DARPP-32 antibody

Cat. No. GTX133350
Cat. No.  GTX133350
Anti-DARPP-32 antibody used in Immunocytochemistry/ Immunofluorescence (ICC/IF). GTX133350
GTX133350 ICC/IF Image

DARPP-32 antibody detects DARPP-32 protein at cell body by immunofluorescent analysis.
Sample: DIV9 rat E18 primary cortical neurons were fixed in 4% paraformaldehyde at RT for 15 min.
Green: DARPP-32 protein stained by DARPP-32 antibody (GTX133350) diluted at 1:500.
Red: beta Tubulin 3/ Tuj1, stained by beta Tubulin 3/ Tuj1 antibody [GT11710] (GTX631836) diluted at 1:500.
Fluoroshield with DAPI (GTX30920).

1 / 6
Anti-DARPP-32 antibody used in IHC (Paraffin sections) (IHC-P). GTX133350
GTX133350 IHC-P Image

DARPP-32 antibody detects DARPP-32 protein at cytoplasm by immunohistochemical analysis.
Sample: Paraffin-embedded mouse cerebellum.
DARPP-32 stained by DARPP-32 antibody (GTX133350) diluted at 1:500.
Antigen Retrieval: Citrate buffer, pH 6.0, 15 min

2 / 6
Anti-DARPP-32 antibody used in Western Blot (WB). GTX133350
GTX133350 WB Image

Various tissue extracts (50 μg) were separated by 12% SDS-PAGE, and the membrane was blotted with DARPP-32 antibody (GTX133350) diluted at 1:1000. The HRP-conjugated anti-rabbit IgG antibody (GTX213110-01) was used to detect the primary antibody.

3 / 6
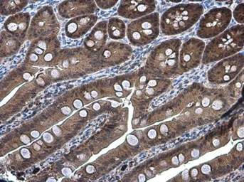
Anti-DARPP-32 antibody used in IHC (Paraffin sections) (IHC-P). GTX133350
GTX133350 IHC-P Image

DARPP-32 antibody detects DARPP-32 protein at cytoplasm in mouse intestine by immunohistochemical analysis.
Sample: Paraffin-embedded mouse intestine.
DARPP-32 antibody (GTX133350) diluted at 1:500.

Antigen Retrieval: Citrate buffer, pH 6.0, 15 min

4 / 6
Anti-DARPP-32 antibody used in IHC (Frozen sections) (IHC-Fr). GTX133350
GTX133350 IHC-Fr Image

DARPP-32 antibody detects DARPP-32 protein expression by immunohistochemical analysis.
Sample: Frozen-sectioned adult mouse cerebellum.
Green: DARPP-32 protein stained by DARPP-32 antibody (GTX133350) diluted at 1:250.
Red: beta Tubulin 3/ TUJ1, stained by beta Tubulin 3/ TUJ1 antibody [GT11710] (GTX631836) diluted at 1:500.
Blue: Fluoroshield with DAPI (GTX30920).

5 / 6
Anti-DARPP-32 antibody used in IHC (Paraffin sections) (IHC-P). GTX133350
GTX133350 IHC-P Image

DARPP-32 antibody detects DARPP-32 protein at cytoplasm by immunohistochemical analysis.
Sample: Paraffin-embedded rat cerebellum.
DARPP-32 stained by DARPP-32 antibody (GTX133350) diluted at 1:500.
Antigen Retrieval: Citrate buffer, pH 6.0, 15 min

6 / 6
Anti-DARPP-32 antibody used in Immunocytochemistry/ Immunofluorescence (ICC/IF). GTX133350
Anti-DARPP-32 antibody used in IHC (Paraffin sections) (IHC-P). GTX133350
Anti-DARPP-32 antibody used in Western Blot (WB). GTX133350
Anti-DARPP-32 antibody used in IHC (Paraffin sections) (IHC-P). GTX133350
Anti-DARPP-32 antibody used in IHC (Frozen sections) (IHC-Fr). GTX133350
Anti-DARPP-32 antibody used in IHC (Paraffin sections) (IHC-P). GTX133350
  • Host
    Rabbit
  • Clonality
    Polyclonal
  • Isotype
    IgG
  • Applications
    WB ICC/IF IHC-P IHC-Fr
  • Reactivity
    Mouse, Rat
See all DARPP-32 products