Flotillin 2 antibody [C3], C-term

Cat. No. GTX100279
Cat. No.  GTX100279
Anti-Flotillin 2 antibody [C3], C-term used in Western Blot (WB). GTX100279
GTX100279 WB Image

Flotillin 2 antibody [C3], C-term detects Flotillin 2 protein by Western blot analysis. Whole cell extracts (30 μg) was separated by 10 % SDS-PAGE, and blotted with Flotillin 2 antibody [C3], C-term (GTX100279) diluted by 1:1000

1 / 7
Anti-Flotillin 2 antibody [C3], C-term used in Western Blot (WB). GTX100279
GTX100279 WB Image

Flotillin 2 antibody [C3], C-term detects Flotillin 2 protein by Western blot analysis. Mouse tissue extracts (50 μg) was separated by 10 % SDS-PAGE, and blotted with Flotillin 2 antibody [C3], C-term (GTX100279) diluted by 1:1000

2 / 7
Anti-Flotillin 2 antibody [C3], C-term used in Immunoprecipitation (IP). GTX100279
GTX100279 IP Image

Immunoprecipitation of Flotillin 2 protein from HeLa whole cell extracts using 5 μg of Flotillin 2 antibody [C3], C-term (GTX100279).
Western blot analysis was performed using Flotillin 2 antibody [C3], C-term (GTX100279).
EasyBlot anti-Rabbit IgG (GTX221666-01) was used as a secondary reagent.

3 / 7
Anti-Flotillin 2 antibody [C3], C-term used in Western Blot (WB). GTX100279
GTX100279 WB Image

Flotillin 2 antibody [C3], C-term detects FLOT2 protein by western blot analysis.
A. 50 μg rat brain lysate/extract
10% SDS-PAGE
Flotillin 2 antibody [C3], C-term (GTX100279) dilution: 1:1000
The HRP-conjugated anti-rabbit IgG antibody (GTX213110-01) was used to detect the primary antibody.

4 / 7
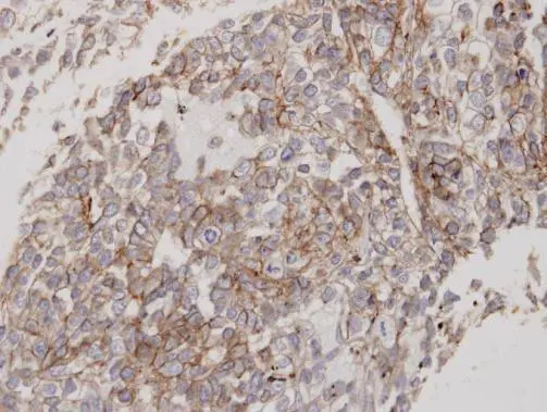
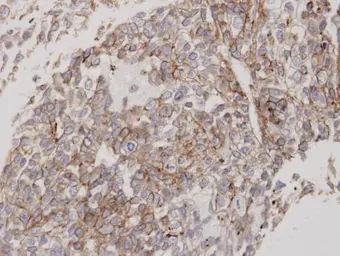
Anti-Flotillin 2 antibody [C3], C-term used in IHC (Paraffin sections) (IHC-P). GTX100279
GTX100279 IHC-P Image

Immunohistochemical analysis of paraffin-embedded human lung cancer, using Flotillin-2 (GTX100279) antibody at 1:100 dilution.
Antigen Retrieval: Trilogy™ (EDTA based, pH 8.0) buffer, 15min

5 / 7
Anti-Flotillin 2 antibody [C3], C-term used in Immunocytochemistry/ Immunofluorescence (ICC/IF). GTX100279
GTX100279 ICC/IF Image

Immunofluorescence analysis of paraformaldehyde-fixed HeLaS3, using Flotillin-2 (GTX100279) antibody at 1:100 dilution.

6 / 7
Anti-Flotillin 2 antibody [C3], C-term used in Western Blot (WB). GTX100279
GTX100279 WB Image

293T whole cell extracts and 293T exosome extract (2.6 μg) were separated by 10% SDS-PAGE, and the membrane was blotted with Flotillin 2 antibody [C3], C-term (GTX100279) diluted at 1:250. The HRP-conjugated anti-rabbit IgG antibody (GTX213110-01) was used to detect the primary antibody, and the signal was developed with Trident ECL plus-Enhanced.

7 / 7
Anti-Flotillin 2 antibody [C3], C-term used in Western Blot (WB). GTX100279
Anti-Flotillin 2 antibody [C3], C-term used in Western Blot (WB). GTX100279
Anti-Flotillin 2 antibody [C3], C-term used in Immunoprecipitation (IP). GTX100279
Anti-Flotillin 2 antibody [C3], C-term used in Western Blot (WB). GTX100279
Anti-Flotillin 2 antibody [C3], C-term used in IHC (Paraffin sections) (IHC-P). GTX100279
Anti-Flotillin 2 antibody [C3], C-term used in Immunocytochemistry/ Immunofluorescence (ICC/IF). GTX100279
Anti-Flotillin 2 antibody [C3], C-term used in Western Blot (WB). GTX100279
  • Host
    Rabbit
  • Clonality
    Polyclonal
  • Isotype
    IgG
  • Applications
    WB ICC/IF IHC-P IP
  • Reactivity
    Human, Mouse, Rat
See all Flotillin 2 products