GPI antibody

Cat. No. GTX113203
Cat. No.  GTX113203
Anti-GPI antibody used in Western Blot (WB). GTX113203
GTX113203 WB Image

Wild-type (WT) and GPI knockout (KO) 293T cell extracts (30 μg) were separated by 7.5% SDS-PAGE, and the membrane was blotted with GPI antibody (GTX113203) diluted at 1:2000. The HRP-conjugated anti-rabbit IgG antibody (GTX213110-01) was used to detect the primary antibody, and the signal was developed with Trident ECL plus-Enhanced.

1 / 9
Anti-GPI antibody used in Western Blot (WB). GTX113203
GTX113203 WB Image

Various whole cell extracts (30 μg) were separated by 7.5% SDS-PAGE, and the membrane was blotted with GPI antibody (GTX113203) diluted at 1:2000. The HRP-conjugated anti-rabbit IgG antibody (GTX213110-01) was used to detect the primary antibody, and the signal was developed with Trident ECL plus-Enhanced.

2 / 9
Anti-GPI antibody used in Immunocytochemistry/ Immunofluorescence (ICC/IF). GTX113203
GTX113203 ICC/IF Image

GPI antibody detects GPI protein at cytoplasm by immunofluorescent analysis.
Sample: HepG2 cells were fixed in ice-cold MeOH for 5 min.
Green: GPI protein stained by GPI antibody (GTX113203) diluted at 1:500.
Blue: Hoechst 33342 staining.

3 / 9
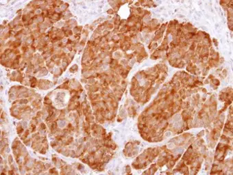
Anti-GPI antibody used in IHC (Paraffin sections) (IHC-P). GTX113203
GTX113203 IHC-P Image

Immunohistochemical analysis of paraffin-embedded NCI-N87 xenograft, using GPI(GTX113203) antibody at 1:500 dilution.
Antigen Retrieval: Trilogy™ (EDTA based, pH 8.0) buffer, 15min

4 / 9
Anti-GPI antibody used in Western Blot (WB). GTX113203
GTX113203 WB Image

Sample (30 ug of whole cell lysate)
A: H1299
B: Raji
7.5% SDS PAGE
GTX113203 diluted at 1:10000

5 / 9
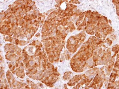
Anti-GPI antibody used in IHC (Paraffin sections) (IHC-P). GTX113203
GTX113203 IHC-P Image

Immunohistochemical analysis of paraffin-embedded zebrafish tissue, using GPI antibody (GTX113203) at 1:300 dilution.

6 / 9
Anti-GPI antibody used in IHC (Frozen sections) (IHC-Fr). GTX113203
GTX113203 IHC-Fr Image

Immunohistochemical analysis of frozen sections of zebrafish retina, using GPI antibody (GTX113203) at 1:2000 dilution.

7 / 9
Anti-GPI antibody used in Western Blot (WB). GTX113203
GTX113203 WB Image

Sample (30 μg of whole cell lysate)
A: zebrafish eye
7.5% SDS PAGE
GTX113203 diluted at 1:1000

8 / 9
Anti-GPI antibody used in Western Blot (WB). GTX113203
GTX113203 WB Image

The data was published in the journal Viruses in 2018. PMID: 29518929

9 / 9
Anti-GPI antibody used in Western Blot (WB). GTX113203
Anti-GPI antibody used in Western Blot (WB). GTX113203
Anti-GPI antibody used in Immunocytochemistry/ Immunofluorescence (ICC/IF). GTX113203
Anti-GPI antibody used in IHC (Paraffin sections) (IHC-P). GTX113203
Anti-GPI antibody used in Western Blot (WB). GTX113203
Anti-GPI antibody used in IHC (Paraffin sections) (IHC-P). GTX113203
Anti-GPI antibody used in IHC (Frozen sections) (IHC-Fr). GTX113203
Anti-GPI antibody used in Western Blot (WB). GTX113203
Anti-GPI antibody used in Western Blot (WB). GTX113203
  • Host
    Rabbit
  • Clonality
    Polyclonal
  • Isotype
    IgG
  • Applications
    WB ICC/IF IHC-P IHC-Fr
  • Reactivity
    Human, Zebrafish
See all GPI products