E-Cadherin antibody

Cat. No. GTX100443
Cat. No.  GTX100443
Anti-E-Cadherin antibody used in Western Blot (WB). GTX100443
GTX100443 WB Image

Non-transfected (–) and transfected (+) MCF-7 whole cell extracts (30 μg) were separated by 5% SDS-PAGE, and the membrane was blotted with E-Cadherin antibody (GTX100443) diluted at 1:7000. The HRP-conjugated anti-rabbit IgG antibody (GTX213110-01) was used to detect the primary antibody.

1 / 35
Anti-E-Cadherin antibody used in Western Blot (WB). GTX100443
GTX100443 WB Image

Various whole cell extracts (30 μg) were separated by 5% SDS-PAGE, and the membranes were blotted with E-Cadherin antibody (GTX100443) diluted at 1:3000 and competitor's antibody diluted at 1:3000. The HRP-conjugated anti-rabbit IgG antibody (GTX213110-01) was used to detect the primary antibody.

*The competitor is not affiliated with GeneTex and does not endorse this product.

2 / 35
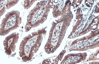
Anti-E-Cadherin antibody used in IHC (Paraffin sections) (IHC-P). GTX100443
GTX100443 IHC-P Image

E-Cadherin antibody detects E-Cadherin protein at cell membrane and cytoplasm by immunohistochemical analysis.
Sample: Paraffin-embedded rat duodenum.
E-Cadherin stained by E-Cadherin antibody (GTX100443) diluted at 1:1000.
Antigen Retrieval: Citrate buffer, pH 6.0, 15 min

3 / 35
Anti-E-Cadherin antibody used in Western Blot (WB). GTX100443
GTX100443 WB Image

Various whole cell extracts (30 μg) were separated by 5% SDS-PAGE, and the membrane was blotted with E-Cadherin antibody (GTX100443) diluted at 1:2000. The HRP-conjugated anti-rabbit IgG antibody (GTX213110-01) was used to detect the primary antibody.

4 / 35
Anti-E-Cadherin antibody used in Western Blot (WB). GTX100443
GTX100443 WB Image

Mouse tissue extract (50 μg) was separated by 5% SDS-PAGE, and the membrane was blotted with E-Cadherin antibody (GTX100443) diluted at 1:2000. The HRP-conjugated anti-rabbit IgG antibody (GTX213110-01) was used to detect the primary antibody.

5 / 35
Anti-E-Cadherin antibody used in Immunoprecipitation (IP). GTX100443
GTX100443 IP Image

Immunoprecipitation of E-Cadherin protein from MCF-7 whole cell extracts using 5 μg of E-Cadherin antibody (GTX100443).
Western blot analysis was performed using E-Cadherin antibody (GTX100443).
EasyBlot anti-Rabbit IgG (GTX221666-01) was used as a secondary reagent.

6 / 35
Anti-E-Cadherin antibody used in IHC (Paraffin sections) (IHC-P). GTX100443
GTX100443 IHC-P Image

E-Cadherin antibody detects E-Cadherin protein at cell membrane and cytoplasm by immunohistochemical analysis.
Sample: Paraffin-embedded mouse intestine.
E-Cadherin stained by E-Cadherin antibody (GTX100443) diluted at 1:500.
Antigen Retrieval: Citrate buffer, pH 6.0, 15 min

7 / 35
Anti-E-Cadherin antibody used in Immunocytochemistry/ Immunofluorescence (ICC/IF). GTX100443
GTX100443 ICC/IF Image

E-Cadherin antibody detects E-Cadherin protein at cell membrane by immunofluorescent analysis.
Sample: MCF7 cells were fixed in 4% paraformaldehyde at RT for 15 min.
Green: E-Cadherin protein stained by E-Cadherin antibody (GTX100443) diluted at 1:500.
Blue: Hoechst 33342 staining.

