FCER1G antibody [HL1418]

Cat. No. GTX636884
Cat. No.  GTX636884
Anti-FCER1G antibody [HL1418] used in Western Blot (WB). GTX636884
GTX636884 WB Image

Whole cell extract (30 μg) was separated by 15% SDS-PAGE, and the membrane was blotted with FCER1G antibody [HL1418] (GTX636884) diluted at 1:1000. The HRP-conjugated anti-rabbit IgG antibody (GTX213110-01) was used to detect the primary antibody.

1 / 8
Anti-FCER1G antibody [HL1418] used in Western Blot (WB). GTX636884
GTX636884 WB Image

Non-transfected (–) and transfected (+) 293T whole cell extracts (30 μg) were separated by 15% SDS-PAGE, and the membrane was blotted with FCER1G antibody [HL1418] (GTX636884) diluted at 1:5000. The HRP-conjugated anti-rabbit IgG antibody (GTX213110-01) was used to detect the primary antibody.

2 / 8
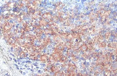
Anti-FCER1G antibody [HL1418] used in IHC (Paraffin sections) (IHC-P). GTX636884
GTX636884 IHC-P Image

FCER1G antibody [HL1418] detects FCER1G protein at cell membrane by immunohistochemical analysis.
Sample: Paraffin-embedded mouse spleen.
FCER1G stained by FCER1G antibody [HL1418] (GTX636884) diluted at 1:100.
Antigen Retrieval: Citrate buffer, pH 6.0, 15 min

3 / 8
Anti-FCER1G antibody [HL1418] used in IHC (Paraffin sections) (IHC-P). GTX636884
GTX636884 IHC-P Image

FCER1G antibody [HL1418] detects FCER1G protein at cell membrane by immunohistochemical analysis.
Sample: Paraffin-embedded mouse spleen.
FCER1G stained by FCER1G antibody [HL1418] (GTX636884) diluted at 1:100.
Antigen Retrieval: Citrate buffer, pH 6.0, 15 min

4 / 8
Anti-FCER1G antibody [HL1418] used in Immunocytochemistry/ Immunofluorescence (ICC/IF). GTX636884
GTX636884 ICC/IF Image

FCER1G antibody [HL1418] detects FCER1G protein at cell membrane by immunofluorescent analysis.
Sample: THP-1 cells were fixed in 4% paraformaldehyde at RT for 15 min.
Green: FCER1G stained by FCER1G antibody [HL1418] (GTX636884) diluted at 1:500.
Blue: Fluoroshield with DAPI (GTX30920).

5 / 8
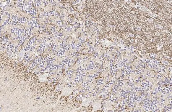
Anti-FCER1G antibody [HL1418] used in IHC (Paraffin sections) (IHC-P). GTX636884
GTX636884 IHC-P Image

FCER1G antibody [HL1418] detects FCER1G protein at cell membrane by immunohistochemical analysis.
Sample: Paraffin-embedded dog cerebellum.
FCER1G stained by FCER1G antibody [HL1418] (GTX636884) diluted at 1:100.
Antigen Retrieval: Citrate buffer, pH 6.0, 15 min

6 / 8
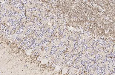
Anti-FCER1G antibody [HL1418] used in IHC (Paraffin sections) (IHC-P). GTX636884
GTX636884 IHC-P Image

FCER1G antibody [HL1418] detects FCER1G protein at cell membrane by immunohistochemical analysis.
Sample: Paraffin-embedded cat cerebellum.
FCER1G stained by FCER1G antibody [HL1418] (GTX636884) diluted at 1:100.
Antigen Retrieval: Citrate buffer, pH 6.0, 15 min

7 / 8
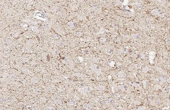
Anti-FCER1G antibody [HL1418] used in IHC (Paraffin sections) (IHC-P). GTX636884
GTX636884 IHC-P Image

FCER1G antibody [HL1418] detects FCER1G protein by immunohistochemical analysis.
Sample: Paraffin-embedded rat tissues.
FCER1G stained by FCER1G antibody [HL1418] (GTX636884) diluted at 1:100.
Antigen Retrieval: Citrate buffer, pH 6.0, 15 min

8 / 8
Anti-FCER1G antibody [HL1418] used in Western Blot (WB). GTX636884
Anti-FCER1G antibody [HL1418] used in Western Blot (WB). GTX636884
Anti-FCER1G antibody [HL1418] used in IHC (Paraffin sections) (IHC-P). GTX636884
Anti-FCER1G antibody [HL1418] used in IHC (Paraffin sections) (IHC-P). GTX636884
Anti-FCER1G antibody [HL1418] used in Immunocytochemistry/ Immunofluorescence (ICC/IF). GTX636884
Anti-FCER1G antibody [HL1418] used in IHC (Paraffin sections) (IHC-P). GTX636884
Anti-FCER1G antibody [HL1418] used in IHC (Paraffin sections) (IHC-P). GTX636884
Anti-FCER1G antibody [HL1418] used in IHC (Paraffin sections) (IHC-P). GTX636884
  • Host
    Rabbit
  • Clonality
    Monoclonal
  • Clone Name
    HL1418
  • Isotype
    IgG
  • Applications
    WB ICC/IF IHC-P IP
  • Reactivity
    Human, Mouse, Rat, Cat, Dog
See all FCER1G products