Fibrillarin antibody

Cat. No. GTX113684
Cat. No.  GTX113684
Anti-Fibrillarin antibody used in Western Blot (WB). GTX113684
GTX113684 WB Image

A549 whole cell and nuclear extracts (30 μg) were separated by 12% SDS-PAGE, and the membrane was blotted with Fibrillarin antibody (GTX113684) diluted at 1:500. The HRP-conjugated anti-rabbit IgG antibody (GTX213110-01) was used to detect the primary antibody.

1 / 11
Anti-Fibrillarin antibody used in Immunocytochemistry/ Immunofluorescence (ICC/IF). GTX113684
GTX113684 ICC/IF Image

Fibrillarin antibody detects Fibrillarin protein at nucleus, nucleolus and cytoplasm by immunofluorescent analysis.
Sample: HeLa cells were fixed in ice-cold MeOH for 5 min.
Green: Fibrillarin stained by Fibrillarin antibody (GTX113684) diluted at 1:2000.
Red: alpha Tubulin, a cytoskeleton marker, stained by alpha Tubulin antibody [GT114] (GTX628802) diluted at 1:1000.
Blue: Fluoroshield with DAPI (GTX30920).

2 / 11
Anti-Fibrillarin antibody used in Western Blot (WB). GTX113684
GTX113684 WB Image

Fibrillarin antibody detects FBL protein by Western blot analysis.
A. 30 μg Neuro2A whole cell lysate/extract
12 % SDS-PAGE
Fibrillarin antibody (GTX113684) dilution: 1:1000

3 / 11
Anti-Fibrillarin antibody used in Western Blot (WB). GTX113684
GTX113684 WB Image

Sample (30 ug of whole cell lysate)
A: 293T
B: H1299
C: Molt-4 (GTX27912)
12% SDS PAGE
GTX113684 diluted at 1:1000

4 / 11
Anti-Fibrillarin antibody used in Western Blot (WB). GTX113684
GTX113684 WB Image

Fibrillarin antibody detects FBL protein by Western blot analysis.
A. 30 μg PC-12 whole cell lysate/extract
12 % SDS-PAGE
Fibrillarin antibody (GTX113684) dilution: 1:500

5 / 11
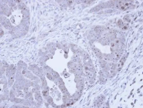
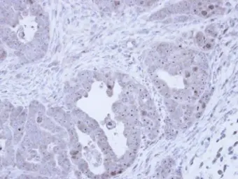
Anti-Fibrillarin antibody used in IHC (Paraffin sections) (IHC-P). GTX113684
GTX113684 IHC-P Image

Immunohistochemical analysis of paraffin-embedded NCIN87 Xenograft, using Fibrillarin (GTX113684) antibody at 1:100 dilution.
Antigen Retrieval: Citrate buffer, pH 6.0, 15 min

6 / 11
Anti-Fibrillarin antibody used in Western Blot (WB). GTX113684
GTX113684 WB Image

Fibrillarin antibody detects Fibrillarin protein by western blot analysis.
whole cell lysate (30 μg) and nuclear extract (30 μg) from SK-N-SH cells
10 % SDS-PAGE
Fibrillarin antibody (GTX113684) dilution: 1:500

7 / 11
Anti-Fibrillarin antibody used in Western Blot (WB). GTX113684
GTX113684 WB Image

Fibrillarin antibody detects Fibrillarin protein by western blot analysis.
whole cell lysate (30 μg) and nuclear extract (30 μg) from Jurkat cells
10 % SDS-PAGE
Fibrillarin antibody (GTX113684) dilution: 1:500

8 / 11
Anti-Fibrillarin antibody used in Western Blot (WB). GTX113684
GTX113684 WB Image

Fibrillarin antibody detects Fibrillarin protein by western blot analysis.
whole cell lysate (30 μg) and nuclear extract(30 μg) from A549 cells
10 % SDS-PAGE
Fibrillarin antibody (GTX113684) dilution: 1:500

9 / 11
Anti-Fibrillarin antibody used in Western Blot (WB). GTX113684
GTX113684 WB Image

Fibrillarin antibody detects Fibrillarin protein by western blot analysis.
whole cell lysate (30 μg) and nuclear extract (30 μg) from IMR32 cells
10 % SDS-PAGE
Fibrillarin antibody (GTX113684) dilution: 1:500

10 / 11
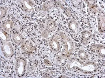
Anti-Fibrillarin antibody used in IHC (Paraffin sections) (IHC-P). GTX113684
GTX113684 IHC-P Image

Fibrillarin antibody detects Fibrillarin protein at nucleolus in mouse cervix by immunohistochemical analysis.
Sample: Paraffin-embedded mouse cervix.
Fibrillarin antibody (GTX113684) diluted at 1:500.

Antigen Retrieval: Citrate buffer, pH 6.0, 15 min

11 / 11
Anti-Fibrillarin antibody used in Western Blot (WB). GTX113684
Anti-Fibrillarin antibody used in Immunocytochemistry/ Immunofluorescence (ICC/IF). GTX113684
Anti-Fibrillarin antibody used in Western Blot (WB). GTX113684
Anti-Fibrillarin antibody used in Western Blot (WB). GTX113684
Anti-Fibrillarin antibody used in Western Blot (WB). GTX113684
Anti-Fibrillarin antibody used in IHC (Paraffin sections) (IHC-P). GTX113684
Anti-Fibrillarin antibody used in Western Blot (WB). GTX113684
Anti-Fibrillarin antibody used in Western Blot (WB). GTX113684
Anti-Fibrillarin antibody used in Western Blot (WB). GTX113684
Anti-Fibrillarin antibody used in Western Blot (WB). GTX113684
Anti-Fibrillarin antibody used in IHC (Paraffin sections) (IHC-P). GTX113684
  • Host
    Rabbit
  • Clonality
    Polyclonal
  • Isotype
    IgG
  • Applications
    WB ICC/IF IHC-P
  • Reactivity
    Human, Mouse, Rat
See all Fibrillarin products