8 / 35
Anti-E-Cadherin antibody used in IHC (Paraffin sections) (IHC-P). GTX100443
GTX100443 IHC-P Image

E-Cadherin antibody detects E-Cadherin protein at cell membrane and cytoplasm by immunohistochemical analysis.
Sample: Paraffin-embedded mouse stomach.
E-Cadherin stained by E-Cadherin antibody (GTX100443) diluted at 1:500.
Antigen Retrieval: Citrate buffer, pH 6.0, 15 min

9 / 35
Anti-E-Cadherin antibody used in IHC (Paraffin sections) (IHC-P). GTX100443
GTX100443 IHC-P Image

E-Cadherin antibody detects E-Cadherin protein at cell membrane in mouse cervix by immunohistochemical analysis.
Sample: Paraffin-embedded mouse cervix.
E-Cadherin antibody (GTX100443) diluted at 1:500.

Antigen Retrieval: Citrate buffer, pH 6.0, 15 min

10 / 35
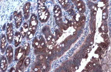
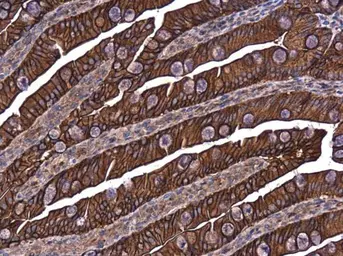
Anti-E-Cadherin antibody used in IHC (Paraffin sections) (IHC-P). GTX100443
GTX100443 IHC-P Image

E-Cadherin antibody detects E-Cadherin protein at cell membrane in rat intestine by immunohistochemical analysis.
Sample: Paraffin-embedded rat intestine.
E-Cadherin antibody (GTX100443) diluted at 1:500.

Antigen Retrieval: Citrate buffer, pH 6.0, 15 min

11 / 35
Anti-E-Cadherin antibody used in Immunocytochemistry/ Immunofluorescence (ICC/IF). GTX100443
GTX100443 ICC/IF Image

E-Cadherin antibody detects E-Cadherin protein at cell membrane by immunofluorescent analysis.
Sample: A431 cells were fixed in 4% paraformaldehyde at RT for 15 min.
Green: E-Cadherin protein stained by E-Cadherin antibody (GTX100443) diluted at 1:500.
Blue: Hoechst 33342 staining.

12 / 35
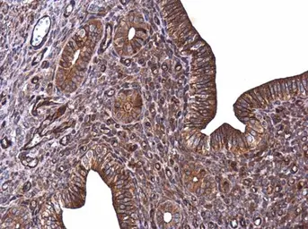
Anti-E-Cadherin antibody used in IHC (Paraffin sections) (IHC-P). GTX100443
GTX100443 IHC-P Image

E-Cadherin antibody detects E-Cadherin protein at cell membrane in mouse pancreas by immunohistochemical analysis.
Sample: Paraffin-embedded mouse pancreas.
E-Cadherin antibody (GTX100443) diluted at 1:400.

Antigen Retrieval: Citrate buffer, pH 6.0, 15 min

13 / 35
Anti-E-Cadherin antibody used in IHC (Paraffin sections) (IHC-P). GTX100443
GTX100443 IHC-P Image

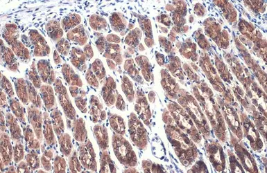
E-Cadherin antibody detects E-Cadherin protein at cell membrane in rat prostate by immunohistochemical analysis.
Sample: Paraffin-embedded rat prostate.
E-Cadherin antibody (GTX100443) diluted at 1:500.

Antigen Retrieval: Citrate buffer, pH 6.0, 15 min

14 / 35
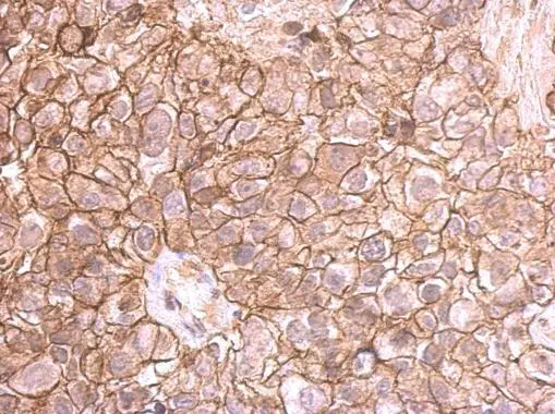
Anti-E-Cadherin antibody used in IHC (Paraffin sections) (IHC-P). GTX100443
GTX100443 IHC-P Image

E-cadherin antibody detects E-cadherin protein at membrane on human breast cancer by immunohistochemical analysis.
Sample: Paraffin-embedded breast cancer.
E-cadherin antibody (GTX100443) dilution: 1:500.

