FAK (phospho Tyr407) antibody

Cat. No. GTX132320
Cat. No.  GTX132320
Anti-FAK (phospho Tyr407) antibody used in Western Blot (WB). GTX132320
GTX132320 WB Image

Non-transfected (–) and transfected (+) HeLa whole cell extracts (50 μg) were separated by 7.5% SDS-PAGE, and the membrane was blotted with FAK (phospho Tyr407) antibody (GTX132320) diluted at 1:500.

1 / 7
Anti-FAK (phospho Tyr407) antibody used in Western Blot (WB). GTX132320
GTX132320 WB Image

Untreated (–) and treated (+) NHI-3T3 whole cell extracts (30 μg) were separated by 7.5% SDS-PAGE, and the membranes were blotted with FAK (phospho Tyr407) antibody (GTX132320) diluted at 1:1000 and Fak antibody (GTX100764) diluted at 1:1000. The HRP-conjugated anti-rabbit IgG antibody (GTX213110-01) was used to detect the primary antibody.

2 / 7
Anti-FAK (phospho Tyr407) antibody used in Western Blot (WB). GTX132320
GTX132320 WB Image

Untreated (–) and treated (+) C2C12 whole cell extracts (30 μg) were separated by 7.5% SDS-PAGE, and the membranes were blotted with FAK (phospho Tyr407) antibody (GTX132320) diluted at 1:1000 and FAK antibody(GTX100764) diluted at 1:1000. The HRP-conjugated anti-rabbit IgG antibody (GTX213110-01) was used to detect the primary antibody.

3 / 7
Anti-FAK (phospho Tyr407) antibody used in Western Blot (WB). GTX132320
GTX132320 WB Image

Untreated (–) and treated (+) HepG2 whole cell extracts (30 μg) were separated by 7.5% SDS-PAGE, and the membranes were blotted with FAK (phospho Tyr407) antibody (GTX132320) diluted at 1:1000 and FAK antibody(GTX100764) diluted at 1:1000. The HRP-conjugated anti-rabbit IgG antibody (GTX213110-01) was used to detect the primary antibody.

4 / 7
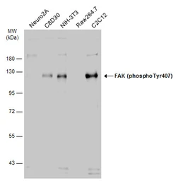
Anti-FAK (phospho Tyr407) antibody used in Western Blot (WB). GTX132320
GTX132320 WB Image

Various whole cell extracts (30 μg) were separated by 7.5% SDS-PAGE, and the membrane was blotted with FAK (phospho Tyr407) antibody (GTX132320) diluted at 1:1000. The HRP-conjugated anti-rabbit IgG antibody (GTX213110-01) was used to detect the primary antibody.

5 / 7
Anti-FAK (phospho Tyr407) antibody used in Western Blot (WB). GTX132320
GTX132320 WB Image

Whole cell extract (30 μg) was separated by 7.5% SDS-PAGE, and the membrane was blotted with FAK (phospho Tyr407) antibody (GTX132320) diluted at 1:1000. The HRP-conjugated anti-rabbit IgG antibody (GTX213110-01) was used to detect the primary antibody.

6 / 7
Anti-FAK (phospho Tyr407) antibody used in Immunocytochemistry/ Immunofluorescence (ICC/IF). GTX132320
GTX132320 ICC/IF Image

FAK (phospho Tyr407) antibody detects FAK (phospho Tyr407) protein at focal adhesion and nucleus by immunofluorescent analysis.
Sample: SK-N-SH cells were fixed in 4% paraformaldehyde at RT for 15 min.
Green: FAK (phospho Tyr407) stained by FAK (phospho Tyr407) antibody (GTX132320) diluted at 1:500.
Red: phalloidin, a cytoskeleton marker, diluted at 1:100.
Blue: Hoechst 33342 staining.

7 / 7
Anti-FAK (phospho Tyr407) antibody used in Western Blot (WB). GTX132320
Anti-FAK (phospho Tyr407) antibody used in Western Blot (WB). GTX132320
Anti-FAK (phospho Tyr407) antibody used in Western Blot (WB). GTX132320
Anti-FAK (phospho Tyr407) antibody used in Western Blot (WB). GTX132320
Anti-FAK (phospho Tyr407) antibody used in Western Blot (WB). GTX132320
Anti-FAK (phospho Tyr407) antibody used in Western Blot (WB). GTX132320
Anti-FAK (phospho Tyr407) antibody used in Immunocytochemistry/ Immunofluorescence (ICC/IF). GTX132320
  • Host
    Rabbit
  • Clonality
    Polyclonal
  • Isotype
    IgG
  • Applications
    WB ICC/IF
  • Reactivity
    Human, Mouse, Rat
See all FAK products