Cytokeratin 5 antibody

Cat. No. GTX113219
Cat. No.  GTX113219
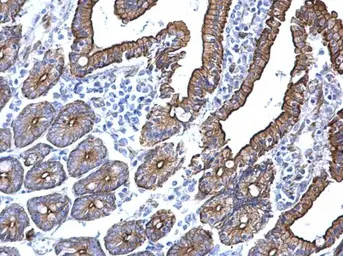
Anti-Cytokeratin 5 antibody used in IHC (Paraffin sections) (IHC-P). GTX113219
GTX113219 IHC-P Image

Cytokeratin 5 antibody detects Cytokeratin 5 protein at cytosol and membrane on mouse intestine by immunohistochemical analysis.
Sample: Paraffin-embedded mouse intestine.
Cytokeratin 5 antibody (GTX113219) dilution: 1:500.

Antigen Retrieval: Trilogy™ (EDTA based, pH 8.0) buffer, 15min

1 / 5
Anti-Cytokeratin 5 antibody used in IHC (Paraffin sections) (IHC-P). GTX113219
GTX113219 IHC-P Image

Cytokeratin 5 antibody detects Cytokeratin 5 protein at cytosol and membrane on mouse intestine by immunohistochemical analysis.
Sample: Paraffin-embedded mouse intestine.
Cytokeratin 5 antibody (GTX113219) dilution: 1:500.

Antigen Retrieval: Trilogy™ (EDTA based, pH 8.0) buffer, 15min

2 / 5
Anti-Cytokeratin 5 antibody used in Western Blot (WB). GTX113219
GTX113219 WB Image

Various whole cell extracts (30 μg) were separated by 7.5% SDS-PAGE, and the membrane was blotted with Cytokeratin 5 antibody (GTX113219) diluted at 1:5000. The HRP-conjugated anti-rabbit IgG antibody (GTX213110-01) was used to detect the primary antibody.

3 / 5
Anti-Cytokeratin 5 antibody used in Immunocytochemistry/ Immunofluorescence (ICC/IF). GTX113219
GTX113219 ICC/IF Image

Immunofluorescence analysis of methanol-fixed HeLa, using Cytokeratin 5(GTX113219) antibody at 1:200 dilution.

4 / 5
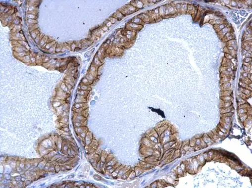
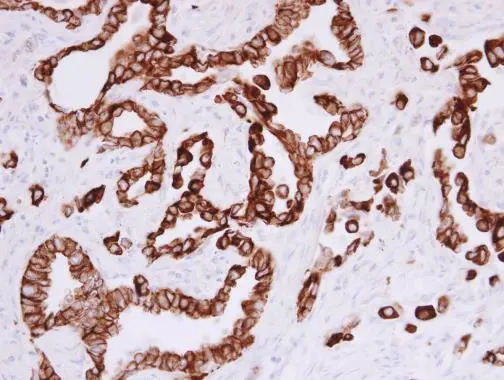
Anti-Cytokeratin 5 antibody used in IHC (Paraffin sections) (IHC-P). GTX113219
GTX113219 IHC-P Image

Cytokeratin 5 antibody detects Cytokeratin 5 protein at cell membrane and cytoplasm in human breast carcinoma by immunohistochemical analysis.
Sample: Paraffin-embedded human breast carcinoma.
Cytokeratin 5 antibody (GTX113219) diluted at 1:500.

Antigen Retrieval: Trilogy™ (EDTA based, pH 8.0) buffer, 15min

5 / 5
Anti-Cytokeratin 5 antibody used in IHC (Paraffin sections) (IHC-P). GTX113219
Anti-Cytokeratin 5 antibody used in IHC (Paraffin sections) (IHC-P). GTX113219
Anti-Cytokeratin 5 antibody used in Western Blot (WB). GTX113219
Anti-Cytokeratin 5 antibody used in Immunocytochemistry/ Immunofluorescence (ICC/IF). GTX113219
Anti-Cytokeratin 5 antibody used in IHC (Paraffin sections) (IHC-P). GTX113219
  • Host
    Rabbit
  • Clonality
    Polyclonal
  • Isotype
    IgG
  • Applications
    WB ICC/IF IHC-P
  • Reactivity
    Human, Mouse
See all Cytokeratin 5 products