Antigen Retrieval: Trilogy™ (EDTA based, pH 8.0) buffer, 15min

15 / 35
Anti-E-Cadherin antibody used in IHC (Paraffin sections) (IHC-P). GTX100443
GTX100443 IHC-P Image

E-Cadherin antibody detects E-Cadherin protein at cell membrane in rat prostate by immunohistochemical analysis.
Sample: Paraffin-embedded rat prostate.
E-Cadherin antibody (GTX100443) diluted at 1:500.

Antigen Retrieval: Citrate buffer, pH 6.0, 15 min

16 / 35
Anti-E-Cadherin antibody used in IHC (Paraffin sections) (IHC-P). GTX100443
GTX100443 IHC-P Image

Immunohistochemical analysis of paraffin-embedded human ulcerative colitis tissue using E-Cadherin antibody (GTX100443).

17 / 35
Anti-E-Cadherin antibody used in Immunocytochemistry/ Immunofluorescence (ICC/IF). GTX100443
GTX100443 ICC/IF Image

E-Cadherin antibody detects E-Cadherin protein at cell membrane by immunofluorescent analysis.
Sample: HCT116 cells were fixed in 4% paraformaldehyde at RT for 15 min.
Green: E-Cadherin stained by E-Cadherin antibody (GTX100443) diluted at 1:500.
Blue: Fluoroshield with DAPI (GTX30920).
Scale bar= 10 μm.

18 / 35
Anti-E-Cadherin antibody used in Immunoprecipitation (IP). GTX100443
GTX100443 IP Image

E-cadherin antibody immunoprecipitates E-cadherin protein in IP experiments.
IP samples: MCF-7 whole cell extract
A. Control with 3 μg of preimmune Rabbit IgG
B. Immunoprecipitation of E-cadherin protein by 3 μg E-cadherin antibody (GTX100443)
5 % SDS-PAGE
The immunoprecipitated E-cadherin protein was detected by E-cadherin antibody (GTX100443) diluted at 1:500.
[EasyBlot anti-rabbit IgG (GTX221666-01) was used as a secondary reagent]

19 / 35
Anti-E-Cadherin antibody used in Immunocytochemistry/ Immunofluorescence (ICC/IF). GTX100443
GTX100443 ICC/IF Image

E-Cadherin antibody detects E-Cadherin protein at cell membrane by immunofluorescent analysis.
Sample: MDCK cells were fixed in 4% paraformaldehyde at RT for 15 min.
Green: E-Cadherin stained by E-Cadherin antibody (GTX100443) diluted at 1:500.

20 / 35
Anti-E-Cadherin antibody used in Western Blot (WB). GTX100443
GTX100443 WB Image

Whole cell extracts (30 μg) was separated by 7.5% SDS-PAGE, and the membrane was blotted with E-Cadherin antibody (GTX100443) diluted at 1:10000. The HRP-conjugated anti-rabbit IgG antibody (GTX213110-01) was used to detect the primary antibody.

21 / 35
Anti-E-Cadherin antibody used in Immunocytochemistry/ Immunofluorescence (ICC/IF). GTX100443
GTX100443 ICC/IF Image

E-Cadherin antibody detects E-Cadherin protein at cell membrane by immunofluorescent analysis.
Sample: MDCK cells were fixed in 4% paraformaldehyde at RT for 15 min.
Green: E-Cadherin stained by E-Cadherin antibody (GTX100443) diluted at 1:500.

