Glypican 1 antibody [N3C3]

Cat. No. GTX104557
Cat. No.  GTX104557
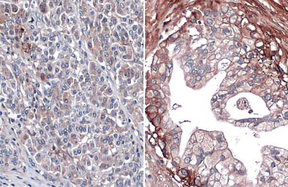
Anti-Glypican 1 antibody [N3C3] used in IHC (Paraffin sections) (IHC-P). GTX104557
GTX104557 IHC-P Image

Glypican 1 antibody [N3C3] detects Glypican 1 protein at cell membrane by immunohistochemical analysis.
Sample: Paraffin-embedded human normal pancreas (left) and pancreatic cancer (right).
Glypican 1 stained by Glypican 1 antibody [N3C3] (GTX104557) diluted at 1:500.
Antigen Retrieval: Citrate buffer, pH 6.0, 15 min

1 / 19
Anti-Glypican 1 antibody [N3C3] used in Western Blot (WB). GTX104557
GTX104557 WB Image

Untreated (–) and treated (+) A431 whole cell extracts (30 μg) were separated by 7.5% SDS-PAGE, and the membrane was blotted with Glypican 1 antibody [N3C3] (GTX104557) diluted at 1:3000. The HRP-conjugated anti-rabbit IgG antibody (GTX213110-01) was used to detect the primary antibody.

2 / 19
Anti-Glypican 1 antibody [N3C3] used in Western Blot (WB). GTX104557
GTX104557 WB Image

Various whole cell extracts (30 μg) were separated by 7.5% SDS-PAGE, and the membranes were blotted with Glypican 1 antibody [N3C3] (GTX104557) diluted at 1:500 and competitor's antibody (sc-365000) diluted at 1:500. The HRP-conjugated anti-rabbit IgG antibody (GTX213110-01) was used to detect the primary antibody.

3 / 19
Anti-Glypican 1 antibody [N3C3] used in Western Blot (WB). GTX104557
GTX104557 WB Image

A431 whole cell extracts (30 μg) was separated by 7.5% SDS-PAGE, and the membrane was blotted with Glypican 1 antibody [N3C3] (GTX104557) diluted at 1:1500. The HRP-conjugated anti-rabbit IgG antibody (GTX213110-01) was used to detect the primary antibody.

4 / 19
Anti-Glypican 1 antibody [N3C3] used in Western Blot (WB). GTX104557
GTX104557 WB Image

Untreated (–) and treated (+) A431 whole cell extracts (30 μg) were separated by 7.5% SDS-PAGE, and the membrane was blotted with Glypican 1 antibody [N3C3] (GTX104557) diluted at 1:500. The HRP-conjugated anti-rabbit IgG antibody (GTX213110-01) was used to detect the primary antibody.

5 / 19
Anti-Glypican 1 antibody [N3C3] used in Western Blot (WB). GTX104557
GTX104557 WB Image

Non-transfected (–) and transfected (+) MCF-7 whole cell extracts (50 μg) were separated by 7.5% SDS-PAGE, and the membrane was blotted with Glypican 1 antibody [N3C3] (GTX104557) diluted at 1:1500. The HRP-conjugated anti-rabbit IgG antibody (GTX213110-01) was used to detect the primary antibody.

6 / 19
Anti-Glypican 1 antibody [N3C3] used in Western Blot (WB). GTX104557
GTX104557 WB Image

Untreated (–) and treated (+) MDA-MB-231 whole cell extracts (30 μg) were separated by 7.5% SDS-PAGE, and the membrane was blotted with Glypican 1 antibody [N3C3] (GTX104557) diluted at 1:1500. The HRP-conjugated anti-rabbit IgG antibody (GTX213110-01) was used to detect the primary antibody.

7 / 19
Anti-Glypican 1 antibody [N3C3] used in Immunocytochemistry/ Immunofluorescence (ICC/IF). GTX104557
GTX104557 ICC/IF Image

Glypican 1 antibody [N3C3] detects Glypican 1 protein at cell membrane and cytoplasm by immunofluorescent analysis.
Sample: MCF-7 cells were fixed in ice-cold MeOH for 5 min.
Green: Glypican 1 stained by Glypican 1 antibody [N3C3] (GTX104557) diluted at 1:500.
Blue: Hoechst 33342 staining.
Scale bar= 10 μm.

8 / 19
Anti-Glypican 1 antibody [N3C3] used in IHC (Paraffin sections) (IHC-P). GTX104557
GTX104557 IHC-P Image

Glypican 1 antibody [N3C3] detects Glypican 1 protein at cell membrane and cytoplasm by immunohistochemical analysis.
Sample: Paraffin-embedded human pancreatic cancer.
Glypican 1 stained by Glypican 1 antibody [N3C3] (GTX104557) diluted at 1:1000.
Antigen Retrieval: Citrate buffer, pH 6.0, 15 min

9 / 19
Anti-Glypican 1 antibody [N3C3] used in Western Blot (WB). GTX104557
GTX104557 WB Image

Mouse tissue extracts (50 μg) were separated by 7.5% SDS-PAGE, and the membrane was blotted with Glypican 1 antibody [N3C3] (GTX104557) diluted at 1:1500. The HRP-conjugated anti-rabbit IgG antibody (GTX213110-01) was used to detect the primary antibody.

