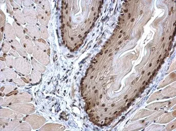
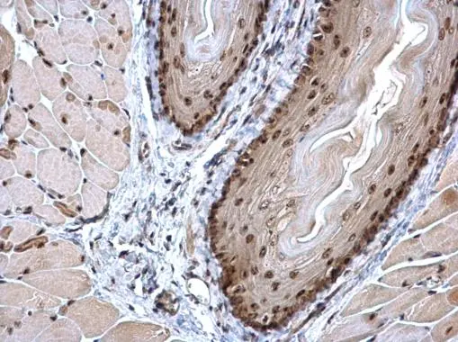
HIF1 beta antibody
Cat. No. GTX128795
Cat. No. GTX128795
-
HostRabbit
-
ClonalityPolyclonal
-
IsotypeIgG
-
ApplicationsWB ICC/IF IHC-P
-
ReactivityHuman, Mouse