22 / 35
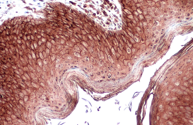
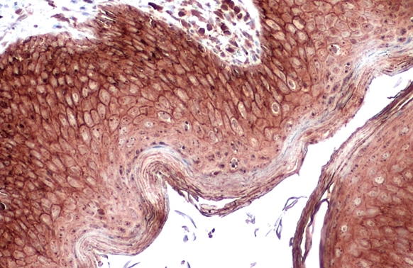
Anti-E-Cadherin antibody used in IHC (Paraffin sections) (IHC-P). GTX100443
GTX100443 IHC-P Image

E-Cadherin antibody detects E-Cadherin protein at cell membrane and cytoplasm by immunohistochemical analysis.
Sample: Paraffin-embedded dog skin.
E-Cadherin stained by E-Cadherin antibody (GTX100443) diluted at 1:500.
Antigen Retrieval: Citrate buffer, pH 6.0, 15 min

23 / 35
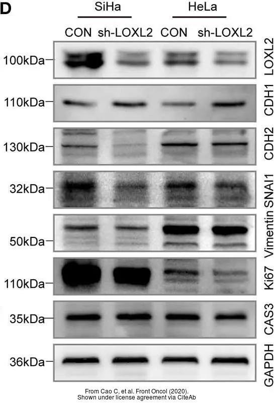
Anti-E-Cadherin antibody used in Western Blot (WB). GTX100443
GTX100443 WB Image

The data was published in the journal Front Oncol in 2020.PMID: 32211324

24 / 35
Anti-E-Cadherin antibody used in Western Blot (WB). GTX100443
GTX100443 WB Image

The data was published in the 2022 in Front Pharmacol. PMID: 35517780

25 / 35
Anti-E-Cadherin antibody used in Western Blot (WB). GTX100443
GTX100443 WB Image

The data was published in the journal Front Endocrinol (Lausanne) in 2017. PMID: 29109696

26 / 35
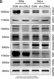
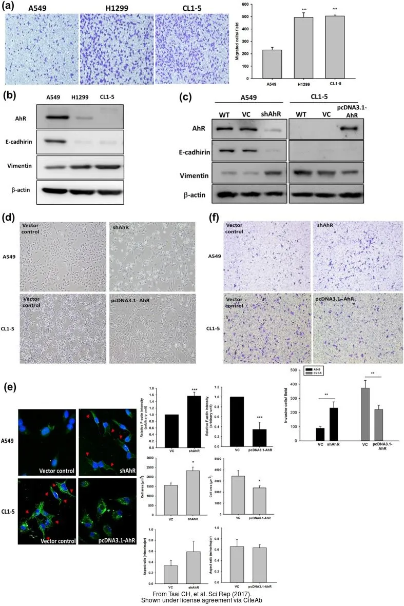
Anti-E-Cadherin antibody used in Western Blot (WB). GTX100443
GTX100443 WB Image

The data was published in the journal Sci Rep in 2017. PMID: 28195146

27 / 35
Anti-E-Cadherin antibody used in Western Blot (WB). GTX100443
GTX100443 WB Image

The data was published in the journal PLoS One in 2017. PMID: 28683123

28 / 35
Anti-E-Cadherin antibody used in Western Blot (WB). GTX100443
GTX100443 WB Image

The data was published in the journal PLoS One in 2017. PMID: 28683123

29 / 35
Anti-E-Cadherin antibody used in IHC (Paraffin sections) (IHC-P). GTX100443
GTX100443 IHC-P Image

The data was published in the journal Evid Based Complement Alternat Med in 2019. PMID: 31186661

30 / 35
Anti-E-Cadherin antibody used in Western Blot (WB). GTX100443
GTX100443 WB Image

The data was published in the journal Int J Mol Sci in 2019.PMID: 31426484

31 / 35
Anti-E-Cadherin antibody used in IHC (Paraffin sections) (IHC-P). GTX100443
GTX100443 IHC-P Image

The data was published in the journal Cell Death Dis in 2020.PMID: 32080178

32 / 35
Anti-E-Cadherin antibody used in Western Blot (WB). GTX100443
GTX100443 WB Image

The data was published in the 2022 in Front Pharmacol. PMID: 35517780

33 / 35
Anti-E-Cadherin antibody used in Western Blot (WB). GTX100443
GTX100443 WB Image

The data was published in the 2022 in Front Pharmacol. PMID: 35517780

34 / 35
Anti-E-Cadherin antibody used in Western Blot (WB). GTX100443
GTX100443 WB Image

