CTLA4 antibody [HL2732]

Cat. No. GTX639560
Cat. No.  GTX639560
Anti-CTLA4 antibody [HL2732] used in Western Blot (WB). GTX639560
GTX639560 WB Image

NCI-H520 whole cell and membrane extracts (30 μg) were separated by 12% SDS-PAGE, and the membrane was blotted with CTLA4 antibody [HL2732] (GTX639560) diluted at 1:1000. The HRP-conjugated anti-rabbit IgG antibody (GTX213110-01) was used to detect the primary antibody. (WCE: whole cell extract; ME: membrane extract)

1 / 3
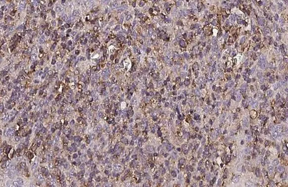
Anti-CTLA4 antibody [HL2732] used in IHC (Paraffin sections) (IHC-P). GTX639560
GTX639560 IHC-P Image

CTLA4 antibody [HL2732] detects CTLA4 protein by immunohistochemical analysis.
Sample: Paraffin-embedded human spleen.
CTLA4 stained by CTLA4 antibody [HL2732] (GTX639560) diluted at 1:500.
Antigen Retrieval: Citrate buffer, pH 6.0, 15 min

2 / 3
Anti-CTLA4 antibody [HL2732] used in Western Blot (WB). GTX639560
GTX639560 WB Image

Non-transfected (–) and transfected (+) 293T whole cell extracts (30 μg) were separated by 12% SDS-PAGE, and the membrane was blotted with CTLA4 antibody [HL2732] (GTX639560) diluted at 1:5000. The HRP-conjugated anti-rabbit IgG antibody (GTX213110-01) was used to detect the primary antibody.

3 / 3
Anti-CTLA4 antibody [HL2732] used in Western Blot (WB). GTX639560
Anti-CTLA4 antibody [HL2732] used in IHC (Paraffin sections) (IHC-P). GTX639560
Anti-CTLA4 antibody [HL2732] used in Western Blot (WB). GTX639560
  • Host
    Rabbit
  • Clonality
    Monoclonal
  • Clone Name
    HL2732
  • Isotype
    IgG
  • Applications
    WB IHC-P
  • Reactivity
    Human
See all CTLA4 products