Glycogen synthase 1 antibody

Cat. No. GTX113453
Cat. No.  GTX113453
Anti-Glycogen synthase 1 antibody used in Western Blot (WB). GTX113453
GTX113453 WB Image

Glycogen synthase 1 antibody detects Glycogen synthase 1 protein by western blot analysis. Whole cell extracts (30 μg) was separated by 7.5 % SDS-PAGE, and blotted with Glycogen synthase 1 antibody (GTX113453) diluted by 1:500

1 / 3
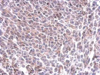
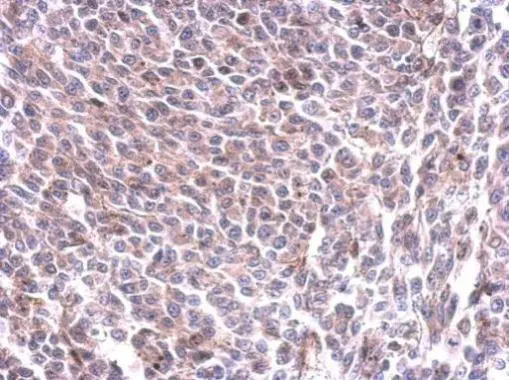
Anti-Glycogen synthase 1 antibody used in IHC (Paraffin sections) (IHC-P). GTX113453
GTX113453 IHC-P Image

Glycogen synthase 1 antibody detects GYS1 protein at cytosol on BT483 xenograft by immunohistochemical analysis.
Sample: Paraffin-embedded BT483 xenograft.
Glycogen synthase 1 antibody (GTX113453) dilution: 1:200.

Antigen Retrieval: Trilogy™ (EDTA based, pH 8.0) buffer, 15min

2 / 3
Anti-Glycogen synthase 1 antibody used in Western Blot (WB). GTX113453
GTX113453 WB Image

Glycogen synthase 1 antibody detects Glycogen synthase 1 protein by western blot analysis. Rat tissue extracts (30 μg) was separated by 7.5 % SDS-PAGE, and blotted with Glycogen synthase 1 antibody (GTX113453) diluted by 1:500

3 / 3
Anti-Glycogen synthase 1 antibody used in Western Blot (WB). GTX113453
Anti-Glycogen synthase 1 antibody used in IHC (Paraffin sections) (IHC-P). GTX113453
Anti-Glycogen synthase 1 antibody used in Western Blot (WB). GTX113453
  • Host
    Rabbit
  • Clonality
    Polyclonal
  • Isotype
    IgG
  • Applications
    WB IHC-P
  • Reactivity
    Human, Rat
See all Glycogen synthase 1 products