The data was published in the 2022 in Front Pharmacol. PMID: 35517780

35 / 35
Anti-E-Cadherin antibody used in Western Blot (WB). GTX100443
Anti-E-Cadherin antibody used in Western Blot (WB). GTX100443
Anti-E-Cadherin antibody used in IHC (Paraffin sections) (IHC-P). GTX100443
Anti-E-Cadherin antibody used in Western Blot (WB). GTX100443
Anti-E-Cadherin antibody used in Western Blot (WB). GTX100443
Anti-E-Cadherin antibody used in Immunoprecipitation (IP). GTX100443
Anti-E-Cadherin antibody used in IHC (Paraffin sections) (IHC-P). GTX100443
Anti-E-Cadherin antibody used in Immunocytochemistry/ Immunofluorescence (ICC/IF). GTX100443
Anti-E-Cadherin antibody used in IHC (Paraffin sections) (IHC-P). GTX100443
Anti-E-Cadherin antibody used in IHC (Paraffin sections) (IHC-P). GTX100443
Anti-E-Cadherin antibody used in IHC (Paraffin sections) (IHC-P). GTX100443
Anti-E-Cadherin antibody used in Immunocytochemistry/ Immunofluorescence (ICC/IF). GTX100443
Anti-E-Cadherin antibody used in IHC (Paraffin sections) (IHC-P). GTX100443
Anti-E-Cadherin antibody used in IHC (Paraffin sections) (IHC-P). GTX100443
Anti-E-Cadherin antibody used in IHC (Paraffin sections) (IHC-P). GTX100443
Anti-E-Cadherin antibody used in IHC (Paraffin sections) (IHC-P). GTX100443
Anti-E-Cadherin antibody used in IHC (Paraffin sections) (IHC-P). GTX100443
Anti-E-Cadherin antibody used in Immunocytochemistry/ Immunofluorescence (ICC/IF). GTX100443
Anti-E-Cadherin antibody used in Immunoprecipitation (IP). GTX100443
Anti-E-Cadherin antibody used in Immunocytochemistry/ Immunofluorescence (ICC/IF). GTX100443
Anti-E-Cadherin antibody used in Western Blot (WB). GTX100443
Anti-E-Cadherin antibody used in Immunocytochemistry/ Immunofluorescence (ICC/IF). GTX100443
Anti-E-Cadherin antibody used in IHC (Paraffin sections) (IHC-P). GTX100443
Anti-E-Cadherin antibody used in Western Blot (WB). GTX100443
Anti-E-Cadherin antibody used in Western Blot (WB). GTX100443
Anti-E-Cadherin antibody used in Western Blot (WB). GTX100443
Anti-E-Cadherin antibody used in Western Blot (WB). GTX100443
Anti-E-Cadherin antibody used in Western Blot (WB). GTX100443
Anti-E-Cadherin antibody used in Western Blot (WB). GTX100443
Anti-E-Cadherin antibody used in IHC (Paraffin sections) (IHC-P). GTX100443
Anti-E-Cadherin antibody used in Western Blot (WB). GTX100443
Anti-E-Cadherin antibody used in IHC (Paraffin sections) (IHC-P). GTX100443
Anti-E-Cadherin antibody used in Western Blot (WB). GTX100443
Anti-E-Cadherin antibody used in Western Blot (WB). GTX100443
Anti-E-Cadherin antibody used in Western Blot (WB). GTX100443
  • Host
    Rabbit
  • Clonality
    Polyclonal
  • Isotype
    IgG
  • Applications
    WB ICC/IF IHC-P IHC-Wm IP PLA
  • Reactivity
    Human, Mouse, Rat, Zebrafish, Dog
Summary
E-Cadherin antibody detects E-cadherin protein, which is encoded by the CDH1 gene. E-cadherin is a calcium-dependent cell adhesion protein (predicted molecular weight of 97 kDa) that plays a vital role in cell migration and proliferation. Because E-cadherin is an epithelial cell marker, this antibody is a well-published and widely used reagent to study E-cadherin protein expression during the epithelial-mesenchymal transition (EMT) in various physiological and pathological processes.
See all E-Cadherin products