Connexin 43 antibody

Cat. No. GTX50571
Cat. No.  GTX50571
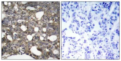
Anti-Connexin 43 antibody used in IHC (Paraffin sections) (IHC-P). GTX50571
GTX50571 IHC-P Image

IHC-P analysis of human breast carcinoma tissue using GTX50571 Connexin 43 antibody.
Left : Primary antibody
Right : Primary antibody pre-incubated with the antigen specific peptide

1 / 2
Anti-Connexin 43 antibody used in Western Blot (WB). GTX50571
GTX50571 WB Image

WB analysis of extracts from HT-29 and HepG2 cells using GTX50571 Connexin 43 antibody.

2 / 2
Anti-Connexin 43 antibody used in IHC (Paraffin sections) (IHC-P). GTX50571
Anti-Connexin 43 antibody used in Western Blot (WB). GTX50571
  • Host
    Rabbit
  • Clonality
    Polyclonal
  • Isotype
    IgG
  • Applications
    WB IHC-P
  • Reactivity
    Human, Rabbit
See all Connexin 43 products