EpCAM antibody [HL1339]

Cat. No. GTX636759
Cat. No.  GTX636759
Anti-EpCAM antibody [HL1339] used in Western Blot (WB). GTX636759
GTX636759 WB Image

Various whole cell extracts (30 μg) were separated by 12% SDS-PAGE, and the membrane was blotted with EpCAM antibody [HL1339] (GTX636759) diluted at 1:500. The HRP-conjugated anti-rabbit IgG antibody (GTX213110-01) was used to detect the primary antibody. Corresponding RNA expression data for the same cell lines are based on Human Protein Atlas program.

1 / 9
Anti-EpCAM antibody [HL1339] used in Western Blot (WB). GTX636759
GTX636759 WB Image

Various whole cell extracts (30 μg) were separated by 12% SDS-PAGE, and the membrane was blotted with EpCAM antibody [HL1339] (GTX636759) diluted at 1:500. The HRP-conjugated anti-rabbit IgG antibody (GTX213110-01) was used to detect the primary antibody. Corresponding RNA expression data are based on Human Protein Atlas program.

2 / 9
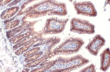
Anti-EpCAM antibody [HL1339] used in IHC (Paraffin sections) (IHC-P). GTX636759
GTX636759 IHC-P Image

EpCAM antibody [HL1339] detects EpCAM protein at cell membrane by immunohistochemical analysis.
Sample: Paraffin-embedded mouse intestine.
EpCAM stained by EpCAM antibody [HL1339] (GTX636759) diluted at 1:200.
Antigen Retrieval: Citrate buffer, pH 6.0, 15 min

3 / 9
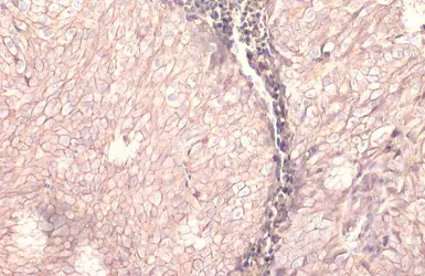
Anti-EpCAM antibody [HL1339] used in IHC (Paraffin sections) (IHC-P). GTX636759
GTX636759 IHC-P Image

EpCAM antibody [HL1339] detects EpCAM protein at cell membrane by immunohistochemical analysis.
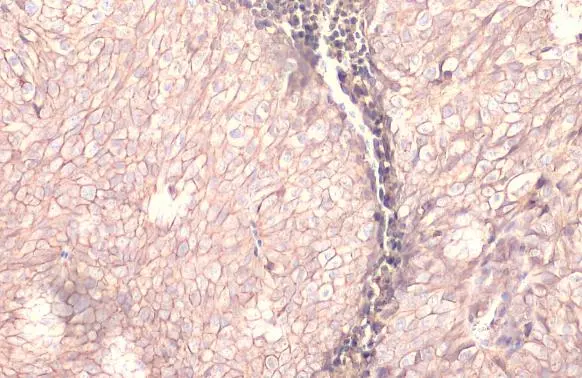
Sample: Paraffin-embedded human HCT116 xenograft.
EpCAM stained by EpCAM antibody [HL1339] (GTX636759) diluted at 1:200.
Antigen Retrieval: Citrate buffer, pH 6.0, 15 min

4 / 9
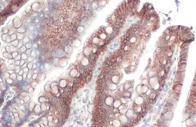
Anti-EpCAM antibody [HL1339] used in IHC (Paraffin sections) (IHC-P). GTX636759
GTX636759 IHC-P Image

EpCAM antibody [HL1339] detects EpCAM protein at cell membrane by immunohistochemical analysis.
Sample: Paraffin-embedded mouse colon.
EpCAM stained by EpCAM antibody [HL1339] (GTX636759) diluted at 1:100.
Antigen Retrieval: Citrate buffer, pH 6.0, 15 min

5 / 9
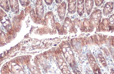
Anti-EpCAM antibody [HL1339] used in IHC (Paraffin sections) (IHC-P). GTX636759
GTX636759 IHC-P Image

EpCAM antibody [HL1339] detects EpCAM protein at cell membrane by immunohistochemical analysis.
Sample: Paraffin-embedded rat colon.
EpCAM stained by EpCAM antibody [HL1339] (GTX636759) diluted at 1:50.
Antigen Retrieval: Citrate buffer, pH 6.0, 15 min

6 / 9
Anti-EpCAM antibody [HL1339] used in Flow cytometry (FCM). GTX636759
GTX636759 FCM Image

EpCAM antibody [HL1339] (GTX636759) detects EpCAM protein by flow cytometry analysis.
Sample: HCT-116 and HeLa cell.
Gray: Rabbit IgG Isotype control.
Red: EpCAM antibody [HL1339] (GTX636759) dilution: 1:50.
Acquisition of 50,000 events were collected for flow cytometry analysis.

7 / 9
Anti-EpCAM antibody [HL1339] used in Immunocytochemistry/ Immunofluorescence (ICC/IF). GTX636759
GTX636759 ICC/IF Image

EpCAM antibody [HL1339] detects EpCAM protein at cell membrane and cell junction by immunofluorescent analysis.
Sample: HCT116 cells were fixed in ice-cold MeOH for 5 min.
Green: EpCAM stained by EpCAM antibody [HL1339] (GTX636759) diluted at 1:500.
Blue: Fluoroshield with DAPI (GTX30920).

8 / 9
Anti-EpCAM antibody [HL1339] used in Immunocytochemistry/ Immunofluorescence (ICC/IF). GTX636759
GTX636759 ICC/IF Image

EpCAM antibody [HL1339] detects EpCAM protein at cell membrane and cell junction by immunofluorescent analysis.
Sample: HCT116 cells were fixed in ice-cold MeOH for 5 min.
Green: EpCAM stained by EpCAM antibody [HL1339] (GTX636759) diluted at 1:500.
Blue: Fluoroshield with DAPI (GTX30920).

9 / 9
Anti-EpCAM antibody [HL1339] used in Western Blot (WB). GTX636759
Anti-EpCAM antibody [HL1339] used in Western Blot (WB). GTX636759
Anti-EpCAM antibody [HL1339] used in IHC (Paraffin sections) (IHC-P). GTX636759
Anti-EpCAM antibody [HL1339] used in IHC (Paraffin sections) (IHC-P). GTX636759
Anti-EpCAM antibody [HL1339] used in IHC (Paraffin sections) (IHC-P). GTX636759
Anti-EpCAM antibody [HL1339] used in IHC (Paraffin sections) (IHC-P). GTX636759
Anti-EpCAM antibody [HL1339] used in Flow cytometry (FCM). GTX636759
Anti-EpCAM antibody [HL1339] used in Immunocytochemistry/ Immunofluorescence (ICC/IF). GTX636759
Anti-EpCAM antibody [HL1339] used in Immunocytochemistry/ Immunofluorescence (ICC/IF). GTX636759
  • Host
    Rabbit
  • Clonality
    Monoclonal
  • Clone Name
    HL1339
  • Isotype
    IgG
  • Applications
    WB ICC/IF IHC-P IHC-Fr FCM
  • Reactivity
    Human, Mouse, Rat
See all EpCAM products