Estrogen Receptor beta antibody [14C8]

Cat. No. GTX70174
Cat. No.  GTX70174
Anti-Estrogen Receptor beta antibody [14C8] used in Western Blot (WB). GTX70174
GTX70174 WB Image

Non-transfected (–) and transfected (+) 293T whole cell extracts (30 μg) were separated by 7.5% SDS-PAGE, and the membrane was blotted with Estrogen Receptor beta antibody [14C8] (GTX70174) diluted at 1:5000. The HRP-conjugated anti-mouse IgG antibody (GTX213111-01) was used to detect the primary antibody.

1 / 11
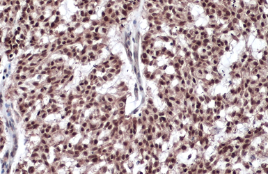
Anti-Estrogen Receptor beta antibody [14C8] used in IHC (Paraffin sections) (IHC-P). GTX70174
GTX70174 IHC-P Image

Estrogen Receptor beta antibody [14C8] detects Estrogen Receptor beta protein at nucleus by immunohistochemical analysis.
Sample: Paraffin-embedded human breast carcinoma.
Estrogen Receptor beta stained by Estrogen Receptor beta antibody [14C8] (GTX70174) diluted at 1:200.
Antigen Retrieval: Citrate buffer, pH 6.0, 15 min

2 / 11
Anti-Estrogen Receptor beta antibody [14C8] used in  (). GTX70174
GTX70174 Image

B. Infiltrating lobular carcinoma of the breast.

3 / 11
Anti-Estrogen Receptor beta antibody [14C8] used in Western Blot (WB). GTX70174
GTX70174 WB Image

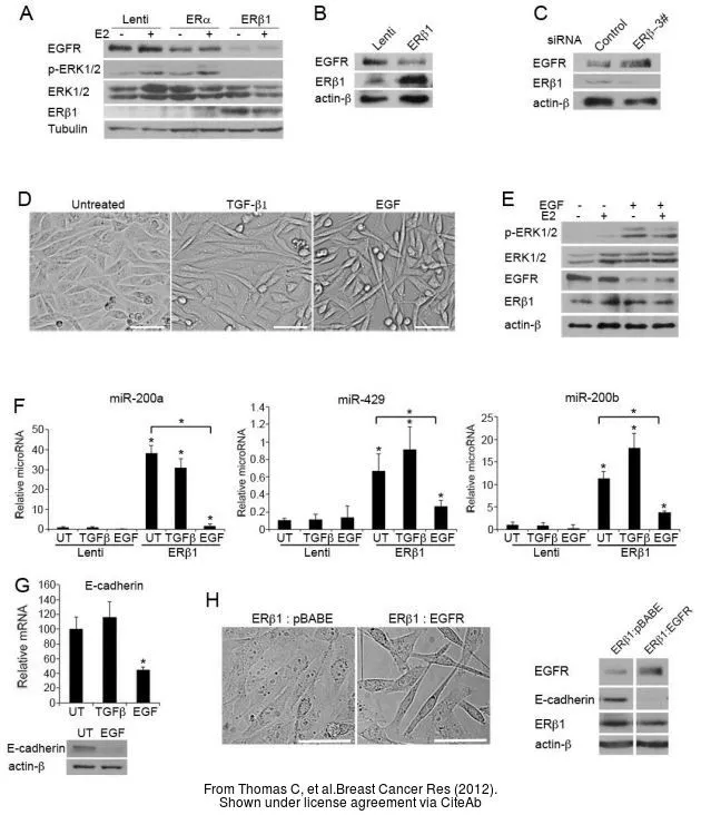
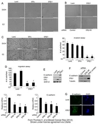
The data was published in the journal Breast Cancer Res in 2012. PMID: 23158001

4 / 11
Anti-Estrogen Receptor beta antibody [14C8] used in Western Blot (WB). GTX70174
GTX70174 WB Image

The data was published in the journal Breast Cancer Res in 2012. PMID: 23158001

5 / 11
Anti-Estrogen Receptor beta antibody [14C8] used in Western Blot (WB). GTX70174
GTX70174 WB Image

The data was published in the journal Breast Cancer Res in 2012. PMID: 23158001

6 / 11
Anti-Estrogen Receptor beta antibody [14C8] used in Western Blot (WB). GTX70174
GTX70174 WB Image

The data was published in the journal Breast Cancer Res in 2012. PMID: 23158001

7 / 11
Anti-Estrogen Receptor beta antibody [14C8] used in Western Blot (WB). GTX70174
GTX70174 WB Image

The data was published in the journal Breast Cancer Res in 2012. PMID: 23158001

8 / 11
Anti-Estrogen Receptor beta antibody [14C8] used in Western Blot (WB). GTX70174
GTX70174 WB Image

The data was published in the 2017 in Nat Commun. PMID: 28643774

9 / 11
Anti-Estrogen Receptor beta antibody [14C8] used in IHC (Paraffin sections) (IHC-P). GTX70174
GTX70174 IHC-P Image

The data was published in the journal Cancer Med in 2013. PMID: 23930207

10 / 11
Anti-Estrogen Receptor beta antibody [14C8] used in IHC (Paraffin sections) (IHC-P). GTX70174
GTX70174 IHC-P Image

The data was published in the journal Reprod Biol Endocrinol in 2012. PMID: 22520060

11 / 11
Anti-Estrogen Receptor beta antibody [14C8] used in Western Blot (WB). GTX70174
Anti-Estrogen Receptor beta antibody [14C8] used in IHC (Paraffin sections) (IHC-P). GTX70174
Anti-Estrogen Receptor beta antibody [14C8] used in  (). GTX70174
Anti-Estrogen Receptor beta antibody [14C8] used in Western Blot (WB). GTX70174
Anti-Estrogen Receptor beta antibody [14C8] used in Western Blot (WB). GTX70174
Anti-Estrogen Receptor beta antibody [14C8] used in Western Blot (WB). GTX70174
Anti-Estrogen Receptor beta antibody [14C8] used in Western Blot (WB). GTX70174
Anti-Estrogen Receptor beta antibody [14C8] used in Western Blot (WB). GTX70174
Anti-Estrogen Receptor beta antibody [14C8] used in Western Blot (WB). GTX70174
Anti-Estrogen Receptor beta antibody [14C8] used in IHC (Paraffin sections) (IHC-P). GTX70174
Anti-Estrogen Receptor beta antibody [14C8] used in IHC (Paraffin sections) (IHC-P). GTX70174
  • Host
    Mouse
  • Clonality
    Monoclonal
  • Clone Name
    14C8
  • Isotype
    IgG2b
  • Applications
    WB ICC/IF IHC-P IHC-Fr FCM Dot ChIP assay IHC-P (cell pellet)
  • Reactivity
    Human, Mouse, Monkey
See all Estrogen Receptor beta products