GOLPH2 antibody

Cat. No. GTX116154
Cat. No.  GTX116154
Anti-GOLPH2 antibody used in Western Blot (WB). GTX116154
GTX116154 WB Image

HeLa whole cell and membrane extracts (30 μg) were separated by 7.5% SDS-PAGE, and the membrane was blotted with GOLPH2 antibody (GTX116154) diluted at 1:5000. The HRP-conjugated anti-rabbit IgG antibody (GTX213110-01) was used to detect the primary antibody.

1 / 6
Anti-GOLPH2 antibody used in Immunocytochemistry/ Immunofluorescence (ICC/IF). GTX116154
GTX116154 ICC/IF Image

Confocal immunofluorescence analysis (Olympus FV10i) of methanol-fixed HeLa, using GOLPH2(GTX116154) antibody (Green) at 1:500 dilution. Alpha-tubulin filaments were labeled with GTX11304 (Red) at 1:2000.

2 / 6
Anti-GOLPH2 antibody used in Western Blot (WB). GTX116154
GTX116154 WB Image

Wild-type (WT) and GOLPH2 knockout (KO) 293T cell extracts (30 μg) were separated by 7.5% SDS-PAGE, and the membrane was blotted with GOLPH2 antibody (GTX116154) diluted at 1:1000. The HRP-conjugated anti-rabbit IgG antibody (GTX213110-01) was used to detect the primary antibody.

3 / 6
Anti-GOLPH2 antibody used in Immunocytochemistry/ Immunofluorescence (ICC/IF). GTX116154
GTX116154 ICC/IF Image

GOLPH2 antibody detects GOLPH2 protein at Golgi apparatus by immunofluorescent analysis.
Sample: HeLa cells were fixed in 4% paraformaldehyde at RT for 15 min.
Green: GOLPH2 stained by GOLPH2 antibody (GTX116154) diluted at 1:500.
Red: phalloidin, a cytoskeleton marker, diluted at 1:100.
Blue: Hoechst 33342 staining.
Scale bar= 10 μm.

4 / 6
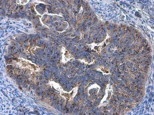
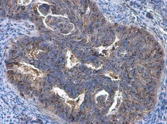
Anti-GOLPH2 antibody used in IHC (Paraffin sections) (IHC-P). GTX116154
GTX116154 IHC-P Image

GOLPH2 antibody detects GOLPH2 protein at Golgi apparatus by immunohistochemical analysis.
Sample: Paraffin-embedded human endometrial carcinoma.
GOLPH2 stained by GOLPH2 antibody (GTX116154) diluted at 1:10000.
Antigen Retrieval: Citrate buffer, pH 6.0, 15 min

5 / 6
Anti-GOLPH2 antibody used in Western Blot (WB). GTX116154
GTX116154 WB Image

Whole cell extract (30 μg) was separated by 10% SDS-PAGE, and the membrane was blotted with GOLPH2 antibody (GTX116154) diluted at 1:500. The HRP-conjugated anti-rabbit IgG antibody (GTX213110-01) was used to detect the primary antibody.

6 / 6
Anti-GOLPH2 antibody used in Western Blot (WB). GTX116154
Anti-GOLPH2 antibody used in Immunocytochemistry/ Immunofluorescence (ICC/IF). GTX116154
Anti-GOLPH2 antibody used in Western Blot (WB). GTX116154
Anti-GOLPH2 antibody used in Immunocytochemistry/ Immunofluorescence (ICC/IF). GTX116154
Anti-GOLPH2 antibody used in IHC (Paraffin sections) (IHC-P). GTX116154
Anti-GOLPH2 antibody used in Western Blot (WB). GTX116154
  • Host
    Rabbit
  • Clonality
    Polyclonal
  • Isotype
    IgG
  • Applications
    WB ICC/IF IHC-P
  • Reactivity
    Human
See all GOLPH2 products