Cytokeratin 18 antibody [N1N3]

Cat. No. GTX112977
Cat. No.  GTX112977
Anti-Cytokeratin 18 antibody [N1N3] used in Western Blot (WB). GTX112977
GTX112977 WB Image

Non-transfected (–) and transfected (+) HeLa whole cell extracts (15 μg) were separated by 10% SDS-PAGE, and the membrane was blotted with Cytokeratin 18 antibody [N1N3] (GTX112977) diluted at 1:15000.

1 / 5
Anti-Cytokeratin 18 antibody [N1N3] used in Immunocytochemistry/ Immunofluorescence (ICC/IF). GTX112977
GTX112977 ICC/IF Image

Immunofluorescence analysis of methanol-fixed HeLa, using Cytokeratin 18(GTX112977) antibody at 1:200 dilution.

2 / 5
Anti-Cytokeratin 18 antibody [N1N3] used in Western Blot (WB). GTX112977
GTX112977 WB Image

Whole cell extract (30 μg) was separated by 10% SDS-PAGE, and the membrane was blotted with Cytokeratin 18 antibody [N1N3] (GTX112977) diluted at 1:5000.

3 / 5
Anti-Cytokeratin 18 antibody [N1N3] used in Western Blot (WB). GTX112977
GTX112977 WB Image

Whole cell extract (30 μg) was separated by 10% SDS-PAGE, and the membrane was blotted with Cytokeratin 18 antibody [N1N3] (GTX112977) diluted at 1:5000.

4 / 5
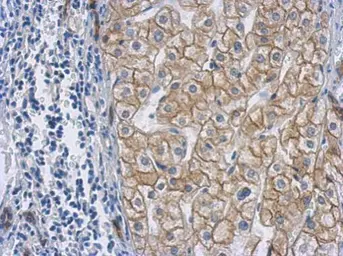
Anti-Cytokeratin 18 antibody [N1N3] used in IHC (Paraffin sections) (IHC-P). GTX112977
GTX112977 IHC-P Image

Immunohistochemical analysis of paraffin-embedded hepatoma, using Cytokeratin 18 antibody(GTX112977) antibody at 1:500 dilution.
Antigen Retrieval: Trilogy™ (EDTA based, pH 8.0) buffer, 15min

5 / 5
Anti-Cytokeratin 18 antibody [N1N3] used in Western Blot (WB). GTX112977
Anti-Cytokeratin 18 antibody [N1N3] used in Immunocytochemistry/ Immunofluorescence (ICC/IF). GTX112977
Anti-Cytokeratin 18 antibody [N1N3] used in Western Blot (WB). GTX112977
Anti-Cytokeratin 18 antibody [N1N3] used in Western Blot (WB). GTX112977
Anti-Cytokeratin 18 antibody [N1N3] used in IHC (Paraffin sections) (IHC-P). GTX112977
  • Host
    Rabbit
  • Clonality
    Polyclonal
  • Isotype
    IgG
  • Applications
    WB ICC/IF IHC-P
  • Reactivity
    Human
See all Cytokeratin 18 products