Caspase 3 antibody

Cat. No. GTX110543
Cat. No.  GTX110543
Anti-Caspase 3 antibody used in Western Blot (WB). GTX110543
GTX110543 WB Image

Non-transfected (–) and transfected (+) HeLa whole cell extracts (30 μg) were separated by 12% SDS-PAGE, and the membrane was blotted with Caspase 3 antibody (GTX110543) diluted at 1:4000. The HRP-conjugated anti-rabbit IgG antibody (GTX213110-01) was used to detect the primary antibody.

1 / 23
Anti-Caspase 3 antibody used in Western Blot (WB). GTX110543
GTX110543 WB Image

Wild-type (WT) and Caspase 3 knockout (KO) HeLa cell extracts (30 μg) were separated by 12% SDS-PAGE, and the membrane was blotted with Caspase 3 antibody (GTX110543) diluted at 1:5000. The HRP-conjugated anti-rabbit IgG antibody (GTX213110-01) was used to detect the primary antibody.

2 / 23
Anti-Caspase 3 antibody used in Western Blot (WB). GTX110543
GTX110543 WB Image

Untreated (–) and treated (+) Rat2 whole cell extracts (30 μg) were separated by 15% SDS-PAGE, and the membrane was blotted with Caspase 3 antibody (GTX110543) diluted at 1:1000. The HRP-conjugated anti-rabbit IgG antibody (GTX213110-01) was used to detect the primary antibody.

3 / 23
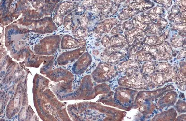
Anti-Caspase 3 antibody used in IHC (Paraffin sections) (IHC-P). GTX110543
GTX110543 IHC-P Image

Caspase 3 antibody detects Caspase 3 protein at cytoplasm by immunohistochemical analysis.
Sample: Paraffin-embedded mouse duodenum.
Caspase 3 stained by Caspase 3 antibody (GTX110543) diluted at 1:1000.
Antigen Retrieval: Citrate buffer, pH 6.0, 15 min

4 / 23
Anti-Caspase 3 antibody used in Immunoprecipitation (IP). GTX110543
GTX110543 IP Image

Immunoprecipitation of Caspase 3 protein from HeLa whole cell extracts using 5 μg of Caspase 3 antibody (GTX110543).
Western blot analysis was performed using Caspase 3 antibody (GTX110543).
EasyBlot anti-Rabbit IgG (GTX221666-01) was used as a secondary reagent.

5 / 23
Anti-Caspase 3 antibody used in Western Blot (WB). GTX110543
GTX110543 WB Image

Caspase 3 antibody detects Caspase 3 protein by western blot analysis.
A. 30 μg Jurkat whole cell lysate/extract
B. 30 μg Raji whole cell lysate/extract
C. 30 μg NCI-H929 whole cell lysate/extract
12% SDS-PAGE
Caspase 3 antibody (GTX110543) dilution: 1:5000
The HRP-conjugated anti-rabbit IgG antibody (GTX213110-01) was used to detect the primary antibody.

6 / 23
Anti-Caspase 3 antibody used in IHC (Paraffin sections) (IHC-P). GTX110543
GTX110543 IHC-P Image

Caspase 3 antibody detects Caspase 3 protein at cytoplasm in rat liver by immunohistochemical analysis.
Sample: Paraffin-embedded rat liver.
Caspase 3 antibody (GTX110543) diluted at 1:500.

Antigen Retrieval: Citrate buffer, pH 6.0, 15 min

7 / 23
Anti-Caspase 3 antibody used in Western Blot (WB). GTX110543
GTX110543 WB Image

Untreated (–) and treated (+) HeLa whole cell extract (30 μg) were separated by 12% SDS-PAGE, and the membrane was blotted with Caspase 3 antibody (GTX110543) diluted at 1:1000. The HRP-conjugated anti-rabbit IgG antibody (GTX213110-01) was used to detect the primary antibody.

8 / 23
Anti-Caspase 3 antibody used in IHC (Paraffin sections) (IHC-P). GTX110543
GTX110543 IHC-P Image

Caspase 3 antibody detects Caspase 3 protein by immunohistochemical analysis.
Sample: Paraffin-embedded rat tissues.
Caspase 3 stained by Caspase 3 antibody (GTX110543) diluted at 1:500.
Antigen Retrieval: Citrate buffer, pH 6.0, 15 min

9 / 23
Anti-Caspase 3 antibody used in Western Blot (WB). GTX110543
GTX110543 WB Image

Various whole cell extracts (30 μg) were separated by 12% SDS-PAGE, and the membrane was blotted with Caspase 3 antibody (GTX110543) diluted at 1:1000. The HRP-conjugated anti-rabbit IgG antibody (GTX213110-01) was used to detect the primary antibody.

10 / 23
Anti-Caspase 3 antibody used in Western Blot (WB). GTX110543
GTX110543 WB Image

Whole cell extract (30 μg) was separated by 12% SDS-PAGE, and the membrane was blotted with Caspase 3 antibody (GTX110543) diluted at 1:1000. The HRP-conjugated anti-rabbit IgG antibody (GTX213110-01) was used to detect the primary antibody.

