Hec1 antibody [9G3.23]

Cat. No. GTX70268
Cat. No.  GTX70268
Anti-Hec1 antibody [9G3.23] used in Western Blot (WB). GTX70268
GTX70268 WB Image

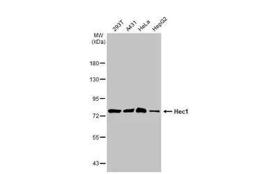
Various whole cell extracts (30 μg) were separated by 7.5% SDS-PAGE, and the membrane was blotted with Hec1 antibody [9G3.23] (GTX70268) diluted at 1:1000. The HRP-conjugated anti-mouse IgG antibody (GTX213111-01) was used to detect the primary antibody, and the signal was developed with Trident ECL plus-Enhanced.

1 / 17
Anti-Hec1 antibody [9G3.23] used in Immunocytochemistry/ Immunofluorescence (ICC/IF). GTX70268
GTX70268 ICC/IF Image

Mouse anti-Hec1 (9G3, cat# GTX 70268) and rabbit anti-Hec1 (phospho Ser165) antibodies were used to co-stain MCF10A cells. Insets show kinetochores of misaligned chromosomes. DAPI staining shows chromatin.

2 / 17
Anti-Hec1 antibody [9G3.23] used in Western Blot (WB). GTX70268
GTX70268 WB Image

Various whole cell extracts (30 μg) were separated by 7.5% SDS-PAGE, and the membrane was blotted with Hec1 antibody [9G3.23] (GTX70268) diluted at 1:1000. The HRP-conjugated anti-mouse IgG antibody (GTX213111-01) was used to detect the primary antibody. Corresponding RNA expression data for the same cell lines are based on Human Protein Atlas program.

3 / 17
Anti-Hec1 antibody [9G3.23] used in Immunocytochemistry/ Immunofluorescence (ICC/IF). GTX70268
GTX70268 ICC/IF Image

Hec1 antibody [9G3.23] detects Hec1 protein at kinetochore by immunofluorescent analysis.
Sample: HeLa cells were fixed in 4% paraformaldehyde at RT for 15 min.
Green: Hec1 stained by Hec1 antibody [9G3.23] (GTX70268) diluted at 1:500.
Red: alpha Tubulin 4a, a cytoskeleton marker, stained by alpha Tubulin 4a antibody (GTX112141) diluted at 1:500.
Blue: Hoechst 33342 staining.

4 / 17
Anti-Hec1 antibody [9G3.23] used in Immunocytochemistry/ Immunofluorescence (ICC/IF). GTX70268
GTX70268 ICC/IF Image

Hec1 antibody [9G3.23] detects Hec1 protein at kinetochore by immunofluorescent analysis.
Sample: HeLa cells were fixed in 4% paraformaldehyde at RT for 15 min.
Green: Hec1 stained by Hec1 antibody [9G3.23] (GTX70268) diluted at 1:1000.
Red: alpha Tubulin, a cytoskeleton marker, stained by alpha Tubulin antibody (GTX102079) diluted at 1:1000.
Blue: Fluoroshield with DAPI (GTX30920).

5 / 17
Anti-Hec1 antibody [9G3.23] used in Western Blot (WB). GTX70268
GTX70268 WB Image

HEC1 antibody [9G3.23] detects HEC1 protein by western blot analysis. Various whole cell extracts and HeLa nuclear extracts (30 μg) were separated by 7.5% SDS-PAGE, and the membrane was blotted with HEC1 antibody [9G3.23] (GTX70268) diluted at 1:1000. The HRP-conjugated anti-mouse IgG antibody (GTX213111-01) was used to detect the primary antibody, and the signal was developed with Trident femto Western HRP Substrate (GTX14698).

6 / 17
Anti-Hec1 antibody [9G3.23] used in Immunocytochemistry/ Immunofluorescence (ICC/IF). GTX70268
GTX70268 ICC/IF Image

Hec1 antibody [9G3.23] detects Hec1 protein at kinetochore by immunofluorescent analysis.
Sample: HeLa cells were fixed in 4% paraformaldehyde at RT for 15 min.
Green: Hec1 stained by Hec1 antibody [9G3.23] (GTX70268) diluted at 1:500.
Blue: Fluoroshield with DAPI (GTX30920).

7 / 17
Anti-Hec1 antibody [9G3.23] used in Immunocytochemistry/ Immunofluorescence (ICC/IF). GTX70268
GTX70268 ICC/IF Image

Hec1 antibody [9G3.23] detects Hec1 protein at kinetochore by immunofluorescent analysis.
Sample: HeLa cells were fixed in 4% paraformaldehyde at RT for 15 min.
Green: Hec1 stained by Hec1 antibody [9G3.23] (GTX70268) diluted at 1:500.
Red: beta Tubulin, a cytoskeleton marker, stained by beta Tubulin antibody (GTX101279) diluted at 1:1000.
Blue: Fluoroshield with DAPI (GTX30920).

