Gli1 antibody [HL247]

Cat. No. GTX635619
Cat. No.  GTX635619
Anti-Gli1 antibody [HL247] used in Western Blot (WB). GTX635619
GTX635619 WB Image

Non-transfected (–) and transfected (+) RMS13 whole cell extracts (30 μg) were separated by 5% SDS-PAGE, and the membrane was blotted with Gli1 antibody [HL247] (GTX635619) diluted at 1:1000. The HRP-conjugated anti-rabbit IgG antibody (GTX213110-01) was used to detect the primary antibody.

1 / 8
Anti-Gli1 antibody [HL247] used in Western Blot (WB). GTX635619
GTX635619 WB Image

Whole cell extract (30 μg) was separated by 5% SDS-PAGE, and the membrane was blotted with Gli1 antibody [HL27] (GTX635619) diluted at 1:1000. The HRP-conjugated anti-rabbit IgG antibody (GTX213110-01) was used to detect the primary antibody.

2 / 8
Anti-Gli1 antibody [HL247] used in Immunoprecipitation (IP). GTX635619
GTX635619 IP Image

Immunoprecipitation of Gli1 protein from RMS 13 whole cell extract using 5 μg of Gli1 antibody [HL247] (GTX635619).
Western blot analysis was performed using Gli1 antibody [HL247] (GTX635619).
EasyBlot HRP-conjugated anti rabbit IgG antibody (GTX221666-01).

3 / 8
Anti-Gli1 antibody [HL247] used in Western Blot (WB). GTX635619
GTX635619 WB Image

RMS 13 whole cell and nuclear extracts (30 μg) were separated by 5% SDS-PAGE, and the membrane was blotted with Gli1 antibody [HL247] (GTX635619) diluted at 1:1000. The HRP-conjugated anti-rabbit IgG antibody (GTX213110-01) was used to detect the primary antibody.

4 / 8
Anti-Gli1 antibody [HL247] used in Immunocytochemistry/ Immunofluorescence (ICC/IF). GTX635619
GTX635619 ICC/IF Image

Gli1 antibody [HL247] detects Gli1 protein by immunofluorescent analysis.
Sample: Mock and transfected 293T cells were fixed in 4% paraformaldehyde at RT for 15 min.
Green: Gli1 stained by Gli1 antibody [HL247] (GTX635619) diluted at 1:500.
Blue: Fluoroshield with DAPI (GTX30920).

5 / 8
Anti-Gli1 antibody [HL247] used in Western Blot (WB). GTX635619
GTX635619 WB Image

Non-transfected (–) and transfected (+) 293T whole cell extracts (30 μg) were separated by 5% SDS-PAGE, and the membrane was blotted with Gli1 antibody [HL247] (GTX635619) diluted at 1:1000000. The HRP-conjugated anti-rabbit IgG antibody (GTX213110-01) was used to detect the primary antibody.

6 / 8
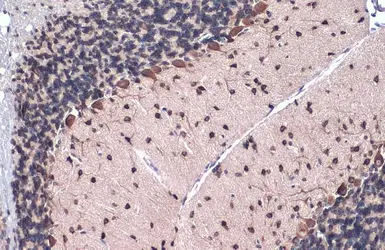
Anti-Gli1 antibody [HL247] used in IHC (Paraffin sections) (IHC-P). GTX635619
GTX635619 IHC-P Image

Gli1 antibody [HL247] detects Gli1 protein at cytoplasm by immunohistochemical analysis.
Sample: Paraffin-embedded mouse cerebellum.
Gli1 stained by Gli1 antibody [HL247] (GTX635619) diluted at 1:50.
Antigen Retrieval: Citrate buffer, pH 6.0, 15 min

7 / 8
Anti-Gli1 antibody [HL247] used in IHC (Paraffin sections) (IHC-P). GTX635619
GTX635619 IHC-P Image

Gli1 antibody [HL27] detects Gli1 protein by immunohistochemical analysis.
Sample: Paraffin-embedded rat tissues.
Gli1 stained by Gli1 antibody [HL27] (GTX635619) diluted at 1:100.
Antigen Retrieval: Citrate buffer, pH 6.0, 15 min

8 / 8
Anti-Gli1 antibody [HL247] used in Western Blot (WB). GTX635619
Anti-Gli1 antibody [HL247] used in Western Blot (WB). GTX635619
Anti-Gli1 antibody [HL247] used in Immunoprecipitation (IP). GTX635619
Anti-Gli1 antibody [HL247] used in Western Blot (WB). GTX635619
Anti-Gli1 antibody [HL247] used in Immunocytochemistry/ Immunofluorescence (ICC/IF). GTX635619
Anti-Gli1 antibody [HL247] used in Western Blot (WB). GTX635619
Anti-Gli1 antibody [HL247] used in IHC (Paraffin sections) (IHC-P). GTX635619
Anti-Gli1 antibody [HL247] used in IHC (Paraffin sections) (IHC-P). GTX635619
  • Host
    Rabbit
  • Clonality
    Monoclonal
  • Clone Name
    HL247
  • Isotype
    IgG
  • Applications
    WB ICC/IF IHC-P IP
  • Reactivity
    Human, Mouse, Rat
Summary
Gli1 antibody detects Gli1 protein, a zinc-finger protein with a predicted molecular weight of 119 kDa. Gli1 is a transcription factor that serves as an effector of Sonic hedgehog signaling in mediating cell fate during embryonic development. In addition, Gli1 has been shown to control many basic cell functions including the cell cycle, growth, and cell death. Although Gli1 was originally isolated from a glioma tumor, its upregulation is found in many other tumor types.
See all Gli1 products