Desmoglein 2 antibody [N1N2], N-term

Cat. No. GTX102508
Cat. No.  GTX102508
Anti-Desmoglein 2 antibody [N1N2], N-term used in Western Blot (WB). GTX102508
GTX102508 WB Image

Various whole cell extracts (30 μg) were separated by 5% SDS-PAGE, and the membrane was blotted with Desmoglein 2 antibody [N1N2], N-term (GTX102508) diluted at 1:3000. The HRP-conjugated anti-rabbit IgG antibody (GTX213110-01) was used to detect the primary antibody.

1 / 6
Anti-Desmoglein 2 antibody [N1N2], N-term used in Western Blot (WB). GTX102508
GTX102508 WB Image

Mouse tissue extract (50 μg) was separated by 5% SDS-PAGE, and the membrane was blotted with Desmoglein 2 antibody [N1N2], N-term (GTX102508) diluted at 1:500. The HRP-conjugated anti-rabbit IgG antibody (GTX213110-01) was used to detect the primary antibody.

2 / 6
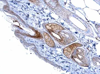
Anti-Desmoglein 2 antibody [N1N2], N-term used in IHC (Paraffin sections) (IHC-P). GTX102508
GTX102508 IHC-P Image

Desmoglein 2 antibody [N1N2], N-term detects Desmoglein 2 protein at cell membrane and cytoplasm in mouse skin by immunohistochemical analysis.
Sample: Paraffin-embedded mouse skin.
Desmoglein 2 antibody [N1N2], N-term (GTX102508) diluted at 1:500.

Antigen Retrieval: Trilogy™ (EDTA based, pH 8.0) buffer, 15min

3 / 6
Anti-Desmoglein 2 antibody [N1N2], N-term used in Immunocytochemistry/ Immunofluorescence (ICC/IF). GTX102508
GTX102508 ICC/IF Image

Desmoglein 2 antibody [N1N2], N-term detects Desmoglein 2 protein at cell membrane by immunofluorescent analysis.
Sample: A431 cells were fixed in 4% paraformaldehyde at RT for 15 min.
Green: Desmoglein 2 stained by Desmoglein 2 antibody [N1N2], N-term (GTX102508) diluted at 1:500.
Blue: Fluoroshield with DAPI (GTX30920).

4 / 6
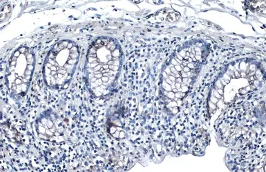
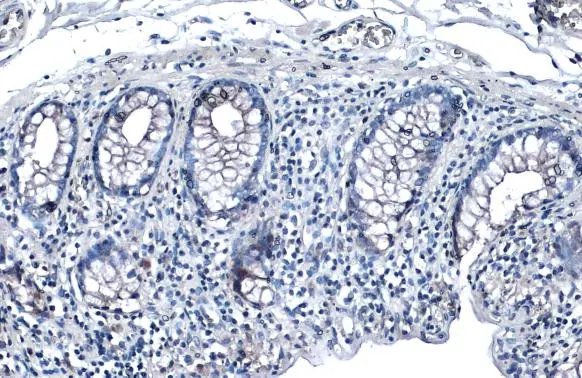
Anti-Desmoglein 2 antibody [N1N2], N-term used in IHC (Paraffin sections) (IHC-P). GTX102508
GTX102508 IHC-P Image

Desmoglein 2 antibody [N1N2], N-term detects Desmoglein 2 protein at cell membrane by immunohistochemical analysis.
Sample: Paraffin-embedded human colon cancer.
Desmoglein 2 stained by Desmoglein 2 antibody [N1N2], N-term (GTX102508) diluted at 1:500.
Antigen Retrieval: Citrate buffer, pH 6.0, 15 min

5 / 6
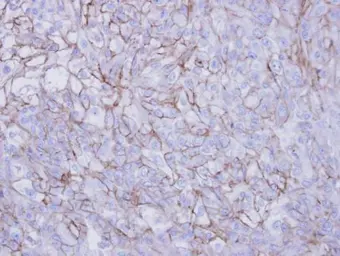
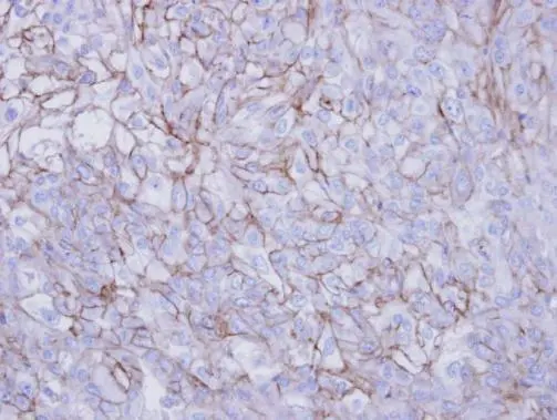
Anti-Desmoglein 2 antibody [N1N2], N-term used in IHC (Paraffin sections) (IHC-P). GTX102508
GTX102508 IHC-P Image

Immunohistochemical analysis of paraffin-embedded DU145 xenograft , using Desmoglein-2(GTX102508) antibody at 1:100 dilution.
Antigen Retrieval: Trilogy™ (EDTA based, pH 8.0) buffer, 15min

6 / 6
Anti-Desmoglein 2 antibody [N1N2], N-term used in Western Blot (WB). GTX102508
Anti-Desmoglein 2 antibody [N1N2], N-term used in Western Blot (WB). GTX102508
Anti-Desmoglein 2 antibody [N1N2], N-term used in IHC (Paraffin sections) (IHC-P). GTX102508
Anti-Desmoglein 2 antibody [N1N2], N-term used in Immunocytochemistry/ Immunofluorescence (ICC/IF). GTX102508
Anti-Desmoglein 2 antibody [N1N2], N-term used in IHC (Paraffin sections) (IHC-P). GTX102508
Anti-Desmoglein 2 antibody [N1N2], N-term used in IHC (Paraffin sections) (IHC-P). GTX102508
  • Host
    Rabbit
  • Clonality
    Polyclonal
  • Isotype
    IgG
  • Applications
    WB ICC/IF IHC-P
  • Reactivity
    Human, Mouse
See all Desmoglein 2 products