COX4 antibody

Cat. No. GTX114330
Cat. No.  GTX114330
Anti-COX4 antibody used in Western Blot (WB). GTX114330
GTX114330 WB Image

Non-transfected (–) and transfected (+) 293T whole cell extracts (30 μg) were separated by 15% SDS-PAGE, and the membrane was blotted with COX4 antibody (GTX114330) diluted at 1:3000. The HRP-conjugated anti-rabbit IgG antibody (GTX213110-01) was used to detect the primary antibody.

1 / 13
Anti-COX4 antibody used in Western Blot (WB). GTX114330
GTX114330 WB Image

Various whole cell extracts (30 μg) were separated by 15% SDS-PAGE, and the membrane was blotted with COX4 antibody (GTX114330) diluted at 1:1000. The HRP-conjugated anti-rabbit IgG antibody (GTX213110-01) was used to detect the primary antibody.

2 / 13
Anti-COX4 antibody used in Western Blot (WB). GTX114330
GTX114330 WB Image

Various tissue extracts (50 μg) were separated by 15% SDS-PAGE, and the membrane was blotted with COX4 antibody (GTX114330) diluted at 1:1000. The HRP-conjugated anti-rabbit IgG antibody (GTX213110-01) was used to detect the primary antibody.

3 / 13
Anti-COX4 antibody used in Western Blot (WB). GTX114330
GTX114330 WB Image

Sample (50 μg of whole cell lysate)
A: rat muscle
12% SDS PAGE
GTX114330 diluted at 1:500
The HRP-conjugated anti-rabbit IgG antibody (GTX213110-01) was used to detect the primary antibody.

4 / 13
Anti-COX4 antibody used in Immunocytochemistry/ Immunofluorescence (ICC/IF). GTX114330
GTX114330 ICC/IF Image

COX4 antibody detects COX4 protein at mitochondria by immunofluorescent analysis.
Sample: HeLa cells were fixed in ice-cold MeOH for 5 min.
Green: COX4 stained by COX4 antibody (GTX114330) diluted at 1:500.
Blue: Hoechst 33342 staining.
Scale bar= 10 μm.

5 / 13
Anti-COX4 antibody used in IHC (Paraffin sections) (IHC-P). GTX114330
GTX114330 IHC-P Image

COX4 antibody detects COX4 protein at mitochondria by immunohistochemical analysis.
Sample: Paraffin-embedded human endometrial carcinoma.
COX4 stained by COX4 antibody (GTX114330) diluted at 1:500.
Antigen Retrieval: Citrate buffer, pH 6.0, 15 min

6 / 13
Anti-COX4 antibody used in Immunocytochemistry/ Immunofluorescence (ICC/IF). GTX114330
GTX114330 ICC/IF Image

COX4 antibody detects COX4 protein at mitochondria by immunofluorescent analysis.
Sample: HeLa cells were fixed in ice-cold MeOH for 5 min.
Green: COX4 stained by COX4 antibody (GTX114330) diluted at 1:500.
Blue: Hoechst 33342 staining.
Scale bar= 10 μm.

7 / 13
Anti-COX4 antibody used in Western Blot (WB). GTX114330
GTX114330 WB Image

Various whole cell extracts (30 μg) were separated by 15% SDS-PAGE, and the membrane was blotted with COX4 antibody (GTX114330) diluted at 1:1000. The HRP-conjugated anti-rabbit IgG antibody (GTX213110-01) was used to detect the primary antibody.

8 / 13
Anti-COX4 antibody used in Western Blot (WB). GTX114330
GTX114330 WB Image

The data was published in the journal Oxid Med Cell Longev in 2019.PMID: 31249652

9 / 13
Anti-COX4 antibody used in IHC (Paraffin sections) (IHC-P). GTX114330
GTX114330 IHC-P Image

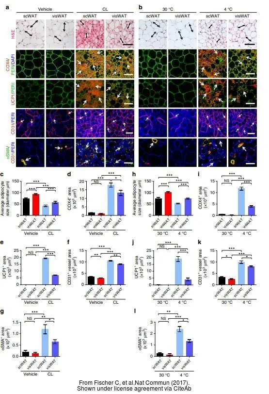
The data was published in the journal Nat Commun in 2017. PMID: 29233981

10 / 13
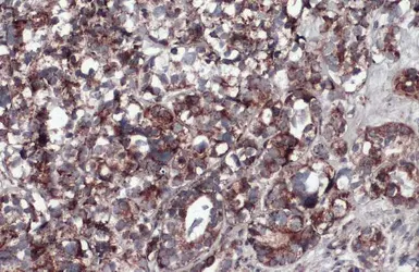
Anti-COX4 antibody used in IHC (Paraffin sections) (IHC-P). GTX114330
GTX114330 IHC-P Image

The data was published in the journal Nat Commun in 2017. PMID: 29233981

11 / 13
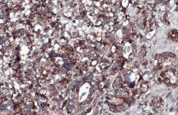
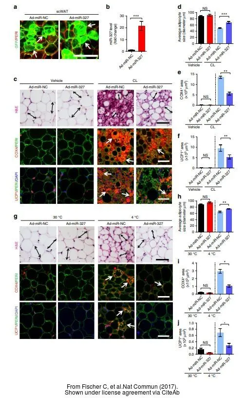
Anti-COX4 antibody used in IHC (Paraffin sections) (IHC-P). GTX114330
GTX114330 IHC-P Image

The data was published in the journal Nat Commun in 2017. PMID: 29233981

12 / 13
Anti-COX4 antibody used in IHC (Paraffin sections) (IHC-P). GTX114330
GTX114330 IHC-P Image

The data was published in the journal Nat Commun in 2017. PMID: 29233981

13 / 13
Anti-COX4 antibody used in Western Blot (WB). GTX114330
Anti-COX4 antibody used in Western Blot (WB). GTX114330
Anti-COX4 antibody used in Western Blot (WB). GTX114330
Anti-COX4 antibody used in Western Blot (WB). GTX114330
Anti-COX4 antibody used in Immunocytochemistry/ Immunofluorescence (ICC/IF). GTX114330
Anti-COX4 antibody used in IHC (Paraffin sections) (IHC-P). GTX114330
Anti-COX4 antibody used in Immunocytochemistry/ Immunofluorescence (ICC/IF). GTX114330
Anti-COX4 antibody used in Western Blot (WB). GTX114330
Anti-COX4 antibody used in Western Blot (WB). GTX114330
Anti-COX4 antibody used in IHC (Paraffin sections) (IHC-P). GTX114330
Anti-COX4 antibody used in IHC (Paraffin sections) (IHC-P). GTX114330
Anti-COX4 antibody used in IHC (Paraffin sections) (IHC-P). GTX114330
Anti-COX4 antibody used in IHC (Paraffin sections) (IHC-P). GTX114330
  • Host
    Rabbit
  • Clonality
    Polyclonal
  • Isotype
    IgG
  • Applications
    WB ICC/IF IHC-P IHC-Fr
  • Reactivity
    Human, Mouse, Rat
See all COX4 products