Hexokinase 1 antibody

Cat. No. GTX105248
Cat. No.  GTX105248
Anti-Hexokinase 1 antibody used in Immunocytochemistry/ Immunofluorescence (ICC/IF). GTX105248
GTX105248 ICC/IF Image

Confocal immunofluorescence analysis (Olympus FV10i) of methanol-fixed HeLa, using HXK I(GTX105248) antibody (Green) at 1:500 dilution. Alpha-tubulin filaments were labeled with GTX11304 (Red) at 1:2000.

1 / 6
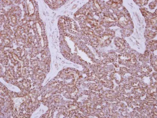
Anti-Hexokinase 1 antibody used in IHC (Paraffin sections) (IHC-P). GTX105248
GTX105248 IHC-P Image

Immunohistochemical analysis of paraffin-embedded human breast cancer, using HXK I(GTX105248) antibody at 1:250 dilution.
Antigen Retrieval: Trilogy™ (EDTA based, pH 8.0) buffer, 15min

2 / 6
Anti-Hexokinase 1 antibody used in Western Blot (WB). GTX105248
GTX105248 WB Image

Sample (30 μg of whole cell lysate)
C: zebrafish muscle
7.5% SDS PAGE
GTX105248 diluted at 1:1000

3 / 6
Anti-Hexokinase 1 antibody used in IHC (Whole mount) (IHC-Wm). GTX105248
GTX105248 IHC-Wm Image

Hexokinase 1 antibody detects Hexokinase 1 protein on zebrafish by whole mount immunohistochemical analysis.
Sample: 2 days-post-fertilization zebrafish embryo.
Hexokinase 1 antibody (GTX105248) dilution: 1:100.

4 / 6
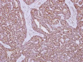
Anti-Hexokinase 1 antibody used in IHC (Paraffin sections) (IHC-P). GTX105248
GTX105248 IHC-P Image

Immunohistochemical analysis of paraffin-embedded zebrafish tissue, using Hexokinase 1 antibody (GTX105248) at 1:300 dilution.

5 / 6
Anti-Hexokinase 1 antibody used in Western Blot (WB). GTX105248
GTX105248 WB Image

Various whole cell extracts (30 μg) were separated by 7.5% SDS-PAGE, and the membrane was blotted with Hexokinase 1 antibody (GTX105248) diluted at 1:3000. The HRP-conjugated anti-rabbit IgG antibody (GTX213110-01) was used to detect the primary antibody. Corresponding RNA expression data for the same cell lines are based on Human Protein Atlas program.

6 / 6
Anti-Hexokinase 1 antibody used in Immunocytochemistry/ Immunofluorescence (ICC/IF). GTX105248
Anti-Hexokinase 1 antibody used in IHC (Paraffin sections) (IHC-P). GTX105248
Anti-Hexokinase 1 antibody used in Western Blot (WB). GTX105248
Anti-Hexokinase 1 antibody used in IHC (Whole mount) (IHC-Wm). GTX105248
Anti-Hexokinase 1 antibody used in IHC (Paraffin sections) (IHC-P). GTX105248
Anti-Hexokinase 1 antibody used in Western Blot (WB). GTX105248
  • Host
    Rabbit
  • Clonality
    Polyclonal
  • Isotype
    IgG
  • Applications
    WB ICC/IF IHC-P IHC-Wm
  • Reactivity
    Human, Zebrafish
See all Hexokinase 1 products