Fatty Acid Synthase antibody [N1], N-term

Cat. No. GTX109833
Cat. No.  GTX109833
Anti-Fatty Acid Synthase antibody [N1], N-term used in Western Blot (WB). GTX109833
GTX109833 WB Image

Various whole cell extracts (30 μg) were separated by 5% SDS-PAGE, and the membrane was blotted with Fatty Acid Synthase antibody [N1], N-term (GTX109833) diluted at 1:1000. The HRP-conjugated anti-rabbit IgG antibody (GTX213110-01) was used to detect the primary antibody.

1 / 13
Anti-Fatty Acid Synthase antibody [N1], N-term used in Western Blot (WB). GTX109833
GTX109833 WB Image

Various whole cell extracts (30 μg) were separated by 5% SDS-PAGE, and the membrane was blotted with Fatty Acid Synthase antibody [N1], N-term (GTX109833) diluted at 1:1000. The HRP-conjugated anti-rabbit IgG antibody (GTX213110-01) was used to detect the primary antibody.

2 / 13
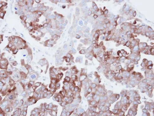
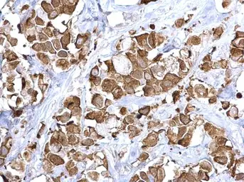
Anti-Fatty Acid Synthase antibody [N1], N-term used in IHC (Paraffin sections) (IHC-P). GTX109833
GTX109833 IHC-P Image

Fatty Acid Synthase antibody [N1], N-term detects Fatty Acid Synthase protein at cytoplasm on human breast carcinoma by immunohistochemical analysis.
Sample: Paraffin-embedded human breast carcinoma.
Fatty Acid Synthase antibody [N1], N-term (GTX109833) diluted at 1:500.

Antigen Retrieval: Trilogy™ (EDTA based, pH 8.0) buffer, 15min

3 / 13
Anti-Fatty Acid Synthase antibody [N1], N-term used in Immunoprecipitation (IP). GTX109833
GTX109833 IP Image

FASN antibody immunoprecipitates FASN protein in IP experiments. IP Sample: HeLa whole cell lysate/extract A : 30 μg whole cell lysate/extract of FASN protein expressing HeLa cells B : Control with 2.5 μg of pre-immune rabbit IgG C : Immunoprecipitation of FASN by 2.5 μg of FASN antibody (GTX109833) 5% SDS-PAGE The immunoprecipitated FASN protein was detected by FASN antibody (GTX109833) diluted at 1 : 1000. EasyBlot anti-rabbit IgG (HRP) (GTX221666-01) was used as a secondary reagent.

4 / 13
Anti-Fatty Acid Synthase antibody [N1], N-term used in Western Blot (WB). GTX109833
GTX109833 WB Image

Non-transfected (–) and transfected (+) 293T whole cell extracts (30 μg) were separated by 5% SDS-PAGE, and the membrane was blotted with Fatty Acid Synthase antibody [N1], N-term (GTX109833) diluted at 1:2000. The HRP-conjugated anti-rabbit IgG antibody (GTX213110-01) was used to detect the primary antibody.

5 / 13
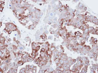
Anti-Fatty Acid Synthase antibody [N1], N-term used in IHC (Paraffin sections) (IHC-P). GTX109833
GTX109833 IHC-P Image

Immunohistochemical analysis of paraffin-embedded human ovarian carainoma, using Fatty Acid Synthase(GTX109833) antibody at 1:500 dilution.
Antigen Retrieval: Trilogy™ (EDTA based, pH 8.0) buffer, 15min

6 / 13
Anti-Fatty Acid Synthase antibody [N1], N-term used in Immunocytochemistry/ Immunofluorescence (ICC/IF). GTX109833
GTX109833 ICC/IF Image

Fatty Acid Synthase antibody [N1], N-term detects Fatty Acid Synthase protein at cytoplasm by immunofluorescent analysis.
Sample: HeLa cells were fixed in 4% paraformaldehyde at RT for 15 min.
Green: Fatty Acid Synthase protein stained by Fatty Acid Synthase antibody [N1], N-term (GTX109833) diluted at 1:500.
Blue: Hoechst 33342 staining.

