Doublecortin antibody

Cat. No. GTX134052
Cat. No.  GTX134052
Anti-Doublecortin antibody used in Western Blot (WB). GTX134052
GTX134052 WB Image

Various tissue extracts (50 μg) were separated by 10% SDS-PAGE, and the membranes were blotted with Doublecortin antibody (GTX134052) diluted at 1:1000 and competitor's antibody (MO22113) diluted at 1:1000. The HRP-conjugated anti-rabbit IgG antibody (GTX213110-01) was used to detect the primary antibody.

*Competitor's antibody is not affiliated with GeneTex and does not endorse this product.

1 / 7
Anti-Doublecortin antibody used in Western Blot (WB). GTX134052
GTX134052 WB Image

Non-transfected (–) and transfected (+) 293T whole cell extracts (30 μg) were separated by 10% SDS-PAGE, and the membrane was blotted with Doublecortin antibody (GTX134052) diluted at 1:1000. The HRP-conjugated anti-rabbit IgG antibody (GTX213110-01) was used to detect the primary antibody.

2 / 7
Anti-Doublecortin antibody used in IHC (Frozen sections) (IHC-Fr). GTX134052
GTX134052 IHC-Fr Image

Doublecortin antibody detects Doublecortin protein by immunohistochemical analysis.
Sample: Frozen-sectioned mouse hippocampus.
Green: Doublecortin stained by Doublecortin antibody (GTX134052) diluted at 1:250.
Blue: Fluoroshield with DAPI (GTX30920).

3 / 7
Anti-Doublecortin antibody used in IHC (Paraffin sections) (IHC-P). GTX134052
GTX134052 IHC-P Image

Doublecortin antibody detects Doublecortin protein at cytoplasm by immunohistochemical analysis.
Sample: Paraffin-embedded mouse E10.5 mouse embryo.
Doublecortin stained by Doublecortin antibody (GTX134052) diluted at 1:1000.
Antigen Retrieval: Citrate buffer, pH 6.0, 15 min

4 / 7
Anti-Doublecortin antibody used in Western Blot (WB). GTX134052
GTX134052 WB Image

Various tissue extracts (50 μg) were separated by 10% SDS-PAGE, and the membrane was blotted with Doublecortin antibody (GTX134052) diluted at 1:1000. The HRP-conjugated anti-rabbit IgG antibody (GTX213110-01) was used to detect the primary antibody.

5 / 7
Anti-Doublecortin antibody used in Western Blot (WB). GTX134052
GTX134052 WB Image

Various whole cell extracts (30 μg) were separated by 10% SDS-PAGE, and the membrane was blotted with Doublecortin antibody (GTX134052) diluted at 1:1000. The HRP-conjugated anti-rabbit IgG antibody (GTX213110-01) was used to detect the primary antibody, and the signal was developed with Trident ECL plus-Enhanced.

6 / 7
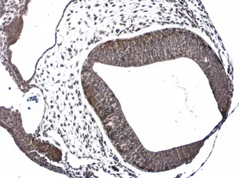
Anti-Doublecortin antibody used in IHC (Paraffin sections) (IHC-P). GTX134052
GTX134052 IHC-P Image

The data was published in the journal Int J Mol Sci in 2020.PMID: 32046281

7 / 7
Anti-Doublecortin antibody used in Western Blot (WB). GTX134052
Anti-Doublecortin antibody used in Western Blot (WB). GTX134052
Anti-Doublecortin antibody used in IHC (Frozen sections) (IHC-Fr). GTX134052
Anti-Doublecortin antibody used in IHC (Paraffin sections) (IHC-P). GTX134052
Anti-Doublecortin antibody used in Western Blot (WB). GTX134052
Anti-Doublecortin antibody used in Western Blot (WB). GTX134052
Anti-Doublecortin antibody used in IHC (Paraffin sections) (IHC-P). GTX134052
  • Host
    Rabbit
  • Clonality
    Polyclonal
  • Isotype
    IgG
  • Applications
    WB IHC-P IHC-Fr
  • Reactivity
    Human, Mouse, Rat
See all Doublecortin products