HIF2 alpha antibody

Cat. No. GTX30114
Cat. No.  GTX30114
Anti-HIF2 alpha antibody used in Immunocytochemistry/ Immunofluorescence (ICC/IF). GTX30114
GTX30114 ICC/IF Image

HIF2 alpha antibody detects HIF2 alpha protein at nucleus by immunofluorescent analysis.
Sample: NIH-3T3 cells were fixed in 4% paraformaldehyde at RT for 15 min.
Green: HIF2 alpha stained by HIF2 alpha antibody (GTX30114) diluted at 1:200.
Blue: Hoechst 33342 staining.

1 / 11
Anti-HIF2 alpha antibody used in Immunocytochemistry/ Immunofluorescence (ICC/IF). GTX30114
GTX30114 ICC/IF Image

HIF2 alpha antibody detects HIF2 alpha protein at nucleus by immunofluorescent analysis.
Sample: HeLa cells were fixed in 4% paraformaldehyde at RT for 15 min.
Green: HIF2 alpha stained by HIF2 alpha antibody (GTX30114) diluted at 1:200.
Blue: Hoechst 33342 staining.

2 / 11
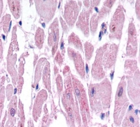
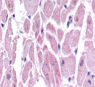
Anti-HIF2 alpha antibody used in Immunohistochemistry (IHC). GTX30114
GTX30114 IHC Image

Immunohistochemistry: HIF-2 alpha Antibody (GTX30114) - Hif-2 alpha immunoreactivity in human cardiac myocytes

3 / 11
Anti-HIF2 alpha antibody used in Western Blot (WB). GTX30114
GTX30114 WB Image

Western Blot: HIF-2 alpha Antibody (GTX30114) - Analysis on normoxic and hypoxic nuclear rat cell lysates.

4 / 11
Anti-HIF2 alpha antibody used in Western Blot (WB). GTX30114
GTX30114 WB Image

HIF2 alpha antibody detects HIF2 alpha protein by western blot analysis. Non-transfected (-) and HIF2A-transfected (+, including Myc-DDK-tag) 293T whole cell extracts (30 μg) were separated by 5% SDS-PAGE, and the membrane was blotted with HIF2 alpha antibody (GTX30114) diluted by 1:1000. The HRP-conjugated anti-rabbit IgG antibody (GTX213110-01) was used to detect the primary antibody.

5 / 11
Anti-HIF2 alpha antibody used in Immunocytochemistry/ Immunofluorescence (ICC/IF). GTX30114
GTX30114 ICC/IF Image

Immunocytochemistry/Immunofluorescence: HIF-2 alpha Antibody (GTX30114) - Detection of HIF-2 Alpha (Green) in RCC4 cells using GTX30114. Nuclei (Blue) are counterstained with Hoechst 33258.

6 / 11
Anti-HIF2 alpha antibody used in Western Blot (WB). GTX30114
GTX30114 WB Image

HIF2 alpha antibody detects HIF2 alpha protein by western blot analysis. Un-treated (-) and treated (+, 0.01 O2 treatment for 24h) HepG2 whole cell extracts (30 μg) were separated by 7.5% SDS-PAGE, and the membrane was blotted with HIF2 alpha antibody (GTX30114) diluted by 1:500. The HRP-conjugated anti-rabbit IgG antibody (GTX213110-01) was used to detect the primary antibody.

7 / 11
Anti-HIF2 alpha antibody used in Western Blot (WB). GTX30114
GTX30114 WB Image

Western Blot: HIF-2 alpha Antibody (GTX30114) - Analysis of HIF-2 alpha on Lane 1, Cobalt chloride treated COS7 nuclear extracts and Lane 2, Untreated COS7 nuclear extracts using GTX30114

8 / 11
Anti-HIF2 alpha antibody used in Western Blot (WB). GTX30114
GTX30114 WB Image

GTX30114 utilized in western blot with PC12 nuclear extracts, 1:1,000, 5 second exposure.

9 / 11
Anti-HIF2 alpha antibody used in Western Blot (WB). GTX30114
GTX30114 WB Image

The data was published in the journal Oncotarget in 2017. PMID: 29137374

10 / 11
Anti-HIF2 alpha antibody used in Western Blot (WB). GTX30114
GTX30114 WB Image

The data was published in the journal Cell Death Dis in 2014. PMID: 25010988

11 / 11
Anti-HIF2 alpha antibody used in Immunocytochemistry/ Immunofluorescence (ICC/IF). GTX30114
Anti-HIF2 alpha antibody used in Immunocytochemistry/ Immunofluorescence (ICC/IF). GTX30114
Anti-HIF2 alpha antibody used in Immunohistochemistry (IHC). GTX30114
Anti-HIF2 alpha antibody used in Western Blot (WB). GTX30114
Anti-HIF2 alpha antibody used in Western Blot (WB). GTX30114
Anti-HIF2 alpha antibody used in Immunocytochemistry/ Immunofluorescence (ICC/IF). GTX30114
Anti-HIF2 alpha antibody used in Western Blot (WB). GTX30114
Anti-HIF2 alpha antibody used in Western Blot (WB). GTX30114
Anti-HIF2 alpha antibody used in Western Blot (WB). GTX30114
Anti-HIF2 alpha antibody used in Western Blot (WB). GTX30114
Anti-HIF2 alpha antibody used in Western Blot (WB). GTX30114
  • Host
    Rabbit
  • Clonality
    Polyclonal
  • Isotype
    IgG
  • Applications
    WB ICC/IF IHC-P IHC
  • Reactivity
    Human, Mouse, Rat, Monkey, Fish
Summary
HIF2 alpha antibody recognizes HIF2 alpha / EPAS1 protein, a transcription factor (predicted molecular weight of 97 kDa) induced by hypoxic conditions. It forms a heterodimer with HIF1 beta / ARNT to drive a specific gene expression profile in various physiological and pathological processes that occur in the context of hypoxia.
See all HIF2 alpha products