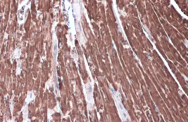
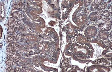
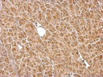
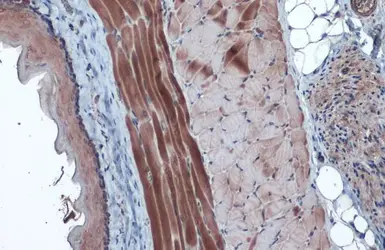
Hexokinase II antibody
Cat. No. GTX111525
Cat. No. GTX111525
-
HostRabbit
-
ClonalityPolyclonal
-
IsotypeIgG
-
ApplicationsWB ICC/IF IHC-P
-
ReactivityHuman, Mouse, Rat