Citrate synthase antibody [GT1761]

Cat. No. GTX628143
Cat. No.  GTX628143
Anti-Citrate synthase antibody [GT1761] used in Western Blot (WB). GTX628143
GTX628143 WB Image

HepG2 and mitochondria extracts (30 μg) were separated by SDS-PAGE, and the membrane was blotted with Citrate synthetase antibody [GT1761] (GTX628143) diluted at 1:1000. The HRP-conjugated anti-mouse IgG antibody (GTX213111-01) was used to detect the primary antibody.

1 / 13
Anti-Citrate synthase antibody [GT1761] used in Western Blot (WB). GTX628143
GTX628143 WB Image

Non-transfected (–) and transfected (+) 293T whole cell extracts (30 μg) were separated by 10% SDS-PAGE, and the membrane was blotted with Citrate synthetase antibody [GT1761] (GTX628143) diluted at 1:1000. The HRP-conjugated anti-mouse IgG antibody (GTX213111-01) was used to detect the primary antibody.

2 / 13
Anti-Citrate synthase antibody [GT1761] used in Immunocytochemistry/ Immunofluorescence (ICC/IF). GTX628143
GTX628143 ICC/IF Image

Citrate synthetase antibody [GT1761] detects Citrate synthetase protein at mitochondria by immunofluorescent analysis.
Sample: HeLa cells were fixed in 4% paraformaldehyde at RT for 15 min.
Green: Citrate synthetase protein stained by Citrate synthetase antibody [GT1761] (GTX628143) diluted at 1:200.
Red: phalloidin, a cytoskeleton marker, diluted at 1:50.
Blue: Hoechst 33342 staining.

3 / 13
Anti-Citrate synthase antibody [GT1761] used in Western Blot (WB). GTX628143
GTX628143 WB Image

Citrate synthetase antibody [GT1761] detects CS protein by western blot analysis.
A. 30 μg zebrafish heart lysate/extract
10% SDS-PAGE
Citrate synthetase antibody [GT1761] (GTX628143) dilution: 1:1000
The HRP-conjugated anti-mouse IgG antibody (GTX213111-01) was used to detect the primary antibody.

4 / 13
Anti-Citrate synthase antibody [GT1761] used in Western Blot (WB). GTX628143
GTX628143 WB Image

Rat tissue extract (50 μg) was separated by 10% SDS-PAGE, and the membrane was blotted with Citrate synthetase antibody [GT1761] (GTX628143) diluted at 1:1000. The HRP-conjugated anti-mouse IgG antibody (GTX213111-01) was used to detect the primary antibody.

5 / 13
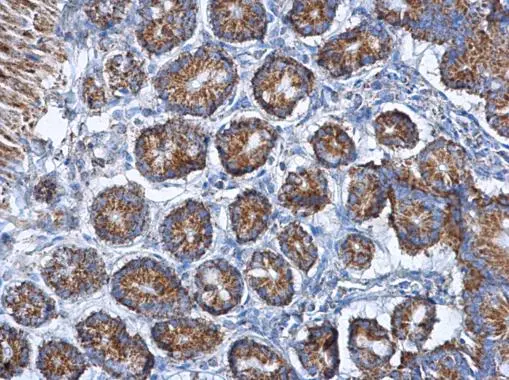
Anti-Citrate synthase antibody [GT1761] used in IHC (Paraffin sections) (IHC-P). GTX628143
GTX628143 IHC-P Image

Citrate synthetase antibody detects CS protein at cytosol on H1299 xenograft by immunohistochemical analysis.
Sample: Paraffin-embedded H1299 xenograft.
Citrate synthetase antibody (GTX628143) dilution: 1:200.

Antigen Retrieval: Trilogy™ (EDTA based, pH 8.0) buffer, 15min

6 / 13
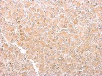
Anti-Citrate synthase antibody [GT1761] used in IHC (Paraffin sections) (IHC-P). GTX628143
GTX628143 IHC-P Image

Citrate synthetase antibody [GT1761] detects Citrate synthetase protein at mitochondria on mouse heart by immunohistochemical analysis.
Sample: Paraffin-embedded mouse heart.
Citrate synthetase antibody [GT1761] (GTX628143) dilution: 1:200.

Antigen Retrieval: Trilogy™ (EDTA based, pH 8.0) buffer, 15min

7 / 13
Anti-Citrate synthase antibody [GT1761] used in Western Blot (WB). GTX628143
GTX628143 WB Image

Citrate synthetase antibody [GT1761] detects CS protein by western blot analysis.
A. 30 μg 293T whole cell lysate/extract
B. 30 μg A431 whole cell lysate/extract
C. 30 μg HeLa whole cell lysate/extract
D. 30 μg HepG2 whole cell lysate/extract
E. 30 μg A375 whole cell lysate/extract
12% SDS-PAGE
Citrate synthetase antibody [GT1761] (GTX628143) dilution: 1:1000
The HRP-conjugated anti-mouse IgG antibody (GTX213111-01) was used to detect the primary antibody.

