ERP72 antibody

Cat. No. GTX115263
Cat. No.  GTX115263
Anti-ERP72 antibody used in Western Blot (WB). GTX115263
GTX115263 WB Image

Wild-type (WT) and ERP72 knockout (KO) 293T cell extracts (30 μg) were separated by 7.5% SDS-PAGE, and the membrane was blotted with ERP72 antibody (GTX115263) diluted at 1:1000. The HRP-conjugated anti-rabbit IgG antibody (GTX213110-01) was used to detect the primary antibody.

1 / 6
Anti-ERP72 antibody used in Western Blot (WB). GTX115263
GTX115263 WB Image

Various whole cell extracts (30 μg) were separated by 7.5% SDS-PAGE, and the membranes were blotted with ERP72 antibody (GTX115263) diluted at 1:500 and competitor's antibody diluted at 1:500. The HRP-conjugated anti-rabbit IgG antibody (GTX213110-01) was used to detect the primary antibody.

*The competitor is not affiliated with GeneTex and does not endorse this product.

2 / 6
Anti-ERP72 antibody used in Western Blot (WB). GTX115263
GTX115263 WB Image

Sample (30 ug of whole cell lysate)
A: NIH-3T3
B: JC
C: BCL-1
7.5% SDS PAGE
GTX115263 diluted at 1:10000

3 / 6
Anti-ERP72 antibody used in Western Blot (WB). GTX115263
GTX115263 WB Image

Sample (30 ug of whole cell lysate)
A: 293T
B: A431
7.5% SDS PAGE
GTX115263 diluted at 1:1000

4 / 6
Anti-ERP72 antibody used in Immunocytochemistry/ Immunofluorescence (ICC/IF). GTX115263
GTX115263 ICC/IF Image

Confocal immunofluorescence analysis (Olympus FV10i) of methanol-fixed HeLa, using ERP72(GTX115263) antibody (Green) at 1:500 dilution.

5 / 6
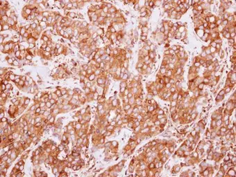
Anti-ERP72 antibody used in IHC (Paraffin sections) (IHC-P). GTX115263
GTX115263 IHC-P Image

Immunohistochemical analysis of paraffin-embedded human breast cancer, using ERP72(GTX115263) antibody at 1:500 dilution.
Antigen Retrieval: Trilogy™ (EDTA based, pH 8.0) buffer, 15min

6 / 6
Anti-ERP72 antibody used in Western Blot (WB). GTX115263
Anti-ERP72 antibody used in Western Blot (WB). GTX115263
Anti-ERP72 antibody used in Western Blot (WB). GTX115263
Anti-ERP72 antibody used in Western Blot (WB). GTX115263
Anti-ERP72 antibody used in Immunocytochemistry/ Immunofluorescence (ICC/IF). GTX115263
Anti-ERP72 antibody used in IHC (Paraffin sections) (IHC-P). GTX115263
  • Host
    Rabbit
  • Clonality
    Polyclonal
  • Isotype
    IgG
  • Applications
    WB ICC/IF IHC-P IP
  • Reactivity
    Human, Mouse
See all ERP72 products