Cytokeratin 20 antibody [N2C2], Internal

Cat. No. GTX110600
Cat. No.  GTX110600
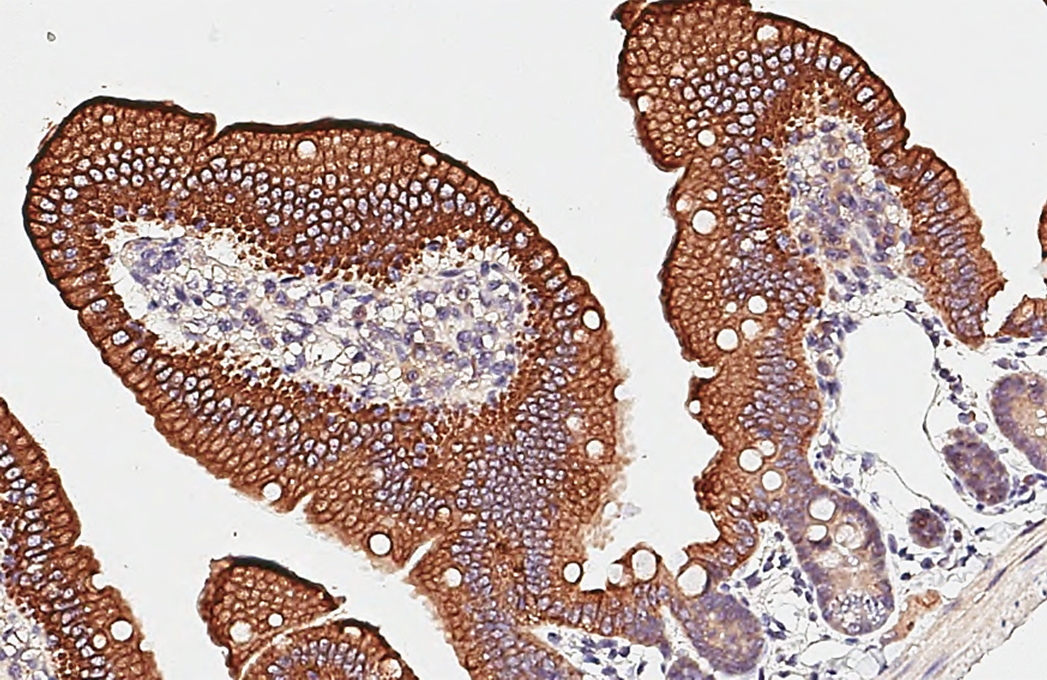
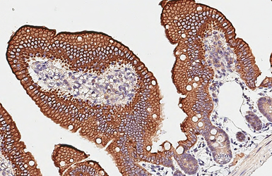
Anti-Cytokeratin 20 antibody [N2C2], Internal used in IHC (Paraffin sections) (IHC-P). GTX110600
GTX110600 IHC-P Image

Cytokeratin 20 antibody [N2C2], Internal detects Cytokeratin 20 protein by immunohistochemical analysis.
Sample: Paraffin-embedded mouse intestine.
Cytokeratin 20 stained by Cytokeratin 20 antibody [N2C2], Internal (GTX110600) diluted at 1:2000.
Antigen Retrieval: Citrate buffer, pH 6.0, 15 min

1 / 5
Anti-Cytokeratin 20 antibody [N2C2], Internal used in Western Blot (WB). GTX110600
GTX110600 WB Image

Various whole cell extracts (30 μg) were separated by 10% SDS-PAGE, and the membrane was blotted with Cytokeratin 20 antibody [N2C2], Internal (GTX110600) diluted at 1:1000. The HRP-conjugated anti-rabbit IgG antibody (GTX213110-01) was used to detect the primary antibody. Corresponding RNA expression data for the same cell lines are based on Human Protein Atlas program.

2 / 5
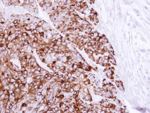
Anti-Cytokeratin 20 antibody [N2C2], Internal used in IHC (Paraffin sections) (IHC-P). GTX110600
GTX110600 IHC-P Image

Immunohistochemical analysis of paraffin-embedded HT29 xenograft, using Cytokeratin 20(GTX110600) antibody at 1:100 dilution.
Antigen Retrieval: Trilogy™ (EDTA based, pH 8.0) buffer, 15min

3 / 5
Anti-Cytokeratin 20 antibody [N2C2], Internal used in Immunocytochemistry/ Immunofluorescence (ICC/IF). GTX110600
GTX110600 ICC/IF Image

Immunofluorescence analysis of paraformaldehyde-fixed HeLa, using Cytokeratin 20(GTX110600) antibody at 1:200 dilution.

4 / 5
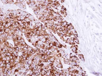
Anti-Cytokeratin 20 antibody [N2C2], Internal used in IHC (Paraffin sections) (IHC-P). GTX110600
GTX110600 IHC-P Image

The data was published in the journal Proteome Sci in 2014. PMID: 25075203

5 / 5
Anti-Cytokeratin 20 antibody [N2C2], Internal used in IHC (Paraffin sections) (IHC-P). GTX110600
Anti-Cytokeratin 20 antibody [N2C2], Internal used in Western Blot (WB). GTX110600
Anti-Cytokeratin 20 antibody [N2C2], Internal used in IHC (Paraffin sections) (IHC-P). GTX110600
Anti-Cytokeratin 20 antibody [N2C2], Internal used in Immunocytochemistry/ Immunofluorescence (ICC/IF). GTX110600
Anti-Cytokeratin 20 antibody [N2C2], Internal used in IHC (Paraffin sections) (IHC-P). GTX110600
  • Host
    Rabbit
  • Clonality
    Polyclonal
  • Isotype
    IgG
  • Applications
    WB ICC/IF IHC-P
  • Reactivity
    Human, Mouse
See all Cytokeratin 20 products