8 / 17
Anti-Hec1 antibody [9G3.23] used in Western Blot (WB). GTX70268
GTX70268 WB Image

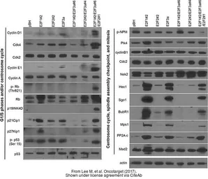
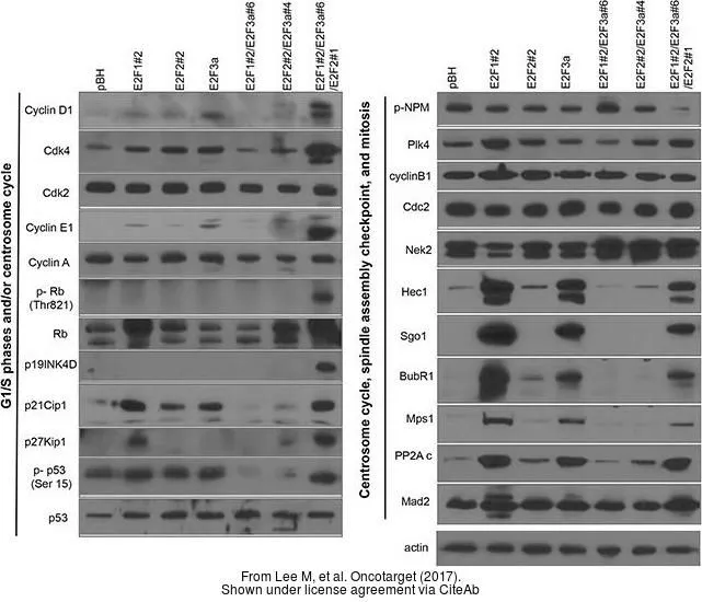
The data was published in the journal Oncotarget in 2017.PMID: 29100415

9 / 17
Anti-Hec1 antibody [9G3.23] used in Western Blot (WB). GTX70268
GTX70268 WB Image

The data was published in the journal Oncotarget in 2016.PMID: 27764815

10 / 17
Anti-Hec1 antibody [9G3.23] used in Immunocytochemistry/ Immunofluorescence (ICC/IF). GTX70268
GTX70268 ICC/IF Image

The data was published in the journal Nat Commun in 2020. PMID: 32001712

11 / 17
Anti-Hec1 antibody [9G3.23] used in Immunocytochemistry/ Immunofluorescence (ICC/IF). GTX70268
GTX70268 ICC/IF Image

The data was published in the journal PLoS One in 2014. PMID: 25329824

12 / 17
Anti-Hec1 antibody [9G3.23] used in Immunocytochemistry/ Immunofluorescence (ICC/IF). GTX70268
GTX70268 ICC/IF Image

The data was published in the journal Nat Commun in 2020. PMID: 32001712

13 / 17
Anti-Hec1 antibody [9G3.23] used in Western Blot (WB). GTX70268
GTX70268 WB Image

The data was published in the journal Biol Open in 2015.PMID: 26685311

14 / 17
Anti-Hec1 antibody [9G3.23] used in Immunocytochemistry/ Immunofluorescence (ICC/IF). GTX70268
GTX70268 ICC/IF Image

The data was published in the journal Biol Open in 2015.PMID: 26685311

15 / 17
Anti-Hec1 antibody [9G3.23] used in Immunocytochemistry/ Immunofluorescence (ICC/IF). GTX70268
GTX70268 ICC/IF Image

The data was published in the journal Nat Commun in 2015.PMID: 26620470

16 / 17
Anti-Hec1 antibody [9G3.23] used in IHC (Frozen sections) (IHC-Fr). GTX70268
GTX70268 IHC-Fr Image

The data was published in the journal PLoS One in 2010.PMID: 21187932

17 / 17
Anti-Hec1 antibody [9G3.23] used in Western Blot (WB). GTX70268
Anti-Hec1 antibody [9G3.23] used in Immunocytochemistry/ Immunofluorescence (ICC/IF). GTX70268
Anti-Hec1 antibody [9G3.23] used in Western Blot (WB). GTX70268
Anti-Hec1 antibody [9G3.23] used in Immunocytochemistry/ Immunofluorescence (ICC/IF). GTX70268
Anti-Hec1 antibody [9G3.23] used in Immunocytochemistry/ Immunofluorescence (ICC/IF). GTX70268
Anti-Hec1 antibody [9G3.23] used in Western Blot (WB). GTX70268
Anti-Hec1 antibody [9G3.23] used in Immunocytochemistry/ Immunofluorescence (ICC/IF). GTX70268
Anti-Hec1 antibody [9G3.23] used in Immunocytochemistry/ Immunofluorescence (ICC/IF). GTX70268
Anti-Hec1 antibody [9G3.23] used in Western Blot (WB). GTX70268
Anti-Hec1 antibody [9G3.23] used in Western Blot (WB). GTX70268
Anti-Hec1 antibody [9G3.23] used in Immunocytochemistry/ Immunofluorescence (ICC/IF). GTX70268
Anti-Hec1 antibody [9G3.23] used in Immunocytochemistry/ Immunofluorescence (ICC/IF). GTX70268
Anti-Hec1 antibody [9G3.23] used in Immunocytochemistry/ Immunofluorescence (ICC/IF). GTX70268
Anti-Hec1 antibody [9G3.23] used in Western Blot (WB). GTX70268
Anti-Hec1 antibody [9G3.23] used in Immunocytochemistry/ Immunofluorescence (ICC/IF). GTX70268
Anti-Hec1 antibody [9G3.23] used in Immunocytochemistry/ Immunofluorescence (ICC/IF). GTX70268
Anti-Hec1 antibody [9G3.23] used in IHC (Frozen sections) (IHC-Fr). GTX70268
  • Host
    Mouse
  • Clonality
    Monoclonal
  • Clone Name
    9G3.23
  • Isotype
    IgG2a
  • Applications
    WB ICC/IF IHC-Fr FCM IP PLA
  • Reactivity
    Human, Mouse, Hamster, Kangaroo rat
See all Hec1 products