extracts (30 μg) were separated by 12% SDS-PAGE, and the membrane was blotted with CHMP2B antibody (GTX118181) diluted at 1:1000. The HRP-conjugated anti-rabbit IgG antibody (GTX213110-01) was used to detect the primary antibody.

6 / 6
Anti-CHMP2B antibody used in Western Blot (WB). GTX118181
Anti-CHMP2B antibody used in Immunocytochemistry/ Immunofluorescence (ICC/IF). GTX118181
Anti-CHMP2B antibody used in Western Blot (WB). GTX118181
Anti-CHMP2B antibody used in Western Blot (WB). GTX118181
Anti-CHMP2B antibody used in IHC (Paraffin sections) (IHC-P). GTX118181
Anti-CHMP2B antibody used in Western Blot (WB). GTX118181
  • Host
    Rabbit
  • Clonality
    Polyclonal
  • Isotype
    IgG
  • Applications
    WB ICC/IF IHC-P
  • Reactivity
    Human, Mouse
See all CHMP2B products