Histone H3 antibody

Cat. No. GTX122148
Cat. No.  GTX122148
Anti-Histone H3 antibody used in IHC (Paraffin sections) (IHC-P). GTX122148
GTX122148 IHC-P Image

Histone H3 antibody detects Histone H3 protein at nucleus in mouse colon by immunohistochemical analysis.
Sample: Paraffin-embedded mouse colon.
Green: Histone H3 antibody (GTX122148) diluted at 1:500.

Red: alpha Tubulin antibody [GT114] (GTX628802) diluted at 1:500.
Antigen Retrieval: Citrate buffer, pH 6.0, 15 min

1 / 12
Anti-Histone H3 antibody used in Western Blot (WB). GTX122148
GTX122148 WB Image

Histone H3 antibody detects Histone H3 protein by western blot analysis. Various whole cell extracts (30 μg) were separated by 15% SDS-PAGE, and the membrane was blotted with Histone H3 antibody (GTX122148) diluted at a dilution of 1:10000. The HRP-conjugated anti-rabbit IgG antibody (GTX213110-01) was used to detect the primary antibody.

2 / 12
Anti-Histone H3 antibody used in Western Blot (WB). GTX122148
GTX122148 WB Image

Various whole cell extracts (30 μg) were separated by 15% SDS-PAGE, and the membrane was blotted with Histone H3 antibody (GTX122148) diluted at 1:1000. The HRP-conjugated anti-rabbit IgG antibody (GTX213110-01) was used to detect the primary antibody.

3 / 12
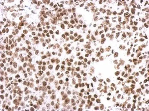
Anti-Histone H3 antibody used in IHC (Paraffin sections) (IHC-P). GTX122148
GTX122148 IHC-P Image

Immunohistochemical analysis of paraffin-embedded Hela xenograft, using Histone H3(GTX122148) antibody at 1:500 dilution.
Antigen Retrieval: Trilogy™ (EDTA based, pH 8.0) buffer, 15min

4 / 12
Anti-Histone H3 antibody used in Immunocytochemistry/ Immunofluorescence (ICC/IF). GTX122148
GTX122148 ICC/IF Image

Histone H3 antibody detects Histone H3 protein at nucleus by immunofluorescent analysis.
Sample: A431 cells were fixed in ice-cold MeOH for 5 min.
Green: Histone H3 protein stained by Histone H3 antibody (GTX122148) diluted at 1:500.
Blue: Hoechst 33342 staining.

5 / 12
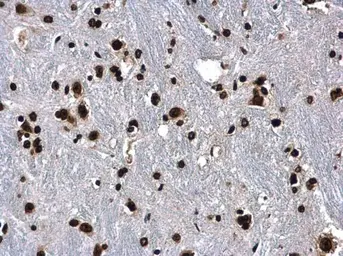
Anti-Histone H3 antibody used in IHC (Paraffin sections) (IHC-P). GTX122148
GTX122148 IHC-P Image

Histone H3 antibody detects Histone H3 protein at nucleus in mouse brain by immunohistochemical analysis.
Sample: Paraffin-embedded mouse brain.
Histone H3 antibody (GTX122148) diluted at 1:500.

Antigen Retrieval: Citrate buffer, pH 6.0, 15 min

6 / 12
Anti-Histone H3 antibody used in Western Blot (WB). GTX122148
GTX122148 WB Image

Various whole cell extracts (30 μg) were separated by 15% SDS-PAGE, and the membrane was blotted with Histone H3 antibody (GTX122148) diluted at 1:3000. The HRP-conjugated anti-rabbit IgG antibody (GTX213110-01) was used to detect the primary antibody.

7 / 12
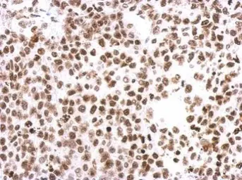
Anti-Histone H3 antibody used in IHC (Paraffin sections) (IHC-P). GTX122148
GTX122148 IHC-P Image

Histone H3 antibody detects Histone H3 protein at nucleus in mouse colon by immunohistochemical analysis.
Sample: Paraffin-embedded mouse colon.
Histone H3 antibody (GTX122148) diluted at 1:500.

Antigen Retrieval: Citrate buffer, pH 6.0, 15 min

8 / 12
Anti-Histone H3 antibody used in Immunoprecipitation (IP). GTX122148
GTX122148 IP Image

Histone H3 antibody immunoprecipitates Histone H3 protein in IP experiments. IP Sample: Raji whole cell lysate/extract A : Control with 3 μg of pre-immune rabbit IgG B : Immunoprecipitation of Histone H3 by 3 μg of Histone H3 antibody (GTX122148) 15% SDS-PAGE The immunoprecipitated Histone H3 protein was detected by Histone H3 antibody (GTX122148) diluted at 1:5000. EasyBlot anti-rabbit IgG (HRP) (GTX221666-01) was used as a secondary reagent.

9 / 12
Anti-Histone H3 antibody used in ChIP assay (ChIP assay). GTX122148
GTX122148 ChIP assay Image

Cross-linked ChIP was performed with HeLa chromatin extract and 5 μg of either control rabbit IgG or anti-Histone H3 antibody. The precipitated DNA was detected by PCR with primer set targeting to MyoD.

10 / 12
Anti-Histone H3 antibody used in Immunocytochemistry/ Immunofluorescence (ICC/IF). GTX122148
GTX122148 ICC/IF Image

The data was published in the journal J Virol in 2017. PMID: 28855246

11 / 12
Anti-Histone H3 antibody used in Immunohistochemistry (IHC). GTX122148
GTX122148 IHC Image

The data was published in the journal PLoS Genet in 2014. PMID: 25393278

12 / 12
Anti-Histone H3 antibody used in IHC (Paraffin sections) (IHC-P). GTX122148
Anti-Histone H3 antibody used in Western Blot (WB). GTX122148
Anti-Histone H3 antibody used in Western Blot (WB). GTX122148
Anti-Histone H3 antibody used in IHC (Paraffin sections) (IHC-P). GTX122148
Anti-Histone H3 antibody used in Immunocytochemistry/ Immunofluorescence (ICC/IF). GTX122148
Anti-Histone H3 antibody used in IHC (Paraffin sections) (IHC-P). GTX122148
Anti-Histone H3 antibody used in Western Blot (WB). GTX122148
Anti-Histone H3 antibody used in IHC (Paraffin sections) (IHC-P). GTX122148
Anti-Histone H3 antibody used in Immunoprecipitation (IP). GTX122148
Anti-Histone H3 antibody used in ChIP assay (ChIP assay). GTX122148
Anti-Histone H3 antibody used in Immunocytochemistry/ Immunofluorescence (ICC/IF). GTX122148
Anti-Histone H3 antibody used in Immunohistochemistry (IHC). GTX122148
  • Host
    Rabbit
  • Clonality
    Polyclonal
  • Isotype
    IgG
  • Applications
    WB ICC/IF IHC-P IP ChIP assay IHC
  • Reactivity
    Human, Mouse, Rat, Drosophila, Pig, Monkey, Fungi, Golden Syrian Hamster, Rice
Summary
Histone H3 antibody detects histone H3, a core component of the histone octamer in the context of the nucleosome. Like other histones, H3 is posttranslationally modified to impact epigenetic gene regulation. It is also highly conserved in eukaryotes, and therefore is used as an internal control for western blots or as a nuclear marker when conducting immunostaining.
See all Histone H3 products