Histone H2A.XS139ph (phospho Ser139) antibody

Cat. No. GTX127342
Cat. No.  GTX127342
Anti-Histone H2A.XS139ph (phospho Ser139) antibody used in IHC (Whole mount) (IHC-Wm). GTX127342
GTX127342 IHC-Wm Image

Histone H2A.XS139ph (phospho Ser139) antibody detects Histone H2A.XS139ph (phospho Ser139) protein on whole mount zebrafish by immunohistochemical analysis.
Sample: Paraformaldehyde-fixed 1 day-post-fertilization zebrafish embryo.
Green: Histone H2A.XS139ph (phospho Ser139) stained by Histone H2A.XS139ph (phospho Ser139) antibody (GTX127342) diluted at 1:100.
Antigen Retrieval: Tris-HCl buffer, pH 9.0, 20 min at 70ºC

1 / 8
Anti-Histone H2A.XS139ph (phospho Ser139) antibody used in Western Blot (WB). GTX127342
GTX127342 WB Image

Untreated (–) and treated (+) Zebrafish embryos extracts (30 μg) were separated by 15% SDS-PAGE, and the membrane was blotted with Histone H2A.XS139ph (phospho Ser139) antibody (GTX127342) diluted at 1:1000. The HRP-conjugated anti-rabbit IgG antibody (GTX213110-01) was used to detect the primary antibody.

2 / 8
Anti-Histone H2A.XS139ph (phospho Ser139) antibody used in Immunohistochemistry (IHC). GTX127342
GTX127342 IHC Image

H2afx antibody detects H2afx protein at nucleus on UV-irradiated whole-mount zebrafish embryos (under panel) by immunohistochemical analysis.
Sample: H2afx antibody (GTX127342) dilution: 1:2000.
Image provided with permission courtesy of Dr. James Amatruda.

3 / 8
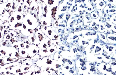
Anti-Histone H2A.XS139ph (phospho Ser139) antibody used in IHC (Paraffin sections) (IHC-P). GTX127342
GTX127342 IHC-P Image

Histone H2A.XS139ph (phospho Ser139) antibody detects Histone H2A.XS139ph (phospho Ser139) protein at nucleus by immunohistochemical analysis in the presence of control peptide (left) or antigen-specific peptide (right).
Sample: Paraffin-embedded human breast carcinoma.
Histone H2A.XS139ph (phospho Ser139) stained by Histone H2A.XS139ph (phospho Ser139) antibody (GTX127342) diluted at 1:1000.
Antigen Retrieval: Citrate buffer, pH 6.0, 15 min

4 / 8
Anti-Histone H2A.XS139ph (phospho Ser139) antibody used in Immunocytochemistry/ Immunofluorescence (ICC/IF). GTX127342
GTX127342 ICC/IF Image

The data was published in the journal Dis Model Mech in 2018.PMID: 29419415

5 / 8
Anti-Histone H2A.XS139ph (phospho Ser139) antibody used in IHC (Whole mount) (IHC-Wm). GTX127342
GTX127342 IHC-Wm Image

The data was published in the journal Nat Commun in 2019. PMID: 30837464

6 / 8
Anti-Histone H2A.XS139ph (phospho Ser139) antibody used in IHC (Whole mount) (IHC-Wm). GTX127342
GTX127342 IHC-Wm Image

The data was published in the journal Sci Rep in 2019. PMID: 31882844

7 / 8
Anti-Histone H2A.XS139ph (phospho Ser139) antibody used in Immunocytochemistry/ Immunofluorescence (ICC/IF). GTX127342
GTX127342 ICC/IF Image

The data was published in the journal Dis Model Mech in 2018.PMID: 29419415

8 / 8
Anti-Histone H2A.XS139ph (phospho Ser139) antibody used in IHC (Whole mount) (IHC-Wm). GTX127342
Anti-Histone H2A.XS139ph (phospho Ser139) antibody used in Western Blot (WB). GTX127342
Anti-Histone H2A.XS139ph (phospho Ser139) antibody used in Immunohistochemistry (IHC). GTX127342
Anti-Histone H2A.XS139ph (phospho Ser139) antibody used in IHC (Paraffin sections) (IHC-P). GTX127342
Anti-Histone H2A.XS139ph (phospho Ser139) antibody used in Immunocytochemistry/ Immunofluorescence (ICC/IF). GTX127342
Anti-Histone H2A.XS139ph (phospho Ser139) antibody used in IHC (Whole mount) (IHC-Wm). GTX127342
Anti-Histone H2A.XS139ph (phospho Ser139) antibody used in IHC (Whole mount) (IHC-Wm). GTX127342
Anti-Histone H2A.XS139ph (phospho Ser139) antibody used in Immunocytochemistry/ Immunofluorescence (ICC/IF). GTX127342
  • Host
    Rabbit
  • Clonality
    Polyclonal
  • Isotype
    IgG
  • Applications
    WB ICC/IF IHC-P IHC-Fr IHC-Wm IHC
  • Reactivity
    Human, Zebrafish
See all Histone H2A.X products