10 / 19
Anti-Glypican 1 antibody [N3C3] used in Western Blot (WB). GTX104557
GTX104557 WB Image

U87-MG whole cell and membrane extracts (30 μg) were separated by 7.5% SDS-PAGE, and the membrane was blotted with Glypican 1 antibody [N3C3] (GTX104557) diluted at 1:1500. The HRP-conjugated anti-rabbit IgG antibody (GTX213110-01) was used to detect the primary antibody.

11 / 19
Anti-Glypican 1 antibody [N3C3] used in ELISA (ELISA). GTX104557
GTX104557 ELISA Image

An ELISA plate is coated with MCF-7 and A431 cells. The coated cells are detected with Glypican 1 antibody (GTX104557) at concentration ranged from 7.5 to 240 ng/mL.

12 / 19
Anti-Glypican 1 antibody [N3C3] used in Immunoprecipitation (IP). GTX104557
GTX104557 IP Image

Immunoprecipitation of Glypican 1 protein from MCF-7 whole cell extracts using 5 μg of Glypican 1 antibody [N3C3] (GTX104557).
Western blot analysis was performed using Glypican 1 antibody [N3C3] (GTX104557).
EasyBlot anti-Rabbit IgG (GTX221666-01) was used as a secondary reagent.

13 / 19
Anti-Glypican 1 antibody [N3C3] used in Flow cytometry (FCM). GTX104557
GTX104557 FCM Image

Glypican 1 antibody [N3C3] (GTX104557) detects Glypican 1 protein by flow cytometry analysis.
Sample: A431 cell.
Black: Unlabelled sample was used as a control.
Red: Glypican 1 antibody [N3C3] (GTX104557) dilution: 1:100.
Acquisition of 20,000 events were collected for FACS analysis.

14 / 19
Anti-Glypican 1 antibody [N3C3] used in Western Blot (WB). GTX104557
GTX104557 WB Image

U87-MG whole cell extract and conditioned medium (30 μg) were separated by 7.5% SDS-PAGE, and the membrane was blotted with Glypican 1 antibody [N3C3] (GTX104557) diluted at 1:1500. The HRP-conjugated anti-rabbit IgG antibody (GTX213110-01) was used to detect the primary antibody.

15 / 19
Anti-Glypican 1 antibody [N3C3] used in Western Blot and Immunoprecipitation (WB IP). GTX104557
GTX104557 WB IP Image

The data was published in the journal Nat Commun in 2017. PMID: 28102194

16 / 19
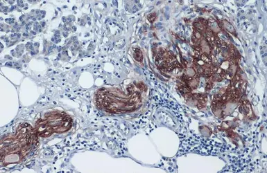
Anti-Glypican 1 antibody [N3C3] used in IHC (Paraffin sections) (IHC-P). GTX104557
GTX104557 IHC-P Image

The data was published in the journal Nat Commun in 2017. PMID: 28102194

17 / 19
Anti-Glypican 1 antibody [N3C3] used in IHC (Paraffin sections) (IHC-P). GTX104557
GTX104557 IHC-P Image

The data was published in the journal Nat Commun in 2017. PMID: 28102194

18 / 19
Anti-Glypican 1 antibody [N3C3] used in Western Blot and Immunoprecipitation (WB IP). GTX104557
GTX104557 WB IP Image

The data was published in the journal Nat Commun in 2017. PMID: 28102194

19 / 19
Anti-Glypican 1 antibody [N3C3] used in IHC (Paraffin sections) (IHC-P). GTX104557
Anti-Glypican 1 antibody [N3C3] used in Western Blot (WB). GTX104557
Anti-Glypican 1 antibody [N3C3] used in Western Blot (WB). GTX104557
Anti-Glypican 1 antibody [N3C3] used in Western Blot (WB). GTX104557
Anti-Glypican 1 antibody [N3C3] used in Western Blot (WB). GTX104557
Anti-Glypican 1 antibody [N3C3] used in Western Blot (WB). GTX104557
Anti-Glypican 1 antibody [N3C3] used in Western Blot (WB). GTX104557
Anti-Glypican 1 antibody [N3C3] used in Immunocytochemistry/ Immunofluorescence (ICC/IF). GTX104557
Anti-Glypican 1 antibody [N3C3] used in IHC (Paraffin sections) (IHC-P). GTX104557
Anti-Glypican 1 antibody [N3C3] used in Western Blot (WB). GTX104557
Anti-Glypican 1 antibody [N3C3] used in Western Blot (WB). GTX104557
Anti-Glypican 1 antibody [N3C3] used in ELISA (ELISA). GTX104557
Anti-Glypican 1 antibody [N3C3] used in Immunoprecipitation (IP). GTX104557
Anti-Glypican 1 antibody [N3C3] used in Flow cytometry (FCM). GTX104557
Anti-Glypican 1 antibody [N3C3] used in Western Blot (WB). GTX104557
Anti-Glypican 1 antibody [N3C3] used in Western Blot and Immunoprecipitation (WB IP). GTX104557
Anti-Glypican 1 antibody [N3C3] used in IHC (Paraffin sections) (IHC-P). GTX104557
Anti-Glypican 1 antibody [N3C3] used in IHC (Paraffin sections) (IHC-P). GTX104557
Anti-Glypican 1 antibody [N3C3] used in Western Blot and Immunoprecipitation (WB IP). GTX104557
  • Host
    Rabbit
  • Clonality
    Polyclonal
  • Isotype
    IgG
  • Applications
    WB ICC/IF IHC-P FCM IP ELISA
  • Reactivity
    Human, Mouse, Rat
See all Glypican 1 products