Fumarate hydratase antibody [N2C2], Internal

Cat. No. GTX110128
Cat. No.  GTX110128
Anti-Fumarate hydratase antibody [N2C2], Internal used in Western Blot (WB). GTX110128
GTX110128 WB Image

Non-transfected (–) and transfected (+) 293T whole cell extracts (30 μg) were separated by 10% SDS-PAGE, and the membrane was blotted with Fumarate hydratase antibody [N2C2], Internal (GTX110128) diluted at 1:5000. The HRP-conjugated anti-rabbit IgG antibody (GTX213110-01) was used to detect the primary antibody.

1 / 6
Anti-Fumarate hydratase antibody [N2C2], Internal used in Western Blot (WB). GTX110128
GTX110128 WB Image

Sample (30 μg of whole cell lysate)
A: 293T
B: A431 (GTX27909)
10% SDS PAGE
GTX110128 diluted at 1:5000
The HRP-conjugated anti-rabbit IgG antibody (GTX213110-01) was used to detect the primary antibody.

2 / 6
Anti-Fumarate hydratase antibody [N2C2], Internal used in Western Blot (WB). GTX110128
GTX110128 WB Image

Fumarate hydratase antibody [N2C2], Internal detects Fumarate hydratase protein by western blot analysis.
A.50 μg rat liver lysate/extract
10% SDS-PAGE
Fumarate hydratase antibody [N2C2], Internal (GTX110128) dilution: 1:5000
The HRP-conjugated anti-rabbit IgG antibody (GTX213110-01) was used to detect the primary antibody.

3 / 6
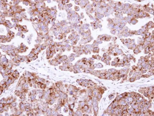
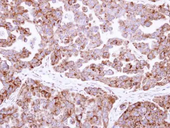
Anti-Fumarate hydratase antibody [N2C2], Internal used in IHC (Paraffin sections) (IHC-P). GTX110128
GTX110128 IHC-P Image

Immunohistochemical analysis of paraffin-embedded OVCAR3 xenograft, using fumarate hydratase (GTX110128) antibody at 1:500 dilution.
Antigen Retrieval: Trilogy™ (EDTA based, pH 8.0) buffer, 15min

4 / 6
Anti-Fumarate hydratase antibody [N2C2], Internal used in Western Blot (WB). GTX110128
GTX110128 WB Image

Fumarate hydratase antibody [N2C2], Internal detects FH protein by western blot analysis.
A. 50 μg mouse liver lysate/extract
10% SDS-PAGE
Fumarate hydratase antibody [N2C2], Internal (GTX110128) dilution: 1:1000
The HRP-conjugated anti-rabbit IgG antibody (GTX213110-01) was used to detect the primary antibody.

5 / 6
Anti-Fumarate hydratase antibody [N2C2], Internal used in Immunocytochemistry/ Immunofluorescence (ICC/IF). GTX110128
GTX110128 ICC/IF Image

Fumarate hydratase antibody [N2C2], Internal detects Fumarate hydratase protein at mitochondria by immunofluorescent analysis.
Sample: HeLa cells were fixed in ice-cold MeOH for 5 min.
Green: Fumarate hydratase protein stained by Fumarate hydratase antibody [N2C2], Internal (GTX110128) diluted at 1:500.
Blue: Hoechst 33342 staining.
Scale bar = 10 μm.

6 / 6
Anti-Fumarate hydratase antibody [N2C2], Internal used in Western Blot (WB). GTX110128
Anti-Fumarate hydratase antibody [N2C2], Internal used in Western Blot (WB). GTX110128
Anti-Fumarate hydratase antibody [N2C2], Internal used in Western Blot (WB). GTX110128
Anti-Fumarate hydratase antibody [N2C2], Internal used in IHC (Paraffin sections) (IHC-P). GTX110128
Anti-Fumarate hydratase antibody [N2C2], Internal used in Western Blot (WB). GTX110128
Anti-Fumarate hydratase antibody [N2C2], Internal used in Immunocytochemistry/ Immunofluorescence (ICC/IF). GTX110128
  • Host
    Rabbit
  • Clonality
    Polyclonal
  • Isotype
    IgG
  • Applications
    WB ICC/IF IHC-P
  • Reactivity
    Human, Mouse, Rat
See all Fumarate hydratase products