COX4 antibody [GT854]

Cat. No. GTX628901
Cat. No.  GTX628901
Anti-COX4 antibody [GT854] used in Western Blot (WB). GTX628901
GTX628901 WB Image

Non-transfected (–) and transfected (+) 293T whole cell extracts (30 μg) were separated by 15% SDS-PAGE, and the membrane was blotted with COX4 antibody [GT854] (GTX628901) diluted at 1:1500. The HRP-conjugated anti-mouse IgG antibody (GTX213111-01) was used to detect the primary antibody.

1 / 8
Anti-COX4 antibody [GT854] used in Western Blot (WB). GTX628901
GTX628901 WB Image

Various whole cell extracts (30 μg) were separated by 15% SDS-PAGE, and the membrane was blotted with COX4 antibody [GT854] (GTX628901) diluted at 1:1000. The HRP-conjugated anti-mouse IgG antibody (GTX213111-01) was used to detect the primary antibody.

2 / 8
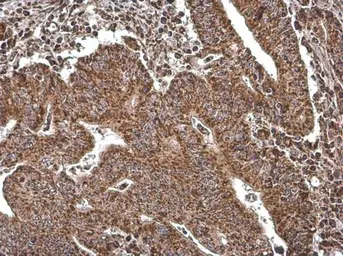
Anti-COX4 antibody [GT854] used in IHC (Paraffin sections) (IHC-P). GTX628901
GTX628901 IHC-P Image

COX4 antibody [GT854] detects COX4 protein at mitochondria by immunohistochemical analysis.
Sample: Paraffin-embedded human colon cancer.
COX4 stained by COX4 antibody [GT854] (GTX628901) diluted at 1:200.
Antigen Retrieval: Tris-EDTA buffer, pH 9.0, 15 min

3 / 8
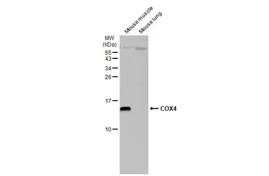
Anti-COX4 antibody [GT854] used in Western Blot (WB). GTX628901
GTX628901 WB Image

Various tissue extracts (50 μg) were separated by 15% SDS-PAGE, and the membrane was blotted with COX4 antibody [GT854] (GTX628901) diluted at 1:1000. The HRP-conjugated anti-mouse IgG antibody (GTX213111-01) was used to detect the primary antibody.

4 / 8
Anti-COX4 antibody [GT854] used in Western Blot (WB). GTX628901
GTX628901 WB Image

COX4 antibody [GT854] detects COX4I1 protein by western blot analysis.
A. 50 μg rat muscle lysate/extract
15% SDS-PAGE
COX4 antibody [GT854] (GTX628901) dilution: 1:1000
The HRP-conjugated anti-mouse IgG antibody (GTX213111-01) was used to detect the primary antibody.

5 / 8
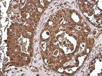
Anti-COX4 antibody [GT854] used in IHC (Paraffin sections) (IHC-P). GTX628901
GTX628901 IHC-P Image

COX4 antibody [GT854] detects COX4 protein at mitochondria by immunohistochemical analysis.
Sample: Paraffin-embedded human ovarian cancer.
COX4 stained by COX4 antibody [GT854] (GTX628901) diluted at 1:200.
Antigen Retrieval: Tris-EDTA buffer, pH 9.0, 15 min

6 / 8
Anti-COX4 antibody [GT854] used in Immunocytochemistry/ Immunofluorescence (ICC/IF). GTX628901
GTX628901 ICC/IF Image

COX4 antibody detects COX4 protein at mitochondria by immunofluorescent analysis.
Sample: HeLa cells were fixed in ice-cold MeOH for 5 min.
Green: COX4 stained by COX4 antibody (GTX628901) diluted at 1:1000.

7 / 8
Anti-COX4 antibody [GT854] used in Western Blot (WB). GTX628901
GTX628901 WB Image

COX4 antibody detects COX4I1 protein by western blot analysis.
A. 50 μg mouse heart lysate/extract
12% SDS-PAGE
COX4 antibody (GTX628901) dilution: 1:1000
The HRP-conjugated anti-mouse IgG antibody (GTX213111-01) was used to detect the primary antibody.

8 / 8
Anti-COX4 antibody [GT854] used in Western Blot (WB). GTX628901
Anti-COX4 antibody [GT854] used in Western Blot (WB). GTX628901
Anti-COX4 antibody [GT854] used in IHC (Paraffin sections) (IHC-P). GTX628901
Anti-COX4 antibody [GT854] used in Western Blot (WB). GTX628901
Anti-COX4 antibody [GT854] used in Western Blot (WB). GTX628901
Anti-COX4 antibody [GT854] used in IHC (Paraffin sections) (IHC-P). GTX628901
Anti-COX4 antibody [GT854] used in Immunocytochemistry/ Immunofluorescence (ICC/IF). GTX628901
Anti-COX4 antibody [GT854] used in Western Blot (WB). GTX628901
  • Host
    Mouse
  • Clonality
    Monoclonal
  • Clone Name
    GT854
  • Isotype
    IgG2a
  • Applications
    WB ICC/IF IHC-P
  • Reactivity
    Human, Mouse, Rat
See all COX4 products