GM130 antibody

Cat. No. GTX130351
Cat. No.  GTX130351
Anti-GM130 antibody used in Western Blot (WB). GTX130351
GTX130351 WB Image

GM130 antibody detects GM130 protein by western blot analysis. Various whole cell extracts (30 μg) were separated by 7.5% SDS-PAGE, and the membrane was blotted with GM130 antibody (GTX130351) diluted by 1:1000.

1 / 3
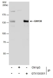
Anti-GM130 antibody used in Immunoprecipitation (IP). GTX130351
GTX130351 IP Image

Immunoprecipitation of GM130 protein from HeLa whole cell extracts using 5 μg of GM130 antibody (GTX130351).
Western blot analysis was performed using GM130 antibody (GTX130351).
EasyBlot anti-Rabbit IgG (GTX221666-01) was used as a secondary reagent.

2 / 3
Anti-GM130 antibody used in Immunocytochemistry/ Immunofluorescence (ICC/IF). GTX130351
GTX130351 ICC/IF Image

GM130 antibody detects GM130 protein at Golgi apparatus and endoplasmic reticulum by immunofluorescent analysis.
Sample: HeLa cells were fixed in 4% paraformaldehyde at RT for 15 min.
Green: GM130 protein stained by GM130 antibody (GTX130351) diluted at 1:200.
Blue: Hoechst 33342 staining.

3 / 3
Anti-GM130 antibody used in Western Blot (WB). GTX130351
Anti-GM130 antibody used in Immunoprecipitation (IP). GTX130351
Anti-GM130 antibody used in Immunocytochemistry/ Immunofluorescence (ICC/IF). GTX130351
  • Host
    Rabbit
  • Clonality
    Polyclonal
  • Isotype
    IgG
  • Applications
    WB ICC/IF IP
  • Reactivity
    Human
See all GM130 products