11 / 23
Anti-Caspase 3 antibody used in Western Blot (WB). GTX110543
GTX110543 WB Image

Various whole cell extracts (30 μg) were separated by 12% SDS-PAGE, and the membrane was blotted with Caspase 3 antibody (GTX110543) diluted at 1:1000. The HRP-conjugated anti-rabbit IgG antibody (GTX213110-01) was used to detect the primary antibody.

12 / 23
Anti-Caspase 3 antibody used in Western Blot (WB). GTX110543
GTX110543 WB Image

The data was published in the journal Oncotarget in 2017. PMID: 28467781

13 / 23
Anti-Caspase 3 antibody used in Western Blot (WB). GTX110543
GTX110543 WB Image

The data was published in the journal Oncotarget in 2016. PMID: 26716417

14 / 23
Anti-Caspase 3 antibody used in Western Blot (WB). GTX110543
GTX110543 WB Image

The data was published in the journal Toxins (Basel) in 2013. PMID: 24335753

15 / 23
Anti-Caspase 3 antibody used in Western Blot (WB). GTX110543
GTX110543 WB Image

The data was published in the journal PLoS One in 2017. PMID: 29045486

16 / 23
Anti-Caspase 3 antibody used in Western Blot (WB). GTX110543
GTX110543 WB Image

The data was published in the journal Biomolecules in 2020.PMID: 32635653

17 / 23
Anti-Caspase 3 antibody used in Western Blot (WB). GTX110543
GTX110543 WB Image

The data was published in the journal Stem Cell Res Ther in 2017.PMID: 28482861

18 / 23
Anti-Caspase 3 antibody used in Western Blot (WB). GTX110543
GTX110543 WB Image

The data was published in the journal Sci Rep in 2017.PMID: 28928421

19 / 23
Anti-Caspase 3 antibody used in Western Blot (WB). GTX110543
GTX110543 WB Image

The data was published in the journal Nutrients in 2019.PMID: 31905929

20 / 23
Anti-Caspase 3 antibody used in Western Blot (WB). GTX110543
GTX110543 WB Image

The data was published in the 2019 in Int J Mol Sci. PMID: 31717306

21 / 23
Anti-Caspase 3 antibody used in Western Blot (WB). GTX110543
GTX110543 WB Image

The data was published in the 2019 in PLoS Pathog. PMID: 31841561

22 / 23
Anti-Caspase 3 antibody used in Western Blot (WB). GTX110543
GTX110543 WB Image

The data was published in the 2020 in Theranostics. PMID: 32550910

23 / 23
Anti-Caspase 3 antibody used in Western Blot (WB). GTX110543
Anti-Caspase 3 antibody used in Western Blot (WB). GTX110543
Anti-Caspase 3 antibody used in Western Blot (WB). GTX110543
Anti-Caspase 3 antibody used in IHC (Paraffin sections) (IHC-P). GTX110543
Anti-Caspase 3 antibody used in Immunoprecipitation (IP). GTX110543
Anti-Caspase 3 antibody used in Western Blot (WB). GTX110543
Anti-Caspase 3 antibody used in IHC (Paraffin sections) (IHC-P). GTX110543
Anti-Caspase 3 antibody used in Western Blot (WB). GTX110543
Anti-Caspase 3 antibody used in IHC (Paraffin sections) (IHC-P). GTX110543
Anti-Caspase 3 antibody used in Western Blot (WB). GTX110543
Anti-Caspase 3 antibody used in Western Blot (WB). GTX110543
Anti-Caspase 3 antibody used in Western Blot (WB). GTX110543
Anti-Caspase 3 antibody used in Western Blot (WB). GTX110543
Anti-Caspase 3 antibody used in Western Blot (WB). GTX110543
Anti-Caspase 3 antibody used in Western Blot (WB). GTX110543
Anti-Caspase 3 antibody used in Western Blot (WB). GTX110543
Anti-Caspase 3 antibody used in Western Blot (WB). GTX110543
Anti-Caspase 3 antibody used in Western Blot (WB). GTX110543
Anti-Caspase 3 antibody used in Western Blot (WB). GTX110543
Anti-Caspase 3 antibody used in Western Blot (WB). GTX110543
Anti-Caspase 3 antibody used in Western Blot (WB). GTX110543
Anti-Caspase 3 antibody used in Western Blot (WB). GTX110543
Anti-Caspase 3 antibody used in Western Blot (WB). GTX110543
  • Host
    Rabbit
  • Clonality
    Polyclonal
  • Isotype
    IgG
  • Applications
    WB IHC-P IHC-Fr IP Dot
  • Reactivity
    Human, Mouse, Rat
Summary
Caspase 3 antibody detects caspase 3 protein, a 32 kDa zymogen (also known as pro-caspase 3) that is cleaved at conserved aspartic residues into 17 kDa and 12 kDa subunits upon activation. The cleaved subunits then form an active heterotetramer by hydrophobic interactions and trigger subsequent caspase cascades to induce the apoptotic phenotype.
See all Caspase 3 products