8 / 13
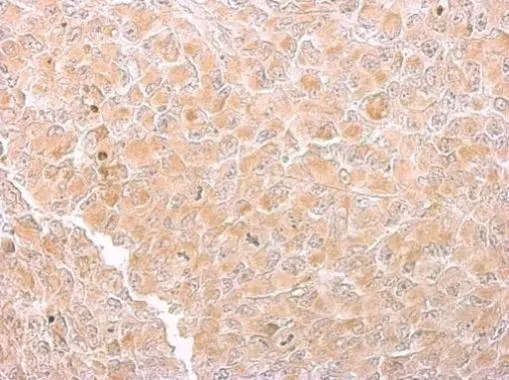
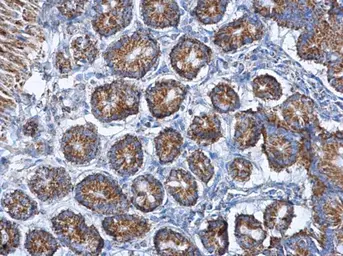
Anti-Citrate synthase antibody [GT1761] used in IHC (Paraffin sections) (IHC-P). GTX628143
GTX628143 IHC-P Image

Citrate synthetase antibody [GT1761] detects Citrate synthetase protein at mitochondria on mouse kidney by immunohistochemical analysis.
Sample: Paraffin-embedded mouse kidney.
Citrate synthetase antibody [GT1761] (GTX628143) dilution: 1:200.

Antigen Retrieval: Trilogy™ (EDTA based, pH 8.0) buffer, 15min

9 / 13
Anti-Citrate synthase antibody [GT1761] used in Western Blot (WB). GTX628143
GTX628143 WB Image

Citrate synthetase antibody [GT1761] detects CS protein by western blot analysis.
A. 50 μg mouse brain lysate/extract
12% SDS-PAGE
Citrate synthetase antibody [GT1761] (GTX628143) dilution: 1:1000
The HRP-conjugated anti-mouse IgG antibody (GTX213111-01) was used to detect the primary antibody.

10 / 13
Anti-Citrate synthase antibody [GT1761] used in Western Blot (WB). GTX628143
GTX628143 WB Image

Citrate synthetase antibody [GT1761] detects CS protein by western blot analysis.
A. 30 μg zebrafish brain lysate/extract
10% SDS-PAGE
Citrate synthetase antibody [GT1761] (GTX628143) dilution: 1:1000
The HRP-conjugated anti-mouse IgG antibody (GTX213111-01) was used to detect the primary antibody.

11 / 13
Anti-Citrate synthase antibody [GT1761] used in IHC (Paraffin sections) (IHC-P). GTX628143
GTX628143 IHC-P Image

Citrate synthetase antibody [GT1761] detects Citrate synthetase protein at mitochondria on mouse heart by immunohistochemical analysis.
Sample: Paraffin-embedded mouse heart.
Citrate synthetase antibody [GT1761] (GTX628143) dilution: 1:200.

Antigen Retrieval: Trilogy™ (EDTA based, pH 8.0) buffer, 15min

12 / 13
Anti-Citrate synthase antibody [GT1761] used in Western Blot (WB). GTX628143
GTX628143 WB Image

Whole Japanese medaka extract (30 μg) was separated by 10% SDS-PAGE, and the membrane was blotted with Citrate synthase antibody [GT1761] (GTX628143) diluted at 1:1000. The HRP-conjugated anti-mouse IgG antibody (GTX213111-01) was used to detect the primary antibody.

13 / 13
Anti-Citrate synthase antibody [GT1761] used in Western Blot (WB). GTX628143
Anti-Citrate synthase antibody [GT1761] used in Western Blot (WB). GTX628143
Anti-Citrate synthase antibody [GT1761] used in Immunocytochemistry/ Immunofluorescence (ICC/IF). GTX628143
Anti-Citrate synthase antibody [GT1761] used in Western Blot (WB). GTX628143
Anti-Citrate synthase antibody [GT1761] used in Western Blot (WB). GTX628143
Anti-Citrate synthase antibody [GT1761] used in IHC (Paraffin sections) (IHC-P). GTX628143
Anti-Citrate synthase antibody [GT1761] used in IHC (Paraffin sections) (IHC-P). GTX628143
Anti-Citrate synthase antibody [GT1761] used in Western Blot (WB). GTX628143
Anti-Citrate synthase antibody [GT1761] used in IHC (Paraffin sections) (IHC-P). GTX628143
Anti-Citrate synthase antibody [GT1761] used in Western Blot (WB). GTX628143
Anti-Citrate synthase antibody [GT1761] used in Western Blot (WB). GTX628143
Anti-Citrate synthase antibody [GT1761] used in IHC (Paraffin sections) (IHC-P). GTX628143
Anti-Citrate synthase antibody [GT1761] used in Western Blot (WB). GTX628143
  • Host
    Mouse
  • Clonality
    Monoclonal
  • Clone Name
    GT1761
  • Isotype
    IgG2a
  • Applications
    WB ICC/IF IHC-P
  • Reactivity
    Human, Mouse, Rat, Zebrafish, Japanese Medaka
Summary
Citrate synthase antibody detects citrate synthase, the 52 kDa enzyme that catalyzes the first reaction in the citric acid cycle (Krebs cycle) to convert acetyl-CoA and oxaloacetate to citrate and CoA-SH. Citrate synthase exists within the mitochondrial matrix in eukaryotic cells and is used commonly as a marker of intact mitochondria.
See all Citrate synthase products