HDAC2 antibody

Cat. No. GTX109642
Cat. No.  GTX109642
Anti-HDAC2 antibody used in Western Blot (WB). GTX109642
GTX109642 WB Image

Various whole cell extracts (30 μg) were separated by 7.5% SDS-PAGE, and the membrane was blotted with HDAC2 antibody (GTX109642) diluted at 1:1000. The HRP-conjugated anti-rabbit IgG antibody (GTX213110-01) was used to detect the primary antibody.

1 / 11
Anti-HDAC2 antibody used in Immunocytochemistry/ Immunofluorescence (ICC/IF). GTX109642
GTX109642 ICC/IF Image

HDAC2 antibody detects HDAC2 protein at nucleus by immunofluorescent analysis.
Sample: HeLa cells were fixed in 4% paraformaldehyde at RT for 15 min.
Green: HDAC2 stained by HDAC2 antibody (GTX109642) diluted at 1:500.
Blue: Fluoroshield with DAPI (GTX30920).

2 / 11
Anti-HDAC2 antibody used in Immunoprecipitation (IP). GTX109642
GTX109642 IP Image

HDAC2 antibody immunoprecipitates HDAC2 protein in IP experiments. IP Sample: HeLa whole cell lysate/extract A. 40 μg HeLa whole cell lysate/extract B. Control with 2 μg of preimmune rabbit IgG C. Immunoprecipitation of HDAC2 protein by 2 μg of HDAC2 antibody (GTX109642) 7.5% SDS-PAGE The immunoprecipitated HDAC2 protein was detected by HDAC2 antibody (GTX109642) diluted at 1:1000. EasyBlot anti-rabbit IgG (GTX221666-01) was used as a secondary reagent.

3 / 11
Anti-HDAC2 antibody used in Immunocytochemistry/ Immunofluorescence (ICC/IF). GTX109642
GTX109642 ICC/IF Image

HDAC2 antibody detects HDAC2 protein at nucleus by immunofluorescent analysis.
Sample: HeLa cells were fixed in 4% paraformaldehyde at RT for 15 min.
Green: HDAC2 stained by HDAC2 antibody (GTX109642) diluted at 1:500.
Blue: Fluoroshield with DAPI (GTX30920).

4 / 11
Anti-HDAC2 antibody used in ChIP assay (ChIP assay). GTX109642
GTX109642 ChIP assay Image

HDAC2 antibody immunoprecipitates HDAC2 protein-DNA complex in ChIP experiments. ChIP Sample: 293T whole cell lysate/extract
A. 5 μg preimmune rabbit IgG
B. 5 μg of HDAC2 antibody (GTX109642)
The precipitated DNA was detected by PCR with primer set targeting to GAPDH promoter.

5 / 11
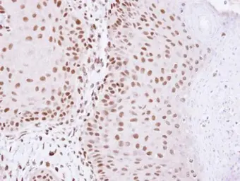
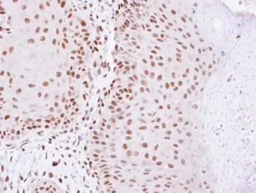
Anti-HDAC2 antibody used in IHC (Paraffin sections) (IHC-P). GTX109642
GTX109642 IHC-P Image

Immunohistochemical analysis of paraffin-embedded Cal27 Xenograft, using HDAC2(GTX109642) antibody at 1:100 dilution.
Antigen Retrieval: Trilogy™ (EDTA based, pH 8.0) buffer, 15min

6 / 11
Anti-HDAC2 antibody used in Western Blot (WB). GTX109642
GTX109642 WB Image

HDAC2 antibody detects HDAC2 protein by western blot analysis.
A. 30 μg C2C12 whole cell lysate/extract
7.5% SDS-PAGE
HDAC2 antibody (GTX109642) dilution: 1:1000
The HRP-conjugated anti-rabbit IgG antibody (GTX213110-01) was used to detect the primary antibody.

7 / 11
Anti-HDAC2 antibody used in Western Blot (WB). GTX109642
GTX109642 WB Image

HDAC2 antibody detects HDAC2 protein by western blot analysis.
A. 30 μg Rat2 whole cell lysate/extract
7.5% SDS-PAGE
HDAC2 antibody (GTX109642) dilution: 1:1000
The HRP-conjugated anti-rabbit IgG antibody (GTX213110-01) was used to detect the primary antibody.

8 / 11
Anti-HDAC2 antibody used in Western Blot (WB). GTX109642
GTX109642 WB Image

The data was published in the journal Front Pharmacol in 2016.PMID: 27065869

9 / 11
Anti-HDAC2 antibody used in Western Blot (WB). GTX109642
GTX109642 WB Image

The data was published in the journal Front Pharmacol in 2017.PMID: 29326587

10 / 11
Anti-HDAC2 antibody used in Western Blot (WB). GTX109642
GTX109642 WB Image

The data was published in the 2022 in Int J Mol Sci. PMID: 35163312

11 / 11
Anti-HDAC2 antibody used in Western Blot (WB). GTX109642
Anti-HDAC2 antibody used in Immunocytochemistry/ Immunofluorescence (ICC/IF). GTX109642
Anti-HDAC2 antibody used in Immunoprecipitation (IP). GTX109642
Anti-HDAC2 antibody used in Immunocytochemistry/ Immunofluorescence (ICC/IF). GTX109642
Anti-HDAC2 antibody used in ChIP assay (ChIP assay). GTX109642
Anti-HDAC2 antibody used in IHC (Paraffin sections) (IHC-P). GTX109642
Anti-HDAC2 antibody used in Western Blot (WB). GTX109642
Anti-HDAC2 antibody used in Western Blot (WB). GTX109642
Anti-HDAC2 antibody used in Western Blot (WB). GTX109642
Anti-HDAC2 antibody used in Western Blot (WB). GTX109642
Anti-HDAC2 antibody used in Western Blot (WB). GTX109642
  • Host
    Rabbit
  • Clonality
    Polyclonal
  • Isotype
    IgG
  • Applications
    WB ICC/IF IHC-P IP ChIP assay
  • Reactivity
    Human, Mouse, Rat, Xenopus tropicalis
See all HDAC2 products