Fibrinogen gamma antibody

Cat. No. GTX108640
Cat. No.  GTX108640
Anti-Fibrinogen gamma antibody used in Immunoprecipitation (IP). GTX108640
GTX108640 IP Image

Immunoprecipitation of Fibrinogen gamma protein from HepG2 whole cell extracts using 5 μg of Fibrinogen gamma antibody (GTX108640).
Western blot analysis was performed using Fibrinogen gamma antibody (GTX108640).
EasyBlot anti-Rabbit IgG (GTX221666-01) was used as a secondary reagent.

1 / 8
Anti-Fibrinogen gamma antibody used in Immunocytochemistry/ Immunofluorescence (ICC/IF). GTX108640
GTX108640 ICC/IF Image

Fibrinogen gamma antibody detects Fibrinogen gamma protein at cytoplasm by immunofluorescent analysis.
Sample: HeLa cells were fixed in 4% paraformaldehyde at RT for 15 min.
Green: Fibrinogen gamma protein stained by Fibrinogen gamma antibody (GTX108640) diluted at 1:500.
Red: alpha Tubulin, a cytoskeleton marker, stained by alpha Tubulin antibody [B-5-1-2] (GTX11304) diluted at 1:10000.
Blue: Hoechst 33342 staining.

2 / 8
Anti-Fibrinogen gamma antibody used in Western Blot (WB). GTX108640
GTX108640 WB Image

Mouse tissue extract (50 μg) was separated by 10% SDS-PAGE, and the membrane was blotted with Fibrinogen gamma antibody (GTX108640) diluted at 1:1000. The HRP-conjugated anti-rabbit IgG antibody (GTX213110-01) was used to detect the primary antibody.

3 / 8
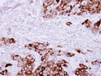
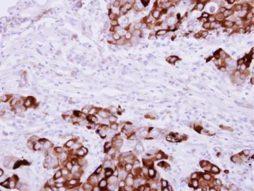
Anti-Fibrinogen gamma antibody used in IHC (Paraffin sections) (IHC-P). GTX108640
GTX108640 IHC-P Image

Fibrinogen gamma antibody detects FGG protein at cytosol on human breast cancer by immunohistochemical analysis.
Sample: Paraffin-embedded breast cancer.
Fibrinogen gamma antibody (GTX108640) dilution: 1:250.

Antigen Retrieval: Citrate buffer, pH 6.0, 15 min

4 / 8
Anti-Fibrinogen gamma antibody used in Western Blot (WB). GTX108640
GTX108640 WB Image

Human plasma and HepG2 conditioned medium (30 μg) were separated by 10% SDS-PAGE, and the membrane was blotted with Fibrinogen gamma antibody (GTX108640) diluted at 1:10000. The HRP-conjugated anti-rabbit IgG antibody (GTX213110-01) was used to detect the primary antibody.

5 / 8
Anti-Fibrinogen gamma antibody used in Western Blot (WB). GTX108640
GTX108640 WB Image

Mouse plasma and rat plasma (50 μg) were separated by 10% SDS-PAGE, and the membrane was blotted with Fibrinogen gamma antibody (GTX108640) diluted at 1:20000. The HRP-conjugated anti-rabbit IgG antibody (GTX213110-01) was used to detect the primary antibody.

6 / 8
Anti-Fibrinogen gamma antibody used in Western Blot (WB). GTX108640
GTX108640 WB Image

Rat tissue extract (50 μg) was separated by 10% SDS-PAGE, and the membrane was blotted with Fibrinogen gamma antibody (GTX108640) diluted at 1:500. The HRP-conjugated anti-rabbit IgG antibody (GTX213110-01) was used to detect the primary antibody.

7 / 8
Anti-Fibrinogen gamma antibody used in Immunocytochemistry/ Immunofluorescence (ICC/IF). GTX108640
GTX108640 ICC/IF Image

Fibrinogen gamma antibody detects Fibrinogen gamma protein at cytoplasm by immunofluorescent analysis.
Sample: HepG2 cells were fixed in 4% paraformaldehyde at RT for 15 min.
Green: Fibrinogen gamma stained by Fibrinogen gamma antibody (GTX108640) diluted at 1:500.
Blue: Fluoroshield with DAPI (GTX30920).
Scale bar= 10μm.

8 / 8
Anti-Fibrinogen gamma antibody used in Immunoprecipitation (IP). GTX108640
Anti-Fibrinogen gamma antibody used in Immunocytochemistry/ Immunofluorescence (ICC/IF). GTX108640
Anti-Fibrinogen gamma antibody used in Western Blot (WB). GTX108640
Anti-Fibrinogen gamma antibody used in IHC (Paraffin sections) (IHC-P). GTX108640
Anti-Fibrinogen gamma antibody used in Western Blot (WB). GTX108640
Anti-Fibrinogen gamma antibody used in Western Blot (WB). GTX108640
Anti-Fibrinogen gamma antibody used in Western Blot (WB). GTX108640
Anti-Fibrinogen gamma antibody used in Immunocytochemistry/ Immunofluorescence (ICC/IF). GTX108640
  • Host
    Rabbit
  • Clonality
    Polyclonal
  • Isotype
    IgG
  • Applications
    WB ICC/IF IHC-P IP
  • Reactivity
    Human, Mouse, Rat, Bovine
See all Fibrinogen gamma products