7 / 13
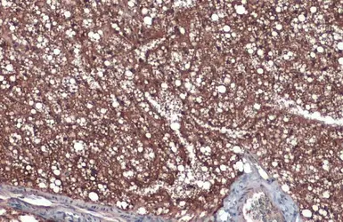
Anti-Fatty Acid Synthase antibody [N1], N-term used in IHC (Paraffin sections) (IHC-P). GTX109833
GTX109833 IHC-P Image

Fatty Acid Synthase antibody [N1], N-term detects Fatty Acid Synthase protein at cytoplasm by immunohistochemical analysis.
Sample: Paraffin-embedded mouse white adipocyte.
Fatty Acid Synthase stained by Fatty Acid Synthase antibody [N1], N-term (GTX109833) diluted at 1:500.
Antigen Retrieval: Citrate buffer, pH 6.0, 15 min

8 / 13
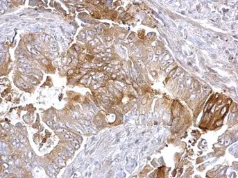
Anti-Fatty Acid Synthase antibody [N1], N-term used in IHC (Paraffin sections) (IHC-P). GTX109833
GTX109833 IHC-P Image

Fatty Acid Synthase antibody [N1], N-term detects Fatty Acid Synthase protein at cytoplasm on human colon carcinoma by immunohistochemical analysis.
Sample: Paraffin-embedded human colon carcinoma.
Fatty Acid Synthase antibody [N1], N-term (GTX109833) diluted at 1:500.

Antigen Retrieval: Trilogy™ (EDTA based, pH 8.0) buffer, 15min

9 / 13
Anti-Fatty Acid Synthase antibody [N1], N-term used in IHC (Paraffin sections) (IHC-P). GTX109833
GTX109833 IHC-P Image

Fatty Acid Synthase antibody [N1], N-term detects Fatty Acid Synthase protein at cytoplasm by immunohistochemical analysis.
Sample: Paraffin-embedded mouse brown adipocyte.
Fatty Acid Synthase stained by Fatty Acid Synthase antibody [N1], N-term (GTX109833) diluted at 1:500.
Antigen Retrieval: Citrate buffer, pH 6.0, 15 min

10 / 13
Anti-Fatty Acid Synthase antibody [N1], N-term used in Western Blot (WB). GTX109833
GTX109833 WB Image

Sample (30 μg of whole cell lysate)
A: Molt-4 (GTX27912)
7.5% SDS PAGE
GTX109833 diluted at 1:1000
The HRP-conjugated anti-rabbit IgG antibody (GTX213110-01) was used to detect the primary antibody.

11 / 13
Anti-Fatty Acid Synthase antibody [N1], N-term used in Western Blot (WB). GTX109833
GTX109833 WB Image

Various whole cell extracts (30 μg) were separated by 5% SDS-PAGE, and the membrane was blotted with Fatty Acid Synthase antibody [N1], N-term (GTX109833) diluted at 1:1000. The HRP-conjugated anti-rabbit IgG antibody (GTX213110-01) was used to detect the primary antibody.

12 / 13
Anti-Fatty Acid Synthase antibody [N1], N-term used in Western Blot (WB). GTX109833
GTX109833 WB Image

The data was published in the journal Biomolecules in 2019. PMID: 31614639

13 / 13
Anti-Fatty Acid Synthase antibody [N1], N-term used in Western Blot (WB). GTX109833
Anti-Fatty Acid Synthase antibody [N1], N-term used in Western Blot (WB). GTX109833
Anti-Fatty Acid Synthase antibody [N1], N-term used in IHC (Paraffin sections) (IHC-P). GTX109833
Anti-Fatty Acid Synthase antibody [N1], N-term used in Immunoprecipitation (IP). GTX109833
Anti-Fatty Acid Synthase antibody [N1], N-term used in Western Blot (WB). GTX109833
Anti-Fatty Acid Synthase antibody [N1], N-term used in IHC (Paraffin sections) (IHC-P). GTX109833
Anti-Fatty Acid Synthase antibody [N1], N-term used in Immunocytochemistry/ Immunofluorescence (ICC/IF). GTX109833
Anti-Fatty Acid Synthase antibody [N1], N-term used in IHC (Paraffin sections) (IHC-P). GTX109833
Anti-Fatty Acid Synthase antibody [N1], N-term used in IHC (Paraffin sections) (IHC-P). GTX109833
Anti-Fatty Acid Synthase antibody [N1], N-term used in IHC (Paraffin sections) (IHC-P). GTX109833
Anti-Fatty Acid Synthase antibody [N1], N-term used in Western Blot (WB). GTX109833
Anti-Fatty Acid Synthase antibody [N1], N-term used in Western Blot (WB). GTX109833
Anti-Fatty Acid Synthase antibody [N1], N-term used in Western Blot (WB). GTX109833
  • Host
    Rabbit
  • Clonality
    Polyclonal
  • Isotype
    IgG
  • Applications
    WB ICC/IF IHC-P IHC-Fr IP
  • Reactivity
    Human, Mouse, Rat
See all Fatty Acid Synthase products